Comparison

PAX6 Antibody

Item no. PRS-28-781-100ul
Manufacturer ProSci
Amount 100 ul
Category
Type Antibody Polyclonal
Format Liquid
Applications WB, ELISA
Specific against Human (Homo sapiens)
Host Rabbit
Conjugate/Tag Unconjugated
Citations Kim, E.A., et al., (2006) J. Biol. Chem. 281 (11), 7489-7497.
NCBI PAX6
ECLASS 10.1 32160702
ECLASS 11.0 32160702
UNSPSC 12352203
Alias PAX6,AN,AN2,MGDA,WAGR,D11S812E
Shipping Condition Cool pack
Available
Manufacturer - Type
Primary Antibodies
Shipping Temperature
Blue Ice
Storage Conditions
For short periods of storage (days) store at 4˚ C. For longer periods of storage, store PAX6 antibody at -20˚ C. As with any antibody avoid repeat freeze-thaw cycles.
Molecular Weight
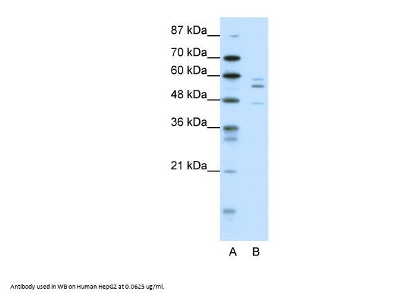
48 kDa
Manufacturer - Research Area
Transcription , Cancer
Background
PAX6 is one of many human homologues of the Drosophila melanogaster gene prd. In addition to the hallmark feature of this gene family, a conserved paired box domain, the encoded protein also contains a homeo box domain. Both domains are known to bind DNA,
By Type
Transcription, Cancer
Modifications
None
Protein Gi #
4580424
Purification
Antibody is purified by peptide affinity chromatography method.
Positive Control 1
Cat. No. 1211 - HepG2 Cell Lysate
Concentration
batch dependent
Buffer
Purified antibody supplied in 1x PBS buffer with 0.09% (w/v) sodium azide and 2% sucrose.
Application Note
PAX6 antibody can be used for detection of PAX6 by ELISA at 1:12500. PAX6 antibody can be used for detection of PAX6 by western blot at 0.0625 μ g/mL, and HRP conjugated secondary antibody should be diluted 1:50, 000 - 100, 000.
Immunogen
Antibody produced in rabbits immunized with a synthetic peptide corresponding a region of human PAX6.
Clonality
Polyclonal
NCBI Official Name
paired box 6
NCBI Organism
Homo sapiens
Disclaimer
This product is for research use only.
User Note
Optimal dilutions for each application to be determined by the researcher.

Note: The presented information and documents (Manual, Product Datasheet, Safety Datasheet and Certificate of Analysis) correspond to our latest update and should serve for orientational purpose only. We do not guarantee the topicality. We would kindly ask you to make a request for specific requirements, if necessary.

All products are intended for research use only (RUO). Not for human, veterinary or therapeutic use.

Amount: 100 ul
Available: In stock
available

Compare

Add to wishlist

Get an offer

Request delivery time

Ask a technical question

Submit a bulk request

Questions about this Product?
 
Close