Comparison

Anti-Rb (phospho-S780) RB1 Antibody European Partner

Item no. BOS-A00039S780
Manufacturer Boster
Amount 100 ul
Category
Format Liquid
Applications IF, IHC
Specific against Human (Homo sapiens), Mouse (Murine, Mus musculus), Rat (Rattus norvegicus)
Host Rabbit
Alias Retinoblastoma-associated protein,p105-Rb,pRb,Rb,pp110,RB1
Available
Manufacturer - Category
Primary Antibodies
Storage Conditions
Store at -20°C for one year. For short term storage and frequent use, store at 4°C for up to one month. Avoid repeated freeze-thaw cycles.
Molecular Weight
106159 MW
Clonality
Polyclonal
Application Details
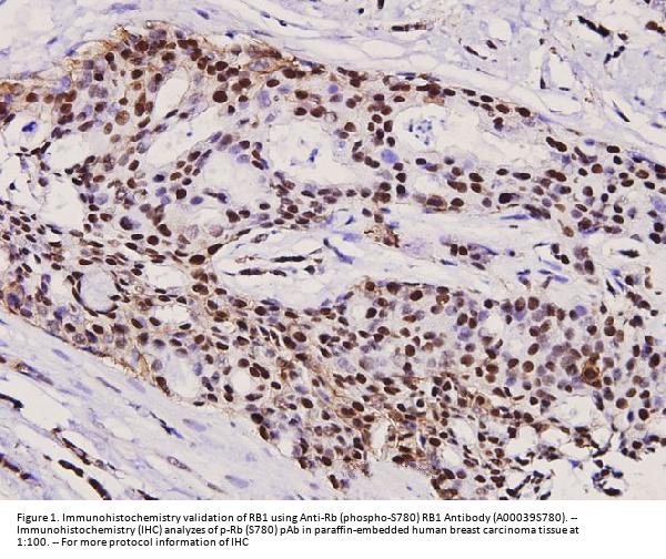
IHC: 1:50-1:200
IF: 1:50-1:200
Gene Name
RB1
Gene Full Name
Retinoblastoma-associated protein
Immunogen
Synthetic phosphopeptide derived from human Rb around the phosphorylation site of Serine 780.
Contents
Rabbit IgG, 1mg/ml in PBS with 0.02% sodium azide, 50% glycerol, pH7.2
Purification
The antibody was affinity-purified from rabbit antiserum by affinity-chromatography using epitope-specific immunogen and the purity is > 95% (by SDS-PAGE).
Concentration
1 mg/ml
Protein Name
Retinoblastoma-associated protein
Protein Function
Key regulator of entry into cell division that acts as a
tumor suppressor. Promotes G0-G1 transition when phosphorylated by
CDK3/cyclin-C. Acts as a transcription repressor of E2F1 target
genes. The underphosphorylated, active form of RB1 interacts with
E2F1 and represses its transcription activity, leading to cell
cycle arrest. Directly involved in heterochromatin formation by
maintaining overall chromatin structure and, in particular, that
of constitutive heterochromatin by stabilizing histone
methylation. Recruits and targets histone methyltransferases
SUV39H1, KMT5B and KMT5C, leading to epigenetic transcriptional
repression. Controls histone H4 'Lys-20' trimethylation. Inhibits
the intrinsic kinase activity of TAF1. Mediates transcriptional
repression by SMARCA4/BRG1 by recruiting a histone deacetylase
(HDAC) complex to the c-FOS promoter. In resting neurons,
transcription of the c-FOS promoter is inhibited by BRG1-dependent
recruitment of a phospho-RB1-HDAC1 repressor complex. Upon calcium
influx, RB1 is dephosphorylated by calcineurin, which leads to
release of the repressor complex (By similarity).
Subcellular Localization
Nucleus
Description
Boster Bio Anti-Rb (phospho-S780) RB1 Antibody catalog # A00039S780. Tested in IHC, IF applications. This antibody reacts with Human, Mouse, Rat.
Tissue Specificity
Expressed in the retina.

Note: The presented information and documents (Manual, Product Datasheet, Safety Datasheet and Certificate of Analysis) correspond to our latest update and should serve for orientational purpose only. We do not guarantee the topicality. We would kindly ask you to make a request for specific requirements, if necessary.

All products are intended for research use only (RUO). Not for human, veterinary or therapeutic use.

Amount: 100 ul
Available: In stock
available

Compare

Add to wishlist

Get an offer

Request delivery time

Ask a technical question

Submit a bulk request

Questions about this Product?