Comparison

PD-L1 / PDCD1LG1 / CD274 / B7-H1 (Cancer Immunotherapy Target) (PDL1/2746), 1mg/mL

Item no. B-BNUM2746-50
Manufacturer Biotium
Amount 50 uL
Category
Type Antibody Monoclonal
Format Liquid
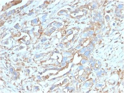
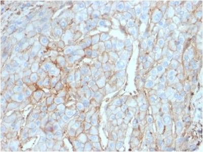
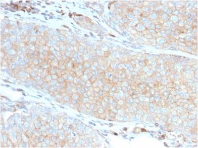
Applications WB, FC, IF, IHC
Clone PDL1/2746
Specific against Human (Homo sapiens), Mouse (Murine, Mus musculus)
Host Mouse
Isotype IgG2b Kappa
ECLASS 10.1 42030590
ECLASS 11.0 42030590
UNSPSC 12352203
Alias B7 homolog 1,B7-H1,CD274,PD-L1,PDCD1 ligand 1,PDCD1L1,PDCD1LG1,Programmed cell death 1 ligand 1
Shipping Condition Room temperature
Available
Manufacturer - Type
Primary
Manufacturer - Applications
Flow, surface (verified), IF (verified), IHC, FFPE (verified), WB (verified)
Manufacturer - Category
Primary Antibodies Only
Manufacturer - Targets
B7-H1|CD274|PD-L1|PDCD1LG1
Manufacturer - Conjugate / Tag
Purified, BSA-free
Manufacturer - Host
Mus musculus (mouse)
Shipping Temperature
Room temperature
Storage Conditions
Store at -10 to -35 °C|Protect fluorescent conjugates from light
-35°C to -5°C
Molecular Weight
37-50 kDa
Manufacturer - Research Area
Apoptosis|Cancer|Cancer immunotherapy/immune checkpoint
Description
PD-L1 (also known as Programmed Death Ligand 1, CD274, and B7-H1) is one of two cell surface ligands that engage the negative regulatory T cell surface receptor PD-1. PD-L1 is a Type I transmembrane protein expressed on the plasma membrane of cells, such as activated macrophages and some tumor cells. Because binding of PD-1 by PD-L1 has a suppressive effect on the immune system, inhibition of the PD-1/PD-L1 pathway is a major strategy of immune-oncology therapies. PD-L1 is upregulated in certain cancers, and blocking PD-1 or PD-L1 can inhibit cancer growth.

Primary antibodies are available purified, or with a selection of fluorescent CF® Dyes and other labels. CF® Dyes offer exceptional brightness and photostability. Note: Conjugates of blue fluorescent dyes like CF®405S and CF®405M are not recommended for detecting low abundance targets, because blue dyes have lower fluorescence and can give higher non-specific background than other dye colors.
Product origin
Animal
Ingredient of biological origin
Mus musculus (mouse)
Undated stability guarantee in PI
2 years
Stability at RT during shipping (protected from light)
Stable at room temperature or 37°C (98°F) for 7 days.
UNSPSC Commodity
41116161
UNSPSC Commodity Title
Primary and secondary antibodies for multiple methodology
immunostaining detection application
Classified or regulated chemicals
PBS, no BSA, no sodium azide (CAS 26628-22-8)
Concentration
1 mg/mL
Storage buffer
PBS, no BSA, no azide
Dated shelf life printed on label
Guaranteed for at least 24 months from date of receipt when stored as recommended
Immunogen (Secondaries, for anti tag only)
Recombinant fragment of human CD274 protein (around aa 39-191) (exact sequence is proprietary)
Clonality
Monoclonal
Regulatory Status
For research use only (RUO)
Human Gene Symbol
CD274
Unigene
521989
Positive Control
Heart, Placenta, Spleen or Tonsil tissue. RAW, HEK293 or HepG2 cell lysates. Jurkat Cells.
Antibody target cellular localization
Secreted (extracellular)
Validated in protein array
Monospecific
Antibody applications
Flow, surface (verified), IF (verified), IHC, FFPE (verified), WB (verified)
Verified antibody applications
Flow (surface) (verified)|IF (verified)|IHC (FFPE) (verified)|WB (verified)
Antibody application notes
Higher concentration may be required for direct detection using primary antibody conjugates than for indirect detection with secondary antibody|Immunofluorescence: 1-2 ug/mL|Immunohistology (formalin): 1-2 ug/mL for 30 minutes at RT|Staining of formalin-fixed tissues requires boiling tissue sections in 10 mM citrate buffer, pH 6.0, for 10-20 min followed by cooling at RT for 20 min|Western blotting 1-2 ug/mL|Flow Cytometry 1-2 ug/million cells in 0.1 mL|ELISA For coating, order Ab without BSA|Optimal dilution for a specific application should be determined by user
Manufacturer - Antibody Reactivity
B7-H1|CD274|PD-L1|PDCD1LG1
Antibody number
#2746

Note: The presented information and documents (Manual, Product Datasheet, Safety Datasheet and Certificate of Analysis) correspond to our latest update and should serve for orientational purpose only. We do not guarantee the topicality. We would kindly ask you to make a request for specific requirements, if necessary.

All products are intended for research use only (RUO). Not for human, veterinary or therapeutic use.

Amount: 50 uL
Available: In stock
available

Compare

Add to wishlist

Get an offer

Request delivery time

Ask a technical question

Submit a bulk request

Questions about this Product?