Comparison

Anti-Axin-2 AXIN2 Antibody European Partner

Item no. BOS-A01772
Manufacturer Boster
Amount 0.1 mg
Category
Format Liquid
Applications WB, IF, ELISA, IHC-P
Specific against Human (Homo sapiens), Mouse (Murine, Mus musculus), Rat (Rattus norvegicus)
Host Rabbit
Isotype IgG
Alias AXIL,ODCRCS,Axin-2,Axin-like protein,Axil
Available
Manufacturer - Category
Primary Antibodies
Storage Conditions
AXIN2 antibody can be stored at 4°C for three months and -20°C, stable for up to one year. Avoid repeated freeze-thaw cycles. Antibodies should not be exposed to prolonged high temperatures.
Molecular Weight
93558 MW
Clonality
Polyclonal
Application Details
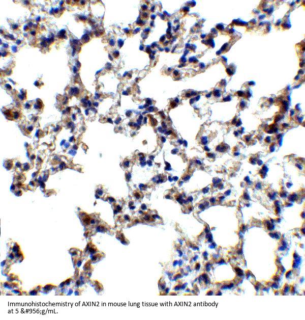
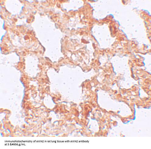
AXIN2 antibody can be used for detection of AXIN2 by Western blot at 1 μg/mL. Antibody can also be used for immunohistochemistry starting at 5 μg/mL. For immunofluorescence start at 20 μg/mL.
Antibody validated: Western Blot in mouse samples; Immunohistochemistry in mouse and rat samples and Immunofluorescence in mouse and rat samples. All other applications and species not yet tested. Optimal dilutions for each application should be determined by the researcher.
Gene Name
AXIN2
Gene Full Name
Axin 2
Manufacturer - Specificity
AXIN2 antibody is predicted to not cross-react with AXIN1. At least four isoforms of AXIN2 are known to exist; this antibody will recognize all four.
Background
Like the related protein AXIN1, AXIN2 is thought to play an important role in the regulation of the stability of beta-catenin in the Wnt signaling pathway. In mouse, AXIN2 organizes a multiprotein complex of APC (adenomatous polyposis of the colon), beta-catenin, glycogen synthase kinase 3-beta, and AXIN2, which leads to the degradation of beta-catenin, which is thought to be an important event in the genesis of a number of malignancies. The AXIN2 gene has been mapped to 17q23-q24, a region that shows frequent loss of heterozygosity in breast cancer, neuroblastoma, and other tumors. Mutations in this gene have been associated with colorectal cancer with defective mismatch repair.
Immunogen
AXIN2 antibody was raised against a 20 amino acid synthetic peptide near the carboxy terminus of human AXIN2. The immunogen is located within amino acids 780 - 830 of AXIN2.
Contents
AXIN2 Antibody is supplied in PBS containing 0.02% sodium azide.
Purification
AXIN2 Antibody is affinity chromatography purified via peptide column.
Concentration
1 mg/mL
Manufacturer - Research Category
Cancer, Cell Cycle
Protein Name
Axin 2
Protein Function
Inhibitor of the Wnt signaling pathway. Down-regulates
beta-catenin. Probably facilitate the phosphorylation of beta-
catenin and APC by GSK3B (By similarity).
Subcellular Localization
Cytoplasm.
Description
Boster Bio Anti-Axin-2 AXIN2 Antibody (Catalog # A01772). Tested in ELISA, WB, IHC-P, IF applications. This antibody reacts with Human, Mouse, Rat.
Tissue Specificity
Expressed in brain and lymphoblast.
Predicted Reactivity
Chicken
Manufacturer - Cross Reactivity
AXIN2 antibody is predicted to not cross-react with AXIN1. At least four isoforms of AXIN2 are known to exist; this antibody will recognize all four.

Note: The presented information and documents (Manual, Product Datasheet, Safety Datasheet and Certificate of Analysis) correspond to our latest update and should serve for orientational purpose only. We do not guarantee the topicality. We would kindly ask you to make a request for specific requirements, if necessary.

All products are intended for research use only (RUO). Not for human, veterinary or therapeutic use.

Amount: 0.1 mg
Available: In stock
available

Compare

Add to wishlist

Get an offer

Request delivery time

Ask a technical question

Submit a bulk request

Questions about this Product?