Comparison

XRCC5 Antibody

Item no. PRS-28-007-100ul
Manufacturer ProSci
Amount 100 ul
Category
Type Antibody Polyclonal
Format Liquid
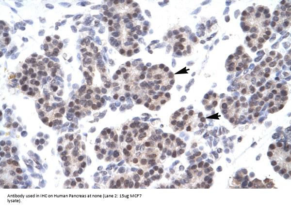
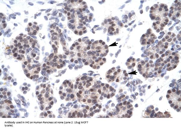
Applications WB, IHC, ELISA
Specific against Human (Homo sapiens)
Host Rabbit
Conjugate/Tag Unconjugated
Citations Sawchuk, D.J., et al., (2004) J. Biol. Chem. 279 (28), 29821-29831.
NCBI XRCC5
ECLASS 10.1 32160702
ECLASS 11.0 32160702
UNSPSC 12352203
Alias XRCC5,KU80,KUB2,Ku86,NFIV,KARP1,KARP-1
Shipping Condition Cool pack
Available
Manufacturer - Type
Primary Antibodies
Shipping Temperature
Blue Ice
Storage Conditions
For short periods of storage (days) store at 4˚ C. For longer periods of storage, store XRCC5 antibody at -20˚ C. As with any antibody avoid repeat freeze-thaw cycles.
Molecular Weight
83 kDa
Manufacturer - Research Area
Membrane , Cancer
Background
XRCC5 encodes the 80-kilodalton subunit of the Ku heterodimer protein which is also known as ATP-dependant DNA helicase II or DNA repair protein XRCC5. Ku is the DNA-binding component of the DNA-dependent protein kinase, and it functions together with the DNA ligase IV-XRCC4 complex in the repair of DNA double-strand break by non-homologous end joining and the completion of V (D)J recombination events. This gene functionally complements Chinese hamster xrs-6, a mutant defective in DNA double-strand break repair and in ability to undergo V (D)J recombination. A rare microsatellite polymorphism in this gene is associated with cancer in patients of varying radiosensitivity.
By Type
Membrane, Cancer
Modifications
None
Protein Gi #
10863945
Purification
Antibody is purified by protein A chromatography method.
Positive Control 1
Concentration
batch dependent
Buffer
Purified antibody supplied in 1x PBS buffer with 0.09% (w/v) sodium azide and 2% sucrose.
Application Note
XRCC5 antibody can be used for detection of XRCC5 by ELISA at 1:12500. XRCC5 antibody can be used for detection of XRCC5 by western blot at 1.25 μ g/mL, and HRP conjugated secondary antibody should be diluted 1:50, 000 - 100, 000.
Immunogen
Antibody produced in rabbits immunized with a synthetic peptide corresponding a region of human XRCC5.
Clonality
Polyclonal
NCBI Official Name
X-ray repair complementing defective repair in Chinese hamster cells 5 (double-strand-break rejoining)
NCBI Organism
Homo sapiens
Disclaimer
This product is for research use only.
User Note
Optimal dilutions for each application to be determined by the researcher.

Note: The presented information and documents (Manual, Product Datasheet, Safety Datasheet and Certificate of Analysis) correspond to our latest update and should serve for orientational purpose only. We do not guarantee the topicality. We would kindly ask you to make a request for specific requirements, if necessary.

All products are intended for research use only (RUO). Not for human, veterinary or therapeutic use.

Amount: 100 ul
Available: In stock
available

Compare

Add to wishlist

Get an offer

Request delivery time

Ask a technical question

Submit a bulk request

Questions about this Product?
 
Close