Comparison

Anti-Nucleobindin-2 NUCB2 Antibody European Partner

Item no. BOS-A02400
Manufacturer Boster
Amount 0.1 mg
Category
Format Liquid
Applications WB, IF, ELISA, IHC-P
Specific against Human (Homo sapiens), Mouse (Murine, Mus musculus), Rat (Rattus norvegicus)
Host Rabbit
Isotype IgG
Alias NEFA,HEL-S-109,NEFA,Nucleobindin-2,DNA-binding protein NEFA
Available
Manufacturer - Category
Primary Antibodies
Storage Conditions
Nucleobindin-2 antibody can be stored at 4°C for three months and -20°C, stable for up to one year.
Molecular Weight
50223 MW
Clonality
Polyclonal
Application Details
Nucleobindin-2 Antibody can be used for detection of Nucleobindin-2 by Western blot starting at 0.5 μg/mL.
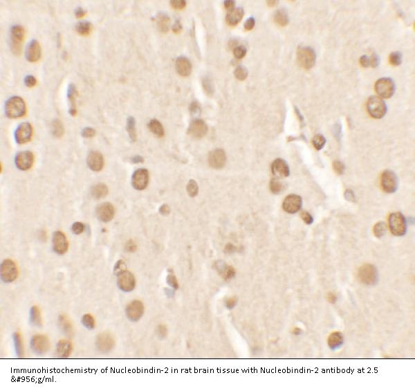
Antibody validated: Western Blot in rat samples; Immunohistochemistry in rat samples and Immunofluorescence in rat samples. All other applications and species not yet tested. Optimal dilutions for each application should be determined by the researcher.
Gene Name
NUCB2
Gene Full Name
Nucleobindin 2
Manufacturer - Specificity
Nucleobindin-2 antibody is predicted to not cross-react with NUCB1.
Background
NUCB2 was initially identified as calcium-binding protein EF hand motif-containing protein that could bind with Necdin, a growth suppressor expressed primarily in postmitotic neurons. NUC2 is a secreted protein that is cleaved into three major peptide products, Nesfatin-1, Nesfatin-2, and Nesfatin-3, of which Nesfatin-1 has been found to cause the suppression of food intake in a leptin-independent manner. Other studies have suggested that NUCB2/Nesfatin-1 may also play roles in energy homeostasis and closely related neuroendocrine functions.
Immunogen
Nucleobindin-2 antibody was raised against a 16 amino acid peptide near the center of human Nucleobindin-2. The immunogen is located within amino acids 260 - 310 of Nucleobindin-2.
Contents
Nucleobindin-2 Antibody is supplied in PBS containing 0.02% sodium azide.
Purification
Nucleobindin-2 Antibody is affinity chromatography purified via peptide column.
Concentration
1 mg/mL
Manufacturer - Research Category
Obesity
Protein Name
Nucleobindin 2
Protein Function
Calcium-binding protein. May have a role in calcium
homeostasis.
Subcellular Localization
Golgi apparatus
Description
Boster Bio Anti-Nucleobindin-2 NUCB2 Antibody (Catalog # A02400). Tested in ELISA, WB, IHC-P, IF applications. This antibody reacts with Human, Mouse, Rat.
Tissue Specificity
Predominantly expressed in spleen, testis and
normal stomach.
Predicted Reactivity
Bovine
Manufacturer - Cross Reactivity
Nucleobindin-2 antibody is predicted to not cross-react with NUCB1.

Note: The presented information and documents (Manual, Product Datasheet, Safety Datasheet and Certificate of Analysis) correspond to our latest update and should serve for orientational purpose only. We do not guarantee the topicality. We would kindly ask you to make a request for specific requirements, if necessary.

All products are intended for research use only (RUO). Not for human, veterinary or therapeutic use.

Amount: 0.1 mg
Available: In stock
available

Compare

Add to wishlist

Get an offer

Request delivery time

Ask a technical question

Submit a bulk request

Questions about this Product?