Comparison

Anti-SERPINB1 Mouse Monoclonal Antibody [Clone ID: OTI4B3] European Partner

Item no. BOS-M04491
Manufacturer Boster
Amount 100 ul
Category
Type Antibody Monoclonal
Applications WB, FC, IHC
Clone OTI4B3
Specific against Human (Homo sapiens), Rat (Rattus norvegicus), Dog (Canine, Canis lupus familiaris)
Host Mouse
Isotype IgG2b
ECLASS 10.1 42030590
ECLASS 11.0 42030590
UNSPSC 12352203
Available
Manufacturer - Category
Primary Antibodies
Storage Conditions
Store at -20°C as received.
Clonality
Monoclonal
Application Details
WB 1:500~2000
IHC 1:150
Flow Cytometry 1:100
Gene Name
SERPINB1
Immunogen
Human recombinant protein fragment corresponding to amino acids 77-306 of human SERPINB1 (NP_109591) produced in E.coli.
Contents
PBS (PH 7.3) containing 1% BSA, 50% glycerol and 0.02% sodium azide.
Purification
Purified from mouse ascites fluids or tissue culture supernatant by affinity chromatography (protein A/G)
Concentration
1 mg/ml
Description
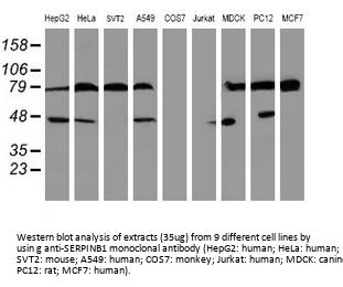
Boster Bio SERPINB1 mouse monoclonal antibody, clone OTI4B3 (formerly 4B3). Catalog# M04491. Tested in FC, IHC, WB. This antibody reacts with Human, Rat, Dog.

Note: The presented information and documents (Manual, Product Datasheet, Safety Datasheet and Certificate of Analysis) correspond to our latest update and should serve for orientational purpose only. We do not guarantee the topicality. We would kindly ask you to make a request for specific requirements, if necessary.

All products are intended for research use only (RUO). Not for human, veterinary or therapeutic use.

Amount: 100 ul
Available: In stock
available

Compare

Add to wishlist

Get an offer

Request delivery time

Ask a technical question

Submit a bulk request

Questions about this Product?