Comparison

Anti-ACAT1 (K266) Antibody European Partner

Item no. BOS-A02008
Manufacturer Boster
Amount 100 ul
Category
Format Liquid
Applications WB, IHC
Specific against Human (Homo sapiens), Mouse (Murine, Mus musculus), Rat (Rattus norvegicus)
Host Rabbit
Alias Acetyl-CoA acetyltransferase,mitochondrial,2.3.1.9,Acetoacetyl-CoA thiolase,T2,ACAT1,ACAT,MAT
Available
Manufacturer - Category
Primary Antibodies
Storage Conditions
Store at -20°C for one year. For short term storage and frequent use, store at 4°C for up to one month. Avoid repeated freeze-thaw cycles.
Molecular Weight
45200 MW
Clonality
Polyclonal
Application Details
WB: 1:500-1:1000
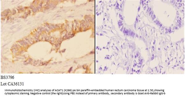
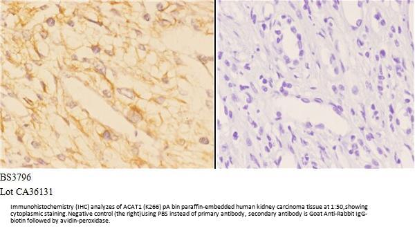
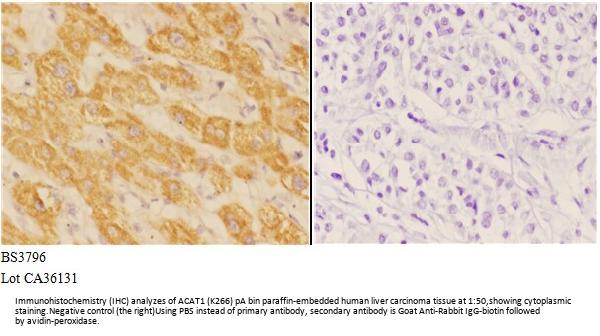
IHC: 1:50-1:200
Gene Name
ACAT1
Gene Full Name
Acetyl-CoA acetyltransferase, mitochondrial
Immunogen
Synthetic peptide, corresponding to amino acids 235-286 of Human ACAT1.
Contents
Rabbit IgG, 1mg/ml in PBS with 0.02% sodium azide, 50% glycerol, pH7.2
Purification
The antibody was affinity-purified from rabbit antiserum by affinity-chromatography using epitope-specific immunogen and the purity is > 95% (by SDS-PAGE).
Concentration
1 mg/ml
Protein Name
Acetyl-CoA acetyltransferase, mitochondrial
Protein Function
Plays a major role in ketone body metabolism.
Subcellular Localization
Mitochondrion.
Description
Boster Bio Anti-ACAT1 (K266) Antibody catalog # A02008. Tested in WB, IHC applications. This antibody reacts with Human, Mouse, Rat.

Note: The presented information and documents (Manual, Product Datasheet, Safety Datasheet and Certificate of Analysis) correspond to our latest update and should serve for orientational purpose only. We do not guarantee the topicality. We would kindly ask you to make a request for specific requirements, if necessary.

All products are intended for research use only (RUO). Not for human, veterinary or therapeutic use.

Amount: 100 ul
Available: In stock
available

Compare

Add to wishlist

Get an offer

Request delivery time

Ask a technical question

Submit a bulk request

Questions about this Product?