Comparison

Anti-Butyryl-Histone H2B (Lys5) Rabbit pAb

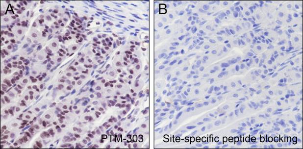
Item no. PTM-303
Manufacturer PTM Biolabs
Amount 100 ul
Category
Type Antibody Polyclonal
Format Lyophilized powder
Applications WB, ICC, IHC-P
Specific against Human (Homo sapiens), Mouse (Murine, Mus musculus), Rat (Rattus norvegicus)
Host Rabbit
Isotype IgG
Conjugate/Tag Unconjugated
ECLASS 10.1 32160702
ECLASS 11.0 32160702
UNSPSC 12352203
Alias H2BK5bu
Shipping Condition Room temperature
Available
Manufacturer - Type
Primary Antibodies
Manufacturer - Applications
WB, IHC-P, ICC/IF
Manufacturer - Category
Histone & Histone Modification Antibodies
Manufacturer - Targets
Histone H2B
Shipping Temperature
Ambient temperature
Storage Conditions
Store at -20°C. Avoid freeze/thaw cycles.
Molecular Weight
14
Stability
Stable for 12 months from date of receipt/reconstitution.
Manufacturer - Research Area
Epigenetics
Product description
Histones are subject to a variety of enzyme catalyzed modifications, including acetylation, methylation, phosphorylation, ubiquitylation, etc. Butyrylation of lysine is a newly identified reversible modification controlling chromosome structure and gene transcription. Lysine butyrylation is highly conserved in eukaryotic cells from worm to human. The unique structure and genomic localization of histone lysine butyrylation suggest that it is mechanistically and functionally different from histone lysine acetylation. Specifically, in both human somatic and rabbit male germ cell genomes, histone butyrylation marks either active promoters or potential enhancers. Butyrylation of histone H3 at Lys18 may play a vital role in the epigenetic modulation, including chromatin remodeling and DNA
Purification Method
Protein A and immunogen affinity purified
Manufacturer - Specificity
Anti-Butyryl-Histone H2B (Lys5) Rabbit mAb detects histone H2B only when it is butyrylated at Lys5. 
Formula
PBS, Glycerol, BSA
PTM
Butyryl
Modification Site
Lys5
Immunogen
Butyrylated human histone H2B (Lys5) peptide
Clonality
Polyclonal
Background
Histones are subject to a variety of enzyme catalyzed modifications, including acetylation, methylation, phosphorylation, ubiquitylation, etc. Butyrylation of lysine is a newly identified reversible modification controlling chromosome structure and gene transcription. Lysine butyrylation is highly conserved in eukaryotic cells from worm to human. The unique structure and genomic localization of histone lysine butyrylation suggest that it is mechanistically and functionally different from histone lysine acetylation. Specifically, in both human somatic and rabbit male germ cell genomes, histone butyrylation marks either active promoters or potential enhancers. Butyrylation of histone H3 at Lys18 may play a vital role in the epigenetic modulation, including chromatin remodeling and DNA
Cellular Localization
Nucleus

Note: The presented information and documents (Manual, Product Datasheet, Safety Datasheet and Certificate of Analysis) correspond to our latest update and should serve for orientational purpose only. We do not guarantee the topicality. We would kindly ask you to make a request for specific requirements, if necessary.

All products are intended for research use only (RUO). Not for human, veterinary or therapeutic use.

Amount: 100 ul
Available: In stock
available

Compare

Add to wishlist

Get an offer

Request delivery time

Ask a technical question

Submit a bulk request

Questions about this Product?
 
Close