Comparison

Anti-2-Hydroxyisobutyryl-Histone H3 (Lys18) Mouse mAb

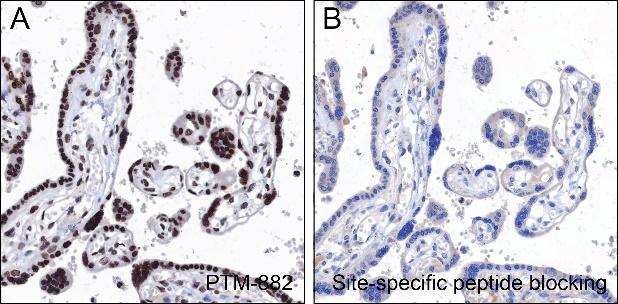
Item no. PTM-882
Manufacturer PTM Biolabs
Amount 100 ul
Category
Type Antibody Monoclonal
Format Lyophilized powder
Applications WB, ICC, IHC-P, CHIP
Specific against Human (Homo sapiens), Mouse (Murine, Mus musculus), Rat (Rattus norvegicus)
Host Mouse
Isotype IgG
Conjugate/Tag Unconjugated
Citations He Huang, et al. p300-Mediated Lysine 2-Hydroxyisobutyrylation Regulates Glycolysis. MOLECULAR CELL, 2018. https://www.sciencedirect.com/science/article/pii/S1097276518303071.
ECLASS 10.1 42030590
ECLASS 11.0 42030590
UNSPSC 12352203
Alias H3K18hib
Shipping Condition Room temperature
Available
Manufacturer - Type
Primary Antibodies
Manufacturer - Applications
WB, IHC-P, ICC/IF, ChIP
Manufacturer - Category
Histone & Histone Modification Antibodies
Manufacturer - Targets
Histone H3
Shipping Temperature
Ambient temperature
Storage Conditions
Store at -20°C. Avoid freeze/thaw cycles.
Molecular Weight
15
Stability
Stable for 12 months from date of receipt/reconstitution.
Manufacturer - Research Area
Epigenetics
Product description
Histones are subjected to a variety of enzyme catalyzed modifications, including acetylation, methylation, phosphorylation, ubiquitylation, etc. 2-hydroxyisobutyrylation of lysine is a newly identified reversible modification controlling chromosome structure and gene transcription. The reversible lysine 2-hydroxyisobutyrylation has been well demonstrated in eukaryotic histones from worm to human. The unique structure and genomic localization of histone lysine 2-hydroxyisobutyrylation suggest that it is mechanistically and functionally different from histone lysine acetylation. Specifically, in both human somatic and mouse male germ cell genomes, histone 2-hydroxyisobutyrylation marks either active promoters or potential enhancers.
Purification Method
Protein G and immunogen affinity purified
Manufacturer - Specificity
Anti-2-Hydroxyisobutyryl-Histone H3 (Lys18) Mouse mAb detects histone H3 only when it is Hydroxyisobutyrylated at Lys18.
Formula
PBS, Glycerol, BSA
PTM
2-Hydroxyisobutyryl
Modification Site
Lys18
Clonality
Monoclonal
Background
Histones are subjected to a variety of enzyme catalyzed modifications, including acetylation, methylation, phosphorylation, ubiquitylation, etc. 2-hydroxyisobutyrylation of lysine is a newly identified reversible modification controlling chromosome structure and gene transcription. The reversible lysine 2-hydroxyisobutyrylation has been well demonstrated in eukaryotic histones from worm to human. The unique structure and genomic localization of histone lysine 2-hydroxyisobutyrylation suggest that it is mechanistically and functionally different from histone lysine acetylation. Specifically, in both human somatic and mouse male germ cell genomes, histone 2-hydroxyisobutyrylation marks either active promoters or potential enhancers.
Cellular Localization
Nucleus

Note: The presented information and documents (Manual, Product Datasheet, Safety Datasheet and Certificate of Analysis) correspond to our latest update and should serve for orientational purpose only. We do not guarantee the topicality. We would kindly ask you to make a request for specific requirements, if necessary.

All products are intended for research use only (RUO). Not for human, veterinary or therapeutic use.

Amount: 100 ul
Available: In stock
available

Compare

Add to wishlist

Get an offer

Request delivery time

Ask a technical question

Submit a bulk request

Questions about this Product?
 
Close