Comparison

Anti-SERPINB13 Mouse Monoclonal Antibody [Clone ID: OTI2B6] European Partner

Item no. BOS-M09602
Manufacturer Boster
Amount 100 ul
Category
Type Antibody Monoclonal
Applications WB, IHC
Clone OTI2B6
Specific against Human (Homo sapiens)
Host Mouse
Isotype IgG1
ECLASS 10.1 42030590
ECLASS 11.0 42030590
UNSPSC 12352203
Available
Manufacturer - Category
Primary Antibodies
Storage Conditions
Store at -20°C as received.
Clonality
Monoclonal
Application Details
WB 1:2000
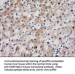
IHC 1:150
Gene Name
SERPINB13
Immunogen
Full length human recombinant protein of human SERPINB13 (NP_036529) produced in HEK293T cell.
Contents
PBS (PH 7.3) containing 1% BSA, 50% glycerol and 0.02% sodium azide.
Purification
Purified from mouse ascites fluids or tissue culture supernatant by affinity chromatography (protein A/G)
Concentration
1 mg/ml
Description
Boster Bio SERPINB13 mouse monoclonal antibody, clone OTI2B6 (formerly 2B6). Catalog# M09602. Tested in IHC, WB. This antibody reacts with Human.

Note: The presented information and documents (Manual, Product Datasheet, Safety Datasheet and Certificate of Analysis) correspond to our latest update and should serve for orientational purpose only. We do not guarantee the topicality. We would kindly ask you to make a request for specific requirements, if necessary.

All products are intended for research use only (RUO). Not for human, veterinary or therapeutic use.

Amount: 100 ul
Available: In stock
available

Compare

Add to wishlist

Get an offer

Request delivery time

Ask a technical question

Submit a bulk request

Questions about this Product?