Comparison

Anti-Acetyl-Histone H4 (Lys8) Mouse mAb

Item no. PTM-190
Manufacturer PTM Biolabs
Amount 100 ul
Category
Type Antibody Monoclonal
Format Lyophilized powder
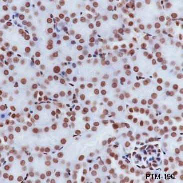
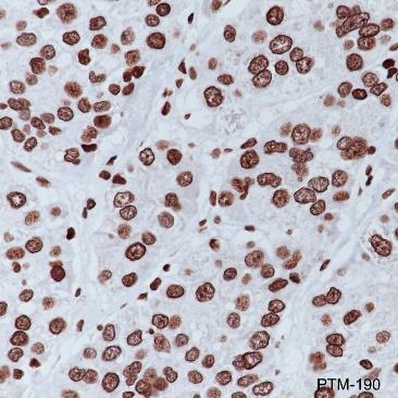
Applications WB, IHC-P, CHIP
Clone 10413
Specific against Human (Homo sapiens), Mouse (Murine, Mus musculus), Rat (Rattus norvegicus)
Host Mouse
Isotype IgG1
Conjugate/Tag Unconjugated
ECLASS 10.1 42030590
ECLASS 11.0 42030590
UNSPSC 12352203
Alias H4K8ac
Shipping Condition Room temperature
Available
Manufacturer - Type
Primary Antibodies
Manufacturer - Category
Histone & Histone Modification Antibodies
Manufacturer - Targets
Histone H4
Shipping Temperature
Ambient temperature
Storage Conditions
Store at -20°C. Avoid freeze/thaw cycles.
Molecular Weight
11
Stability
Stable for 12 months from date of receipt/reconstitution.
Manufacturer - Research Area
Epigenetics
Product description
Histone post-translational modifications (PTMs) are key mechanisms of epigenetics that modulate chromatin structures, termed as “histone code”. The PTMs on histone including acetylation, methylation, phosphorylation and novel acylations directly affect the accessibility of chromatin to transcription factors and other epigenetic regulators, altering genome stability, gene transcription, etc. Histone acetylation occurs primarily at multiple lysine residues on the amino-terminal of core histones, in response to various stimuli and plays vital roles in the regulation of gene expression, DNA damage repair, chromatin dynamics, etc. Mostly, histone H2A is primarily acetylated at Lys5, 9, 15, and 36; H2B is primarily acetylated at Lys5, 12, 15, 16, and 20. Histone H3 is primarily acetylated at Lys4, 9, 14, 18, 23, 27, 56, and 79. Histone H4 is primarily acetylated at Lys5, 8, 12, 16, and 20. Histone acetyltransferases (HATs) and histone deacetylases (HDACs) are major regulating factors.
Purification Method
Protein G purified
Formula
PBS, Glycerol, BSA
PTM
Acetyl
Modification Site
Lys8
Immunogen
Acetylated human histone H4 (Lys8) peptide
Clonality
Recombinant Monoclonal
Background
Histone post-translational modifications (PTMs) are key mechanisms of epigenetics that modulate chromatin structures, termed as “histone code”. The PTMs on histone including acetylation, methylation, phosphorylation and novel acylations directly affect the accessibility of chromatin to transcription factors and other epigenetic regulators, altering genome stability, gene transcription, etc. Histone acetylation occurs primarily at multiple lysine residues on the amino-terminal of core histones, in response to various stimuli and plays vital roles in the regulation of gene expression, DNA damage repair, chromatin dynamics, etc. Mostly, histone H2A is primarily acetylated at Lys5, 9, 15, and 36; H2B is primarily acetylated at Lys5, 12, 15, 16, and 20. Histone H3 is primarily acetylated at Lys4, 9, 14, 18, 23, 27, 56, and 79. Histone H4 is primarily acetylated at Lys5, 8, 12, 16, and 20. Histone acetyltransferases (HATs) and histone deacetylases (HDACs) are major regulating factors.
Cellular Localization
Nucleus

Note: The presented information and documents (Manual, Product Datasheet, Safety Datasheet and Certificate of Analysis) correspond to our latest update and should serve for orientational purpose only. We do not guarantee the topicality. We would kindly ask you to make a request for specific requirements, if necessary.

All products are intended for research use only (RUO). Not for human, veterinary or therapeutic use.

Amount: 100 ul
Available: In stock
available

Compare

Add to wishlist

Get an offer

Request delivery time

Ask a technical question

Submit a bulk request

Questions about this Product?
 
Close