Comparison

Anti-C/EBP-Beta (phospho-T235/188) CEBPB Antibody European Partner

Item no. BOS-A01100T235
Manufacturer Boster
Amount 100 ul
Category
Format Liquid
Applications WB, IHC
Specific against Human (Homo sapiens)
Host Rabbit
Alias CCAAT/enhancer-binding protein beta
Available
Manufacturer - Category
Primary Antibodies
Storage Conditions
Store at -20°C for one year. For short term storage and frequent use, store at 4°C for up to one month. Avoid repeated freeze-thaw cycles.
Molecular Weight
36106 MW
Clonality
Polyclonal
Application Details
WB: 1:500-1:1000
IHC: 1:50-1:200
Gene Name
CEBPB
Gene Full Name
CCAAT/enhancer-binding protein beta
Immunogen
Synthetic phosphopeptide derived from human C/EBP-β around the phosphorylation site of Threonine 235.
Contents
Rabbit IgG, 1mg/ml in PBS with 0.02% sodium azide, 50% glycerol, pH7.2
Purification
The antibody was affinity-purified from rabbit antiserum by affinity-chromatography using epitope-specific immunogen and the purity is > 95% (by SDS-PAGE).
Concentration
1 mg/ml
Protein Name
CCAAT/enhancer-binding protein beta
Protein Function
Important transcription factor regulating the expression
of genes involved in immune and inflammatory responses
(PubMed:1741402, PubMed:9374525, PubMed:12048245,
PubMed:18647749). Plays also a significant role in adipogenesis,
as well as in the gluconeogenic pathway, liver regeneration, and
hematopoiesis. The consensus recognition site is 5'-
T[TG]NNGNAA[TG]-3'. Its functional capacity is governed by protein
interactions and post-translational protein modifications. During
early embryogenesis, plays essential and redundant functions with
CEBPA. Has a promitotic effect on many cell types such as
hepatocytes and adipocytes but has an antiproliferative effect on
T-cells by repressing MYC expression, facilitating differentiation
along the T-helper 2 lineage. Binds to regulatory regions of
several acute-phase and cytokines genes and plays a role in the
regulation of acute-phase reaction and inflammation. Plays also a
role in intracellular bacteria killing (By similarity). During
adipogenesis, is rapidly expressed and, after activation by
phosphorylation, induces CEBPA and PPARG, which turn on the series
of adipocyte genes that give rise to the adipocyte phenotype. The
delayed transactivation of the CEBPA and PPARG genes by CEBPB
appears necessary to allow mitotic clonal expansion and thereby
progression of terminal differentiation (PubMed:20829347).
Essential for female reproduction because of a critical role in
ovarian follicle development (By similarity). Restricts
osteoclastogenesis: together with NFE2L1; represses expression of
DSPP during odontoblast differentiation (By similarity).
Subcellular Localization
Nucleus
Description
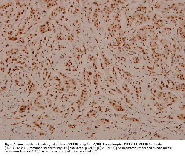
Boster Bio Anti-C/EBP-Beta (phospho-T235/188) CEBPB Antibody catalog # A01100T235. Tested in WB, IHC applications. This antibody reacts with Human.
Tissue Specificity
Expressed at low levels in the lung, kidney
and spleen.

Note: The presented information and documents (Manual, Product Datasheet, Safety Datasheet and Certificate of Analysis) correspond to our latest update and should serve for orientational purpose only. We do not guarantee the topicality. We would kindly ask you to make a request for specific requirements, if necessary.

All products are intended for research use only (RUO). Not for human, veterinary or therapeutic use.

Amount: 100 ul
Available: In stock
available

Compare

Add to wishlist

Get an offer

Request delivery time

Ask a technical question

Submit a bulk request

Questions about this Product?