Comparison

Anti-L-Lactyl-Histone H3 (Lys9) Rabbit mAb

Item no. PTM-1419RM
Manufacturer PTM Biolabs
Amount 100 ul
Category
Type Antibody Monoclonal
Format Lyophilized powder
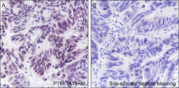
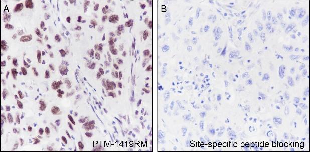
Applications WB, ICC, IHC-P, CHIP
Clone 13H2L1
Specific against Human (Homo sapiens), Mouse (Murine, Mus musculus), Rat (Rattus norvegicus)
Host Rabbit
Isotype IgG
Conjugate/Tag Unconjugated
Citations Yang Yaqi, et al. DNAJC12 downregulation induces neuroblastoma progression via increased histone H4K5 lactylation. Journal of Molecular Cell Biology, 2024. https://academic.oup.com/jmcb/advance-article-abstract/doi/10.1093/jmcb/mjae056/7931871.
ECLASS 10.1 42030590
ECLASS 11.0 42030590
UNSPSC 12352203
Alias H3K9la
Shipping Condition Room temperature
Available
Manufacturer - Type
Primary Antibodies
Manufacturer - Applications
WB, IHC-P, ICC/IF, ChIP
Manufacturer - Category
Histone & Histone Modification Antibodies
Manufacturer - Targets
Histone H3
Shipping Temperature
Ambient temperature
Storage Conditions
Store at -20°C. Avoid freeze/thaw cycles.
Molecular Weight
15
Stability
Stable for 12 months from date of receipt/reconstitution.
Manufacturer - Research Area
Epigenetics
Product description
Histones, fundamental proteins involved in chromatin structure and gene regulation, are subject to a wide array of enzyme-catalyzed modifications, including acetylation, methylation, phosphorylation, ubiquitination, and numerous others. Histone L-lactylation, a recently discovered post-translational modification induced by lactate has emerged as a significant addition to this repertoire. The extent and dynamics of this modification are highly reliant on lactate levels within the cellular microenvironment and can be modulated through the introduction of extracellular lactate in cultured cells or the stimulation of intracellular glycolysis. The introduction of lysine L-lactylation is mediated by the acetyltransferase p300, while the removal of lactylation marks from histones has been attributed to Class I histone deacetylases (HDAC 1-3). H3K9 lactylation (H3K9la) has been implicated in tumorigenesis, particularly in hepatocellular carcinoma (HCC), where it plays a role in disease progression. Aberrant levels of H3K9la have been observed in HCC and positively correlate with the expression of markers of cancer malignancy, such as CD133, BCL2, Ki67, and LDHA.
Purification Method
Protein A purified
Manufacturer - Specificity
Anti-L-Lactyl-Histone H3 (Lys9) Rabbit mAb detects histone H3 only when it is L-lactylated at Lys9.
Formula
PBS, Glycerol, BSA
PTM
Lactyl
Modification Site
Lys9
Immunogen
L-lactylated human histone H3 (Lys9) peptide
Clonality
Recombinant Monoclonal
Background
Histones, fundamental proteins involved in chromatin structure and gene regulation, are subject to a wide array of enzyme-catalyzed modifications, including acetylation, methylation, phosphorylation, ubiquitination, and numerous others. Histone L-lactylation, a recently discovered post-translational modification induced by lactate has emerged as a significant addition to this repertoire. The extent and dynamics of this modification are highly reliant on lactate levels within the cellular microenvironment and can be modulated through the introduction of extracellular lactate in cultured cells or the stimulation of intracellular glycolysis. The introduction of lysine L-lactylation is mediated by the acetyltransferase p300, while the removal of lactylation marks from histones has been attributed to Class I histone deacetylases (HDAC 1-3). H3K9 lactylation (H3K9la) has been implicated in tumorigenesis, particularly in hepatocellular carcinoma (HCC), where it plays a role in disease progression. Aberrant levels of H3K9la have been observed in HCC and positively correlate with the expression of markers of cancer malignancy, such as CD133, BCL2, Ki67, and LDHA.
Cellular Localization
Nucleus

Note: The presented information and documents (Manual, Product Datasheet, Safety Datasheet and Certificate of Analysis) correspond to our latest update and should serve for orientational purpose only. We do not guarantee the topicality. We would kindly ask you to make a request for specific requirements, if necessary.

All products are intended for research use only (RUO). Not for human, veterinary or therapeutic use.

Amount: 100 ul
Available: In stock
available

Compare

Add to wishlist

Get an offer

Request delivery time

Ask a technical question

Submit a bulk request

Questions about this Product?
 
Close