Comparison

Anti-Succinyllysine Rabbit pAb

Item no. PTM-401
Manufacturer PTM Biolabs
Amount 100 ul
Category
Type Antibody Polyclonal
Format Lyophilized powder
Applications WB, IHC-P
Specific against Human (Homo sapiens)
Host Rabbit
Isotype IgG
Conjugate/Tag Unconjugated
Citations Chen Rong, et al. Total glucosides of paeony ameliorates chemotherapy-induced neuropathic pain by suppressing microglia pyroptosis through the inhibition of KAT2A-mediated p38 pathway activation and succinylation. Scientific Reports, 2024. https://www.nature.com/articles/s41598-024-83207-8.
ECLASS 10.1 32160702
ECLASS 11.0 32160702
UNSPSC 12352203
Alias Ksu
Shipping Condition Room temperature
Available
Manufacturer - Type
Primary Antibodies
Manufacturer - Category
Pan PTM Antibodies
Shipping Temperature
Ambient temperature
Storage Conditions
Store at -20°C. Avoid freeze/thaw cycles.
Molecular Weight
Multiple
Stability
Stable for 12 months from date of receipt/reconstitution.
Manufacturer - Research Area
Post-Translational Modificaiton
Manufacturer - Reactivity
All
Product description
Succinylation is a post-translational modification that involves the addition of a succinyl group (-CO-CH2-CH2-CO2 h) is added to a lysine residue of a protein molecule. This modification is found in many proteins, including histones. Although the precise implications of succinylation are under investigation, due to its impact on lysine's charge, transitioning it from +1 to -1 (under physiological pH conditions), and because succinylation introduces a relatively substantial structural moiety with a mass of 100 Da, which is notably larger than the moieties introduced by acetylation (42 Da) or methylation (14 Da), succinylation is anticipated to induce more substantial alterations in both protein structure and function. Key players in the succinylation process comprise 'writers' such as carnitine palmitoyltransferase 1A (CPT1A) and lysine acetyltransferase 2A (KAT2A/GCN5), 'erasers' like sirtuin 5 (SIRT5) and sirtuin 7 (SIRT7), and the pH-dependent reader, the YEATS domain of glioma-amplified sequence 41 (GAS41).
Purification Method
Protein A and immunogen affinity purified
Manufacturer - Specificity
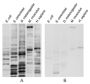
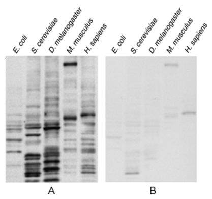
Anti-Succinyllysine Rabbit pAb detects proteins post-translationally modified by succinylation on lysine residues. This pan antibody recognizes succinylated lysine independent of its surrounding sequences.
Formula
PBS, Glycerol, BSA
PTM
Succinyl
Modification Site
Lys
Immunogen
Succinylated lysine peptides
Clonality
Polyclonal
Background
Succinylation is a post-translational modification that involves the addition of a succinyl group (-CO-CH2-CH2-CO2 h) is added to a lysine residue of a protein molecule. This modification is found in many proteins, including histones. Although the precise implications of succinylation are under investigation, due to its impact on lysine's charge, transitioning it from +1 to -1 (under physiological pH conditions), and because succinylation introduces a relatively substantial structural moiety with a mass of 100 Da, which is notably larger than the moieties introduced by acetylation (42 Da) or methylation (14 Da), succinylation is anticipated to induce more substantial alterations in both protein structure and function. Key players in the succinylation process comprise 'writers' such as carnitine palmitoyltransferase 1A (CPT1A) and lysine acetyltransferase 2A (KAT2A/GCN5), 'erasers' like sirtuin 5 (SIRT5) and sirtuin 7 (SIRT7), and the pH-dependent reader, the YEATS domain of glioma-amplified sequence 41 (GAS41).

Note: The presented information and documents (Manual, Product Datasheet, Safety Datasheet and Certificate of Analysis) correspond to our latest update and should serve for orientational purpose only. We do not guarantee the topicality. We would kindly ask you to make a request for specific requirements, if necessary.

All products are intended for research use only (RUO). Not for human, veterinary or therapeutic use.

Amount: 100 ul
Available: In stock
available

Compare

Add to wishlist

Get an offer

Request delivery time

Ask a technical question

Submit a bulk request

Questions about this Product?
 
Close