Comparison

Anti-SUMO-1/2/3 Mouse mAb (N-terminal)

Item no. PTM-1109
Manufacturer PTM Biolabs
Amount 100 ul
Category
Type Antibody Monoclonal
Format Lyophilized powder
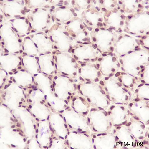
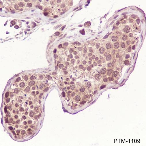
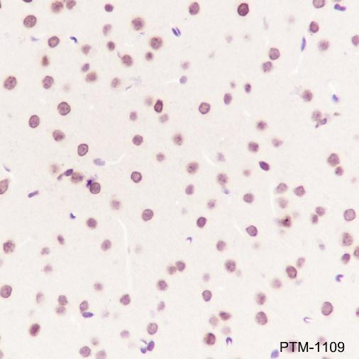
Applications WB, IHC-P
Specific against Human (Homo sapiens), Mouse (Murine, Mus musculus), Rat (Rattus norvegicus), Monkey (Cynomolgus, Simian)
Host Mouse
Isotype IgG
Conjugate/Tag Unconjugated
Citations Yan Lingjie, et al. SENP1 prevents steatohepatitis by suppressing RIPK1-driven apoptosis and inflammation. Nature Communications, 2022. https://www.nature.com/articles/s41467-022-34993-0.
ECLASS 10.1 42030590
ECLASS 11.0 42030590
UNSPSC 12352203
Alias SUMO1/2/3
Shipping Condition Room temperature
Available
Manufacturer - Type
Primary Antibodies
Manufacturer - Category
Pan PTM Antibodies
Shipping Temperature
Ambient temperature
Storage Conditions
Store at -20°C. Avoid freeze/thaw cycles.
Molecular Weight
Multiple
Stability
Stable for 12 months from date of receipt/reconstitution.
Manufacturer - Research Area
Post-Translational Modificaiton
Product description
Small ubiquitin-related modifier 1, 2 and 3 (SUMO-1, 2 and 3) are members of the ubiquitin-like protein family. The functions of the small ubiquitin-related modifier protein is similar to ubiquitin in that it is bound to target proteins as part of a post-translational modification system. It can be covalently attached to proteins as a monomer or a lysine-linked polymer. Covalent attachment via an isopeptide bond to its substrates requires prior activation by the E1 complex SAE1-SAE2 and linkage to the E2 enzyme UBE2I and can be promoted by E3 ligases such as PIAS1-4, RANBP2 or CBX4. Ubiquitin predominantly regulates degradation of its target. In contrast, SUMO-1 is conjugated to RanGAP, PML, p53 and IκB-α to regulate nuclear trafficking, formation of subnuclear structures, transcriptional activity, and protein stability. SUMO-2/3 forms poly-(SUMO) chains, which is conjugated to topoisomerase II and APP, and regulates chromosomal segregation and cellular responses to environmental stress.
Purification Method
Protein G and immunogen affinity purified
Manufacturer - Specificity
Anti-SUMO-1/2/3 Mouse mAb (N-terminal) detects endogenous levels of SUMO-1/2/3 and SUMOylated proteins.
Formula
PBS, Glycerol, BSA
PTM
SUMOyl
Modification Site
Lys
Immunogen
Synthetic peptide corresponding to human SUMO-1, 2, and 3
Clonality
Monoclonal
Background
Small ubiquitin-related modifier 1, 2 and 3 (SUMO-1, 2 and 3) are members of the ubiquitin-like protein family. The functions of the small ubiquitin-related modifier protein is similar to ubiquitin in that it is bound to target proteins as part of a post-translational modification system. It can be covalently attached to proteins as a monomer or a lysine-linked polymer. Covalent attachment via an isopeptide bond to its substrates requires prior activation by the E1 complex SAE1-SAE2 and linkage to the E2 enzyme UBE2I and can be promoted by E3 ligases such as PIAS1-4, RANBP2 or CBX4. Ubiquitin predominantly regulates degradation of its target. In contrast, SUMO-1 is conjugated to RanGAP, PML, p53 and IκB-α to regulate nuclear trafficking, formation of subnuclear structures, transcriptional activity, and protein stability. SUMO-2/3 forms poly-(SUMO) chains, which is conjugated to topoisomerase II and APP, and regulates chromosomal segregation and cellular responses to environmental stress.
Cellular Localization
Nucleus, Cytoplasm

Note: The presented information and documents (Manual, Product Datasheet, Safety Datasheet and Certificate of Analysis) correspond to our latest update and should serve for orientational purpose only. We do not guarantee the topicality. We would kindly ask you to make a request for specific requirements, if necessary.

All products are intended for research use only (RUO). Not for human, veterinary or therapeutic use.

Amount: 100 ul
Available: In stock
available

Compare

Add to wishlist

Get an offer

Request delivery time

Ask a technical question

Submit a bulk request

Questions about this Product?
 
Close