Comparison

Anti-MSR1 Antibody European Partner

Item no. BOS-A02349
Manufacturer Boster
Amount 100 ul
Category
Format Liquid
Applications WB
Specific against Human (Homo sapiens), Mouse (Murine, Mus musculus), Rat (Rattus norvegicus)
Host Rabbit
Alias Macrophage scavenger receptor types I and II,Macrophage acetylated LDL receptor I and II,Scavenger receptor class A member 1,CD204,MSR1,SCARA1
Available
Manufacturer - Category
Primary Antibodies
Storage Conditions
Store at -20°C for one year. For short term storage and frequent use, store at 4°C for up to one month. Avoid repeated freeze-thaw cycles.
Molecular Weight
49762 MW
Clonality
Polyclonal
Application Details
WB: 1:500-1:2000
Gene Name
MSR1
Gene Full Name
Macrophage scavenger receptor types I and II
Immunogen
Recombinant fusion protein of human MSR1(NP_619729.1).
Contents
Rabbit IgG, 1mg/ml in PBS with 0.02% sodium azide, 50% glycerol, pH7.2
Purification
The antibody was affinity-purified from rabbit antiserum by affinity-chromatography using epitope-specific immunogen and the purity is > 95% (by SDS-PAGE).
Concentration
1 mg/ml
Protein Name
Macrophage scavenger receptor types I and II
Protein Function
Membrane glycoproteins implicated in the pathologic
deposition of cholesterol in arterial walls during atherogenesis.
Two types of receptor subunits exist. These receptors mediate the
endocytosis of a diverse group of macromolecules, including
modified low density lipoproteins (LDL) (PubMed:2251254). Isoform
III does not internalize acetylated LDL (PubMed:9548586).
Subcellular Localization
Membrane; Single-pass type II membrane
protein.
Description
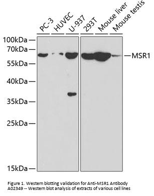
Boster Bio Anti-MSR1 Antibody catalog # A02349. Tested in WB applications. This antibody reacts with Human, Mouse, Rat.
Tissue Specificity
Isoform I, isoform II and isoform III are
expressed in monocyte-derived macrophages. Isoform I and isoform
II are expressed in the liver, placenta and brain.

Note: The presented information and documents (Manual, Product Datasheet, Safety Datasheet and Certificate of Analysis) correspond to our latest update and should serve for orientational purpose only. We do not guarantee the topicality. We would kindly ask you to make a request for specific requirements, if necessary.

All products are intended for research use only (RUO). Not for human, veterinary or therapeutic use.

Amount: 100 ul
Available: In stock
available

Compare

Add to wishlist

Get an offer

Request delivery time

Ask a technical question

Submit a bulk request

Questions about this Product?