Comparison

Anti-Tenascin C TNC Antibody European Partner

Item no. BOS-A00936-1
Manufacturer Boster
Amount 100 ul
Category
Format Liquid
Applications WB, FC, IHC
Specific against Human (Homo sapiens)
Host Rabbit
Alias Tenascin,TN,Cytotactin,GMEM,GP 150-225,Glioma-associated-extracellular matrix antigen,Hexabrachion,JI,Myotendinous antigen,Neuronectin,Tenascin-C,TN-C,TNC,HXB
Available
Manufacturer - Category
Primary Antibodies
Storage Conditions
Store at -20°C for one year. For short term storage and frequent use, store at 4°C for up to one month. Avoid repeated freeze-thaw cycles.
Molecular Weight
240853 MW
Clonality
Polyclonal
Application Details
WB: 1:500-1:1, 000
FC: 1:50-1:100
IHC: 1:50-1:200
Gene Name
TNC
Gene Full Name
Tenascin
Immunogen
recombinant protein
Contents
Rabbit IgG, 1mg/ml in PBS with 0.02% sodium azide, 50% glycerol, pH7.2
Purification
ProA affinity purified
Concentration
1 mg/ml
Protein Name
Tenascin
Protein Function
Extracellular matrix protein implicated in guidance of
migrating neurons as well as axons during development, synaptic
plasticity as well as neuronal regeneration. Promotes neurite
outgrowth from cortical neurons grown on a monolayer of
astrocytes. Ligand for integrins alpha-8/beta-1, alpha-9/beta-1,
alpha-V/beta-3 and alpha-V/beta-6. In tumors, stimulates
angiogenesis by elongation, migration and sprouting of endothelial
cells (PubMed:19884327).
Subcellular Localization
Secreted, extracellular space, extracellular
matrix.
Description
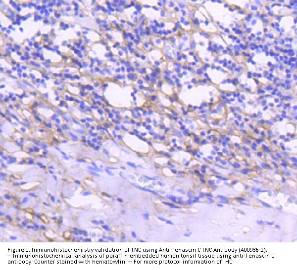
Boster Bio Anti-Tenascin C TNC Antibody catalog # A00936-1. Tested in WB, IHC, Flow Cytometry applications. This antibody reacts with Human.

Note: The presented information and documents (Manual, Product Datasheet, Safety Datasheet and Certificate of Analysis) correspond to our latest update and should serve for orientational purpose only. We do not guarantee the topicality. We would kindly ask you to make a request for specific requirements, if necessary.

All products are intended for research use only (RUO). Not for human, veterinary or therapeutic use.

Amount: 100 ul
Available: In stock
available

Compare

Add to wishlist

Get an offer

Request delivery time

Ask a technical question

Submit a bulk request

Questions about this Product?