Comparison

GTF2IRD1 Antibody

Item no. PRS-29-032-100ul
Manufacturer ProSci
Amount 100 ul
Category
Type Antibody Polyclonal
Format Liquid
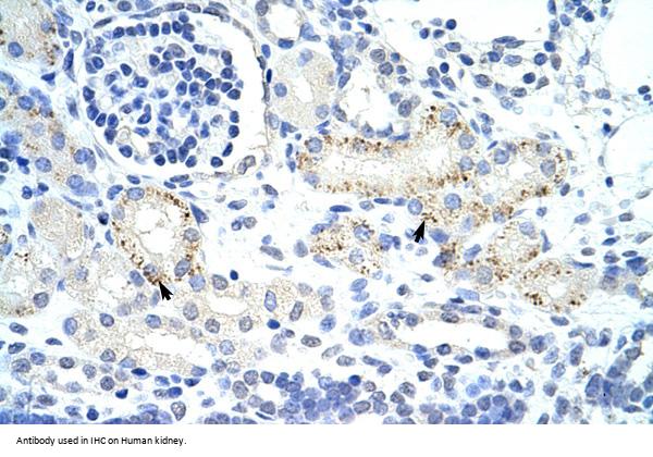
Applications WB, IHC, ELISA
Specific against Human (Homo sapiens), Dog (Canine, Canis lupus familiaris)
Host Rabbit
Conjugate/Tag Unconjugated
Citations Tassabehji, M., (2005) Science 310 (5751), 1184-1187.
NCBI GTF2IRD1
ECLASS 10.1 32160702
ECLASS 11.0 32160702
UNSPSC 12352203
Alias GTF2IRD1,CREAM1,GTF3,MUSTRD1,RBAP2,WBSCR11,WBSCR12,hMusTRD1alpha1,BEN,WBS
Shipping Condition Cool pack
Available
Manufacturer - Type
Primary Antibodies
Shipping Temperature
Blue Ice
Storage Conditions
For short periods of storage (days) store at 4˚ C. For longer periods of storage, store GTF2IRD1 antibody at -20˚ C. As with any antibody avoid repeat freeze-thaw cycles.
Molecular Weight
106 kDa, 105 kDa
Manufacturer - Research Area
Transcription
Background
GTF2IRD1 contains five GTF2I-like repeats and each repeat possesses a potential helix-loop-helix (HLH) motif. It may have the ability to interact with other HLH-proteins and function as a transcription factor or as a positive transcriptional regulator under the control of Retinoblastoma protein. GTF2IRD1 is related to Williams-Beuren syndrome, a multisystem developmental disorder. Western blots using three different antibodies against three unique regions of this protein target confirm the same apparent molecular weight in our tests. The protein encoded by this gene contains five GTF2I-like repeats and each repeat possesses a potential helix-loop-helix (HLH) motif. It may have the ability to interact with other HLH-proteins and function as a transcription factor or as a positive transcriptional regulator under the control of Retinoblastoma protein. This gene is deleted in Williams-Beuren syndrome, a multisystem developmental disorder caused by deletion of multiple genes at 7q11.23. Alternative splicing of this gene generates at least 2 transcript variants.
By Type
Transcription
Modifications
None
Protein Gi #
7705387
Purification
Antibody is purified by protein A chromatography method.
Positive Control 1
Tranfected 293T Cell Lysate
Concentration
batch dependent
Buffer
Purified antibody supplied in 1x PBS buffer with 0.09% (w/v) sodium azide and 2% sucrose.
Application Note
GTF2IRD1 antibody can be used for detection of GTF2IRD1 by ELISA at 1:312500. GTF2IRD1 antibody can be used for detection of GTF2IRD1 by western blot at 2.5 μ g/mL, and HRP conjugated secondary antibody should be diluted 1:50, 000 - 100, 000.
Immunogen
Antibody produced in rabbits immunized with a synthetic peptide corresponding a region of human GTF2IRD1.
Clonality
Polyclonal
NCBI Official Name
GTF2I repeat domain containing 1
NCBI Organism
Homo sapiens
Disclaimer
This product is for research use only.
User Note
Optimal dilutions for each application to be determined by the researcher.

Note: The presented information and documents (Manual, Product Datasheet, Safety Datasheet and Certificate of Analysis) correspond to our latest update and should serve for orientational purpose only. We do not guarantee the topicality. We would kindly ask you to make a request for specific requirements, if necessary.

All products are intended for research use only (RUO). Not for human, veterinary or therapeutic use.

Amount: 100 ul
Available: In stock
available

Compare

Add to wishlist

Get an offer

Request delivery time

Ask a technical question

Submit a bulk request

Questions about this Product?
 
Close