Comparison

Anti-PKC Theta (phospho-S676) PRKCQ Antibody European Partner

Item no. BOS-A01293S676
Manufacturer Boster
Amount 100 ul
Category
Format Liquid
Applications WB, IF, IHC
Specific against Human (Homo sapiens), Mouse (Murine, Mus musculus), Rat (Rattus norvegicus)
Host Rabbit
Alias Protein kinase C theta type,2.7.11.13,nPKC-theta,PRKCQ,PRKCT
Available
Manufacturer - Category
Primary Antibodies
Storage Conditions
Store at -20°C for one year. For short term storage and frequent use, store at 4°C for up to one month. Avoid repeated freeze-thaw cycles.
Molecular Weight
81865 MW
Clonality
Polyclonal
Application Details
WB: 1:500-1:1000
IHC: 1:50-1:200
IF: 1:50-1:200
Gene Name
PRKCQ
Gene Full Name
Protein kinase C theta type
Immunogen
Synthetic phosphopeptide derived from human PKC θ around the phosphorylation site of Serine 676.
Contents
Rabbit IgG, 1mg/ml in PBS with 0.02% sodium azide, 50% glycerol, pH7.2
Purification
The antibody was affinity-purified from rabbit antiserum by affinity-chromatography using epitope-specific immunogen and the purity is > 95% (by SDS-PAGE).
Concentration
1 mg/ml
Protein Name
Protein kinase C theta type
Protein Function
Calcium-independent, phospholipid- and diacylglycerol
(DAG)-dependent serine/threonine-protein kinase that mediates non-
redundant functions in T-cell receptor (TCR) signaling, including
T-cells activation, proliferation, differentiation and survival,
by mediating activation of multiple transcription factors such as
NF-kappa-B, JUN, NFATC1 and NFATC2. In TCR-CD3/CD28-co-stimulated
T-cells, is required for the activation of NF-kappa-B and JUN,
which in turn are essential for IL2 production, and participates
in the calcium-dependent NFATC1 and NFATC2 transactivation.
Mediates the activation of the canonical NF-kappa-B pathway
(NFKB1) by direct phosphorylation of CARD11 on several serine
residues, inducing CARD11 association with lipid rafts and
recruitment of the BCL10-MALT1 complex, which then activates IKK
complex, resulting in nuclear translocation and activation of
NFKB1. May also play an indirect role in activation of the non-
canonical NF-kappa-B (NFKB2) pathway. In the signaling pathway
leading to JUN activation, acts by phosphorylating the mediator
STK39/SPAK and may not act through MAP kinases signaling. Plays a
critical role in TCR/CD28-induced NFATC1 and NFATC2
transactivation by participating in the regulation of reduced
inositol 1, 4, 5-trisphosphate generation and intracellular calcium
mobilization. After costimulation of T-cells through CD28 can
phosphorylate CBLB and is required for the ubiquitination and
subsequent degradation of CBLB, which is a prerequisite for the
activation of TCR. During T-cells differentiation, plays an
important role in the development of T-helper 2 (Th2) cells
following immune and inflammatory responses, and, in the
development of inflammatory autoimmune diseases, is necessary for
the activation of IL17-producing Th17 cells. May play a minor role
in Th1 response. Upon TCR stimulation, mediates T-cell protective
survival signal by phosphorylating BAD, thus protecting T-cells
from BAD-induced apoptosis, and by up-regulating BCL-X (L)/BCL2L1
levels through NF-kappa-B and JUN pathways. In platelets,
regulates signal transduction downstream of the ITGA2B, CD36/GP4,
F2R/PAR1 and F2RL3/PAR4 receptors, playing a positive role in
'outside-in' signaling and granule secretion signal transduction.
May relay signals from the activated ITGA2B receptor by regulating
the uncoupling of WASP and WIPF1, thereby permitting the
regulation of actin filament nucleation and branching activity of
the Arp2/3 complex. May mediate inhibitory effects of free fatty
acids on insulin signaling by phosphorylating IRS1, which in turn
blocks IRS1 tyrosine phosphorylation and downstream activation of
the PI3K/AKT pathway. Phosphorylates MSN (moesin) in the presence
of phosphatidylglycerol or phosphatidylinositol. Phosphorylates
PDPK1 at 'Ser-504' and 'Ser-532' and negatively regulates its
ability to phosphorylate PKB/AKT1.
Subcellular Localization
Cytoplasm. Cell membrane; Peripheral
membrane protein. In resting T-cells, mostly localized in
cytoplasm. In response to TCR stimulation, associates with lipid
rafts and then localizes in the immunological synapse.
Description
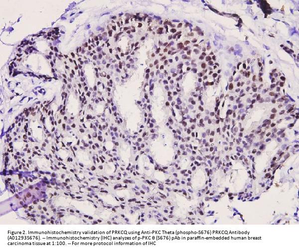
Boster Bio Anti-PKC Theta (phospho-S676) PRKCQ Antibody catalog # A01293S676. Tested in WB, IHC, IF applications. This antibody reacts with Human, Mouse, Rat.
Tissue Specificity
Expressed in skeletal muscle, T-cells,
megakaryoblastic cells and platelets.

Note: The presented information and documents (Manual, Product Datasheet, Safety Datasheet and Certificate of Analysis) correspond to our latest update and should serve for orientational purpose only. We do not guarantee the topicality. We would kindly ask you to make a request for specific requirements, if necessary.

All products are intended for research use only (RUO). Not for human, veterinary or therapeutic use.

Amount: 100 ul
Available: In stock
available

Compare

Add to wishlist

Get an offer

Request delivery time

Ask a technical question

Submit a bulk request

Questions about this Product?