Comparison

Anti-Dimethyl-Histone H3 (Lys23) Mouse mAb

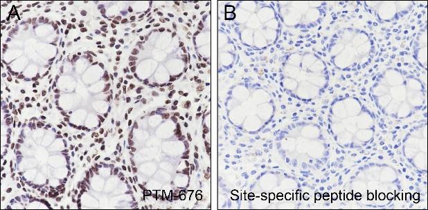
Item no. PTM-676
Manufacturer PTM Biolabs
Amount 100 ul
Category
Type Antibody Monoclonal
Format Lyophilized powder
Applications WB, IP, ICC, IHC-P, CHIP
Specific against Human (Homo sapiens), Mouse (Murine, Mus musculus), Rat (Rattus norvegicus), Monkey (Cynomolgus, Simian)
Host Mouse
Isotype IgG
Conjugate/Tag Unconjugated
ECLASS 10.1 42030590
ECLASS 11.0 42030590
UNSPSC 12352203
Alias H3K23me2
Shipping Condition Room temperature
Available
Manufacturer - Type
Primary Antibodies
Manufacturer - Applications
WB, IHC-P, ICC/IF, IP, ChIP
Manufacturer - Category
Histone & Histone Modification Antibodies
Manufacturer - Targets
Histone H3
Shipping Temperature
Ambient temperature
Storage Conditions
Store at -20°C. Avoid freeze/thaw cycles.
Molecular Weight
15
Stability
Stable for 12 months from date of receipt/reconstitution.
Manufacturer - Research Area
Epigenetics
Product description
Histone post-translational modifications (PTMs) are key mechanisms of epigenetics that modulate chromatin structures, termed as “histone code”. The PTMs on histone including acetylation, methylation, phosphorylation and novel acylations directly affect the accessibility of chromatin to transcription factors and other epigenetic regulators, altering genome stability, gene transcription, etc. Histone methylation occurs primarily at lysine and arginine residues on the amino terminal of core histones. Methylation of histones can either increase or decrease transcription of genes, depending on which amino acids (Lys or Arg) in the histones are methylated and how many methyl groups are attached (mono-, di-, Trimethylation on Lys, mono-di-symmetric/asymmetric methylation on Arg). Mostly, lysine methylation occurs primarily on histone H3 Lys4, 9, 27, 36, 79 and H4 Lys20, while Arginine methylation occurs primarily on histone H3 Arg2, 8, 17, 26 and H4 Arg3. histone methyltransferases (HMTs) and histone demethylases (HDMs) are major regulating factors.
Purification Method
Protein G and immunogen affinity purified
Manufacturer - Specificity
Anti-Dimethyl-Histone H3 (Lys23) Mouse mAb detects histone H3 only when it is Dimethylated at Lys23.
Formula
PBS, Glycerol, BSA
PTM
Dimethyl
Modification Site
Lys23
Clonality
Monoclonal
Background
Histone post-translational modifications (PTMs) are key mechanisms of epigenetics that modulate chromatin structures, termed as “histone code”. The PTMs on histone including acetylation, methylation, phosphorylation and novel acylations directly affect the accessibility of chromatin to transcription factors and other epigenetic regulators, altering genome stability, gene transcription, etc. Histone methylation occurs primarily at lysine and arginine residues on the amino terminal of core histones. Methylation of histones can either increase or decrease transcription of genes, depending on which amino acids (Lys or Arg) in the histones are methylated and how many methyl groups are attached (mono-, di-, Trimethylation on Lys, mono-di-symmetric/asymmetric methylation on Arg). Mostly, lysine methylation occurs primarily on histone H3 Lys4, 9, 27, 36, 79 and H4 Lys20, while Arginine methylation occurs primarily on histone H3 Arg2, 8, 17, 26 and H4 Arg3. Histone methylases (HMTs) and histone demethylases (HDMs) are major regulating factors.
Cellular Localization
Nucleus

Note: The presented information and documents (Manual, Product Datasheet, Safety Datasheet and Certificate of Analysis) correspond to our latest update and should serve for orientational purpose only. We do not guarantee the topicality. We would kindly ask you to make a request for specific requirements, if necessary.

All products are intended for research use only (RUO). Not for human, veterinary or therapeutic use.

Amount: 100 ul
Available: In stock
available

Compare

Add to wishlist

Get an offer

Request delivery time

Ask a technical question

Submit a bulk request

Questions about this Product?
 
Close