Comparison

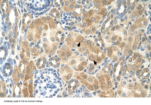
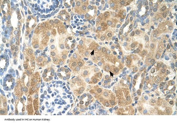
NR2F2 Antibody

Item no. PRS-29-062-100ul
Manufacturer ProSci
Amount 100 ul
Category
Type Antibody Polyclonal
Format Liquid
Applications WB, IHC, ELISA
Specific against Human (Homo sapiens), Mouse (Murine, Mus musculus), Rat (Rattus norvegicus), Dog (Canine, Canis lupus familiaris)
Host Rabbit
Conjugate/Tag Unconjugated
Citations Sato, Y., (2003) J. Clin. Endocrinol. Metab. 88 (7), 3415-3420.
NCBI NR2F2
ECLASS 10.1 32160702
ECLASS 11.0 32160702
UNSPSC 12352203
Alias NR2F2,ARP1,COUP-TFII,COUPTFB,MGC117452,SVP40,TFCOUP2,NF-E3,NR2F1,COUPTFII
Shipping Condition Cool pack
Available
Manufacturer - Type
Primary Antibodies
Shipping Temperature
Blue Ice
Storage Conditions
For short periods of storage (days) store at 4˚ C. For longer periods of storage, store NR2F2 antibody at -20˚ C. As with any antibody avoid repeat freeze-thaw cycles.
Molecular Weight
45 kDa
Manufacturer - Research Area
Transcription , Cancer , Signal Transduction
Background
NR2F2, an orphan member of the nuclear hormone receptor superfamily, acts as a transcriptional repressor by antagonizing the functions of other nuclear hormone receptors and by actively silencing transcription. However, in certain contexts, NR2F2 stimulates transcription directly. NR2F2, MyoD and p300 interact in a competitive manner, and that increasing amounts of NR2F2 have the ability to reduce the interaction between myoD and p300 invitro. NR2F2 post-transcriptionally regulates myoD activity/function, and that crosstalk between orphan nuclear receptors and the myogenic bHLH proteins has functional consequences for differentiation.
By Type
Transcription, Cancer, Signal Transduction
Modifications
None
Protein Gi #
14149746
Purification
Antibody is purified by protein A chromatography method.
Positive Control 1
Concentration
batch dependent
Buffer
Purified antibody supplied in 1x PBS buffer with 0.09% (w/v) sodium azide and 2% sucrose.
Application Note
NR2F2 antibody can be used for detection of NR2F2 by ELISA at 1:312500. NR2F2 antibody can be used for detection of NR2F2 by western blot at 2.5 μ g/mL, and HRP conjugated secondary antibody should be diluted 1:50, 000 - 100, 000.
Immunogen
Antibody produced in rabbits immunized with a synthetic peptide corresponding a region of human NR2F2.
Clonality
Polyclonal
NCBI Official Name
nuclear receptor subfamily 2, group F, member 2
NCBI Organism
Homo sapiens
Disclaimer
This product is for research use only.
User Note
Optimal dilutions for each application to be determined by the researcher.

Note: The presented information and documents (Manual, Product Datasheet, Safety Datasheet and Certificate of Analysis) correspond to our latest update and should serve for orientational purpose only. We do not guarantee the topicality. We would kindly ask you to make a request for specific requirements, if necessary.

All products are intended for research use only (RUO). Not for human, veterinary or therapeutic use.

Amount: 100 ul
Available: In stock
available

Compare

Add to wishlist

Get an offer

Request delivery time

Ask a technical question

Submit a bulk request

Questions about this Product?
 
Close