Comparison

Anti-Propionyl-Histone H3 (Lys56) Rabbit mAb

Item no. PTM-220RM
Manufacturer PTM Biolabs
Amount 100 ul
Category
Type Antibody Monoclonal
Format Lyophilized powder
Applications WB, IP, IHC-P, CHIP
Clone PTM-012-5
Specific against Human (Homo sapiens), Mouse (Murine, Mus musculus), Rat (Rattus norvegicus)
Host Rabbit
Isotype IgG
Conjugate/Tag Unconjugated
ECLASS 10.1 42030590
ECLASS 11.0 42030590
UNSPSC 12352203
Alias H3K56pr
Shipping Condition Room temperature
Available
Manufacturer - Type
Primary Antibodies
Manufacturer - Category
Histone & Histone Modification Antibodies
Manufacturer - Targets
Histone H3
Shipping Temperature
Ambient temperature
Storage Conditions
Store at -20°C. Avoid freeze/thaw cycles.
Molecular Weight
15
Stability
Stable for 12 months from date of receipt/reconstitution.
Manufacturer - Research Area
Epigenetics
Product description
Histones are subject to a variety of enzyme catalyzed modifications, including acetylation, methylation, phosphorylation, ubiquitylation, etc. Lysine propionylation (Kprop) is structurally similar to lysine acetylation, is a newly identified reversible modification controlling protein activity. Lysine propionylation is abundant in both prokaryotes and eukaryotes and has been found in wide ranges of proteins including histones and non-histone substrates, such as p53. Similar to acetylation of histone H4 at Lys5, propionylation of histone H4 at Lys5 may play a vital role in the epigenetic modulation, including chromatin remodeling and transcriptional regulation.
Purification Method
Protein A purified
Manufacturer - Specificity
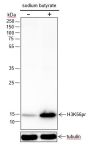
Anti-Propionyl-Histone H3 (Lys56) Rabbit mAb detects histone H3 only when it is propionylated at Lys56
Formula
PBS, Glycerol, BSA
PTM
Propionyl
Modification Site
Lys56
Immunogen
Propionylated human histone H3 (Lys56) peptide
Clonality
Recombinant Monoclonal
Background
Histones are subject to a variety of enzyme catalyzed modifications, including acetylation, methylation, phosphorylation, ubiquitylation, etc. Lysine propionylation (Kprop) is structurally similar to lysine acetylation, is a newly identified reversible modification controlling protein activity. Lysine propionylation is abundant in both prokaryotes and eukaryotes and has been found in wide ranges of proteins including histones and non-histone substrates, such as p53. Similar to acetylation of histone H4 at Lys5, propionylation of histone H4 at Lys5 may play a vital role in the epigenetic modulation, including chromatin remodeling and transcriptional regulation.
Cellular Localization
Nucleus

Note: The presented information and documents (Manual, Product Datasheet, Safety Datasheet and Certificate of Analysis) correspond to our latest update and should serve for orientational purpose only. We do not guarantee the topicality. We would kindly ask you to make a request for specific requirements, if necessary.

All products are intended for research use only (RUO). Not for human, veterinary or therapeutic use.

Amount: 100 ul
Available: In stock
available

Compare

Add to wishlist

Get an offer

Request delivery time

Ask a technical question

Submit a bulk request

Questions about this Product?
 
Close