Comparison

Anti-Bcl-2 (phospho-T69) Antibody European Partner

Item no. BOS-A00040T69
Manufacturer Boster
Amount 100 ul
Category
Format Liquid
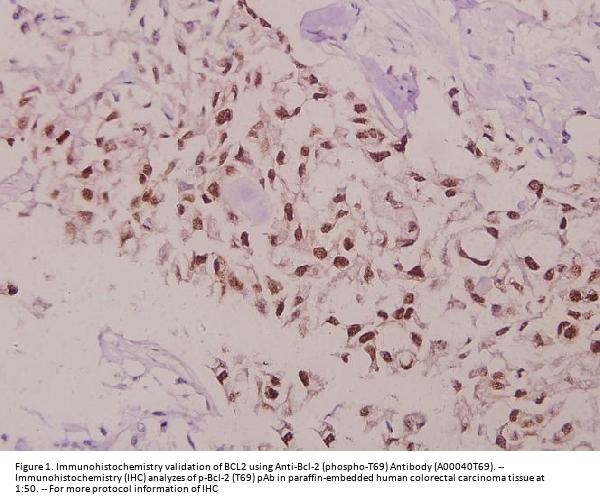
Applications IHC
Specific against Human (Homo sapiens), Mouse (Murine, Mus musculus), Rat (Rattus norvegicus)
Host Rabbit
Alias Apoptosis regulator Bcl-2,BCL2
Available
Manufacturer - Category
Primary Antibodies
Storage Conditions
Store at -20°C for one year. For short term storage and frequent use, store at 4°C for up to one month. Avoid repeated freeze-thaw cycles.
Molecular Weight
26266 MW
Clonality
Polyclonal
Application Details
IHC: 1:50-1:200
Gene Name
BCL2
Gene Full Name
Apoptosis regulator Bcl-2
Immunogen
Synthetic phosphopeptide derived from human Bcl-2 around the phosphorylation site of Threonine 69.
Contents
Rabbit IgG, 1mg/ml in PBS with 0.02% sodium azide, 50% glycerol, pH7.2
Purification
The antibody was affinity-purified from rabbit antiserum by affinity-chromatography using epitope-specific immunogen and the purity is > 95% (by SDS-PAGE).
Concentration
1 mg/ml
Protein Name
Apoptosis regulator Bcl-2
Protein Function
Suppresses apoptosis in a variety of cell systems
including factor-dependent lymphohematopoietic and neural cells.
Regulates cell death by controlling the mitochondrial membrane
permeability. Appears to function in a feedback loop system with
caspases. Inhibits caspase activity either by preventing the
release of cytochrome c from the mitochondria and/or by binding to
the apoptosis-activating factor (APAF-1). May attenuate
inflammation by impairing NLRP1-inflammasome activation, hence
CASP1 activation and IL1B release (PubMed:17418785).
Subcellular Localization
Mitochondrion outer membrane
Description
Boster Bio Anti-Bcl-2 (phospho-T69) Antibody catalog # A00040T69. Tested in IHC applications. This antibody reacts with Human, Mouse, Rat.
Tissue Specificity
Expressed in a variety of tissues.

Note: The presented information and documents (Manual, Product Datasheet, Safety Datasheet and Certificate of Analysis) correspond to our latest update and should serve for orientational purpose only. We do not guarantee the topicality. We would kindly ask you to make a request for specific requirements, if necessary.

All products are intended for research use only (RUO). Not for human, veterinary or therapeutic use.

Amount: 100 ul
Available: In stock
available

Compare

Add to wishlist

Get an offer

Request delivery time

Ask a technical question

Submit a bulk request

Questions about this Product?