Comparison

Anti-Acetyl-Histone H2B (Lys15) Rabbit pAb

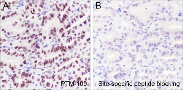
Item no. PTM-109
Manufacturer PTM Biolabs
Amount 100 ul
Category
Type Antibody Polyclonal
Format Lyophilized powder
Applications WB, IHC-P
Specific against Human (Homo sapiens), Mouse (Murine, Mus musculus), Rat (Rattus norvegicus)
Host Rabbit
Isotype IgG
Conjugate/Tag Unconjugated
ECLASS 10.1 32160702
ECLASS 11.0 32160702
UNSPSC 12352203
Alias H2BK15ac
Shipping Condition Room temperature
Available
Manufacturer - Type
Primary Antibodies
Manufacturer - Category
Histone & Histone Modification Antibodies
Manufacturer - Targets
Histone H2B
Shipping Temperature
Ambient temperature
Storage Conditions
Store at -20°C. Avoid freeze/thaw cycles.
Molecular Weight
14
Stability
Stable for 12 months from date of receipt/reconstitution.
Manufacturer - Research Area
Epigenetics
Product description
Histone post-translational modifications (PTMs), known as the “histone code”, are key mechanisms of epigenetics that modulate chromatin structures. The PTMs on histone including acetylation, methylation, phosphorylation, and novel acylations directly affect the accessibility of chromatin to transcription factors and other epigenetic regulators, altering genome stability and gene transcription. Histone acetylation, tightly controlled by the opposing action of histone acetyltransferases (HATs) and histone deacetylases (HDACs), occurs primarily at lysine residues on the N-terminal tails of histones H2A (Lys5, 9, and 15), H2B (Lys5, 12, 15, 16, and 20), H3 (Lys4, 9, 14, 18, 23, 27, and 36), and H4 (Lys5, 8, 12, 16, and 20), and plays vital roles in the regulation of gene expression, DNA damage repair, chromatin dynamics, etc.
Purification Method
Protein A and immunogen affinity purified
Manufacturer - Specificity
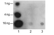
Anti-Acetyl-Histone H2B (Lys15) Rabbit pAb detects histone H2B only when it is acetylated at Lys15. This antibody has been shown to selectively recognize acetylated H2B peptide at Lys15, but not the structurally similar crotonylated peptide at Lys16 or unmodified peptide.
Formula
PBS, Glycerol, BSA
PTM
Acetyl
Modification Site
Lys15
Immunogen
Acetylated human histone H2B (Lys15) peptide
Clonality
Polyclonal
Background
Histone post-translational modifications (PTMs), known as the “histone code”, are key mechanisms of epigenetics that modulate chromatin structures. The PTMs on histone including acetylation, methylation, phosphorylation, and novel acylations directly affect the accessibility of chromatin to transcription factors and other epigenetic regulators, altering genome stability and gene transcription. Histone acetylation, tightly controlled by the opposing action of histone acetyltransferases (HATs) and histone deacetylases (HDACs), occurs primarily at lysine residues on the N-terminal tails of histones H2A (Lys5, 9, and 15), H2B (Lys5, 12, 15, 16, and 20), H3 (Lys4, 9, 14, 18, 23, 27, and 36), and H4 (Lys5, 8, 12, 16, and 20), and plays vital roles in the regulation of gene expression, DNA damage repair, chromatin dynamics, etc.
Cellular Localization
Nucleus

Note: The presented information and documents (Manual, Product Datasheet, Safety Datasheet and Certificate of Analysis) correspond to our latest update and should serve for orientational purpose only. We do not guarantee the topicality. We would kindly ask you to make a request for specific requirements, if necessary.

All products are intended for research use only (RUO). Not for human, veterinary or therapeutic use.

Amount: 100 ul
Available: In stock
available

Compare

Add to wishlist

Get an offer

Request delivery time

Ask a technical question

Submit a bulk request

Questions about this Product?
 
Close