Comparison

Anti-AMPK Alpha 1/2 (phospho-T183/172) PRKAA1 Antibody European Partner

Item no. BOS-A00994T183
Manufacturer Boster
Amount 100 ul
Category
Format Liquid
Applications WB, IHC
Specific against Human (Homo sapiens), Mouse (Murine, Mus musculus), Rat (Rattus norvegicus)
Host Rabbit
Alias 5'-AMP-activated protein kinase catalytic subunit alpha-1,AMPK subunit alpha-1,2.7.11.1
Available
Manufacturer - Category
Primary Antibodies
Storage Conditions
Store at -20°C for one year. For short term storage and frequent use, store at 4°C for up to one month. Avoid repeated freeze-thaw cycles.
Molecular Weight
64009 MW
Clonality
Polyclonal
Application Details
WB: 1:500-1:1000
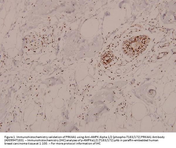
IHC: 1:50-1:200
Gene Name
PRKAA1
Gene Full Name
5'-AMP-activated protein kinase catalytic subunit alpha-1
Immunogen
Synthetic phosphopeptide derived from human AMPKα1 around the phosphorylation site of Threonine 183.
Contents
Rabbit IgG, 1mg/ml in PBS with 0.02% sodium azide, 50% glycerol, pH7.2
Purification
The antibody was affinity-purified from rabbit antiserum by affinity-chromatography using epitope-specific immunogen and the purity is > 95% (by SDS-PAGE).
Concentration
1 mg/ml
Protein Name
5'-AMP-activated protein kinase catalytic subunit alpha-1
Protein Function
Catalytic subunit of AMP-activated protein kinase
(AMPK), an energy sensor protein kinase that plays a key role in
regulating cellular energy metabolism. In response to reduction of
intracellular ATP levels, AMPK activates energy-producing pathways
and inhibits energy-consuming processes: inhibits protein,
carbohydrate and lipid biosynthesis, as well as cell growth and
proliferation. AMPK acts via direct phosphorylation of metabolic
enzymes, and by longer-term effects via phosphorylation of
transcription regulators. Also acts as a regulator of cellular
polarity by remodeling the actin cytoskeleton; probably by
indirectly activating myosin. Regulates lipid synthesis by
phosphorylating and inactivating lipid metabolic enzymes such as
ACACA, ACACB, GYS1, HMGCR and LIPE; regulates fatty acid and
cholesterol synthesis by phosphorylating acetyl-CoA carboxylase
(ACACA and ACACB) and hormone-sensitive lipase (LIPE) enzymes,
respectively. Regulates insulin-signaling and glycolysis by
phosphorylating IRS1, PFKFB2 and PFKFB3. AMPK stimulates glucose
uptake in muscle by increasing the translocation of the glucose
transporter SLC2A4/GLUT4 to the plasma membrane, possibly by
mediating phosphorylation of TBC1D4/AS160. Regulates transcription
and chromatin structure by phosphorylating transcription
regulators involved in energy metabolism such as CRTC2/TORC2,
FOXO3, histone H2B, HDAC5, MEF2C, MLXIPL/ChREBP, EP300, HNF4A,
p53/TP53, SREBF1, SREBF2 and PPARGC1A. Acts as a key regulator of
glucose homeostasis in liver by phosphorylating CRTC2/TORC2,
leading to CRTC2/TORC2 sequestration in the cytoplasm. In response
to stress, phosphorylates 'Ser-36' of histone H2B (H2BS36ph),
leading to promote transcription. Acts as a key regulator of cell
growth and proliferation by phosphorylating TSC2, RPTOR and
ATG1/ULK1: in response to nutrient limitation, negatively
regulates the mTORC1 complex by phosphorylating RPTOR component of
the mTORC1 complex and by phosphorylating and activating TSC2. In
response to nutrient limitation, promotes autophagy by
phosphorylating and activating ATG1/ULK1. In response to nutrient
limitation, phosphorylates transcription factor FOXO3 promoting
FOXO3 mitochontrial import (By similarity). AMPK also acts as a
regulator of circadian rhythm by mediating phosphorylation of
CRY1, leading to destabilize it. May regulate the Wnt signaling
pathway by phosphorylating CTNNB1, leading to stabilize it. Also
has tau-protein kinase activity: in response to amyloid beta A4
protein (APP) exposure, activated by CAMKK2, leading to
phosphorylation of MAPT/TAU; however the relevance of such data
remains unclear in vivo. Also phosphorylates CFTR, EEF2K, KLC1,
NOS3 and SLC12A1.
Subcellular Localization
Cytoplasm
Description
Boster Bio Anti-AMPK Alpha 1/2 (phospho-T183/172) PRKAA1 Antibody catalog # A00994T183. Tested in WB, IHC applications. This antibody reacts with Human, Mouse, Rat.

Note: The presented information and documents (Manual, Product Datasheet, Safety Datasheet and Certificate of Analysis) correspond to our latest update and should serve for orientational purpose only. We do not guarantee the topicality. We would kindly ask you to make a request for specific requirements, if necessary.

All products are intended for research use only (RUO). Not for human, veterinary or therapeutic use.

Amount: 100 ul
Available: In stock
available

Compare

Add to wishlist

Get an offer

Request delivery time

Ask a technical question

Submit a bulk request

Questions about this Product?