Comparison

Anti-β-Hydroxybutyryl-Histone H4 (Lys12) Rabbit mAb

Item no. PTM-1206RM
Manufacturer PTM Biolabs
Amount 100 ul
Category
Type Antibody Monoclonal
Format Lyophilized powder
Applications WB, ICC, CHIP
Clone 9H1L2
Specific against Human (Homo sapiens)
Host Rabbit
Isotype IgG
Conjugate/Tag Unconjugated
Citations Yufan Zheng, et al. β-hydroxybutyrate inhibits ferroptosis-mediated pancreatic damage in acute liver failure through the increase of H3K9bhb. Cell Reports, 2022. https://www.sciencedirect.com/science/article/pii/S2211124722017399.
ECLASS 10.1 42030590
ECLASS 11.0 42030590
UNSPSC 12352203
Alias H4K12bhb
Shipping Condition Room temperature
Available
Manufacturer - Type
Primary Antibodies
Manufacturer - Applications
WB, ICC/IF, ChIP
Manufacturer - Category
Histone & Histone Modification Antibodies
Manufacturer - Targets
Histone H4
Shipping Temperature
Ambient temperature
Storage Conditions
Store at -20°C. Avoid freeze/thaw cycles.
Molecular Weight
11
Stability
Stable for 12 months from date of receipt/reconstitution.
Manufacturer - Research Area
Epigenetics
Product description
Histones are subject to a variety of enzyme catalyzed modifications, including acetylation, methylation, phosphorylation, ubiquitination, etc. β-Hydroxybutyrylation of lysine (Kbhb) is a newly identified histone marker that is enriched in active gene promoters. Histone Kbhb marks are dramatically induced in response to elevated β-hydroxybutyrate levels in cultured cells and in livers from mice subjected to prolonged fasting or streptozotocin-induced diabetic ketoacidosis. Histone β-hydroxybutyrylation represents a new epigenetic regulatory mark that couples metabolism to gene expression, offering a new avenue to study chromatin regulation and diverse functions of β-hydroxybutyrate in the context of important human pathophysiological states, including diabetes, epilepsy, and neoplasia.
Purification Method
Protein A purified
Manufacturer - Specificity
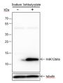
Anti-β-Hydroxybutyryl-Histone H4 (Lys12) Rabbit mAb detects histone H4 only when it is β-hydroxybutyrylated at Lys12.
Formula
PBS, Glycerol, BSA
PTM
β-Hydroxybutyryl
Modification Site
Lys12
Immunogen
β-Hydroxybutylated human histone H4 (Lys12) peptide
Clonality
Recombinant Monoclonal
Background
Histones are subject to a variety of enzyme catalyzed modifications, including acetylation, methylation, phosphorylation, ubiquitination, etc. β-Hydroxybutyrylation of lysine (Kbhb) is a newly identified histone marker that is enriched in active gene promoters. Histone Kbhb marks are dramatically induced in response to elevated β-hydroxybutyrate levels in cultured cells and in livers from mice subjected to prolonged fasting or streptozotocin-induced diabetic ketoacidosis. Histone β-hydroxybutyrylation represents a new epigenetic regulatory mark that couples metabolism to gene expression, offering a new avenue to study chromatin regulation and diverse functions of β-hydroxybutyrate in the context of important human pathophysiological states, including diabetes, epilepsy, and neoplasia.
Cellular Localization
Nucleus

Note: The presented information and documents (Manual, Product Datasheet, Safety Datasheet and Certificate of Analysis) correspond to our latest update and should serve for orientational purpose only. We do not guarantee the topicality. We would kindly ask you to make a request for specific requirements, if necessary.

All products are intended for research use only (RUO). Not for human, veterinary or therapeutic use.

Amount: 100 ul
Available: In stock
available

Compare

Add to wishlist

Get an offer

Request delivery time

Ask a technical question

Submit a bulk request

Questions about this Product?
 
Close