Comparison

Anti-CD5 Antibody Picoband® European Partner

Item no. BOS-A00480-2
Manufacturer Boster
Amount 100 ug/vial
Quantity options 100 ug/vial 10 ug 100 ug 100 ug 100 ug 100 ug 100 ug 100 ug 100 ug 100 ug 100 ug 100 ug
Category
Type Antibody Primary
Format Lyophilized
Applications WB, FC, IHC, ELISA
Specific against Human (Homo sapiens), Mouse (Murine, Mus musculus), Rat (Rattus norvegicus)
Host Rabbit
Isotype IgG
Citations 1. Lundell, A.-C., Johansen, S., Adlerberth, I., Wold, A. E., Hesselmar, B., Rudin, A. High proportion of CD5+ B cells in infants predicts development of allergic disease. J. Immun. 193: 510-518, 2014.
2. Zhang, C., Xin, H., Zhang, W., Yazaki, P. J., Zhang, Z., Le, K., Li, W., Lee, H., Kwak, L., Forman, S., Jove, R., Yu, H. CD5 binds to interleukin-6 and induces a feed-forward loop with the transcription factor STAT3 in B cells to promote cancer. Immunity 44: 913-923, 2016.
ECLASS 10.1 32160702
ECLASS 11.0 32160702
UNSPSC 12352203
Alias T-cell surface glycoprotein CD5,Lymphocyte antigen T1/Leu-1,CD5,CD5,LEU1
Available
Manufacturer - Category
Primary Antibodies
Storage Conditions
Store at -20°C for one year from date of receipt. After reconstitution, at 4°C for one month. It can also be aliquotted and stored frozen at -20°C for six months. Avoid repeated freeze-thaw cycles.
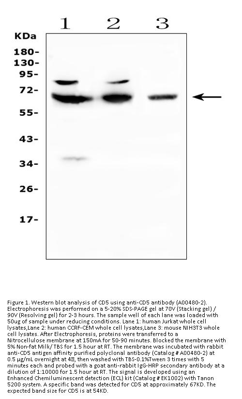
Observed Molecular weight
67 kDa, 67-70 kDa
Calculated Molecular weight
55 kDa
Clonality
Polyclonal
Application Details
Western blot, 0.1-0.5μg/ml, Human, Mouse, Rat
Immunohistochemistry (Paraffin-embedded Section), 2-5μg/ml, Human
Flow Cytometry (Fixed), 1-3μg/1x106 cells, Human
ELISA, 0.1-0.5μg/ml
Gene Name
CD5
Gene Full Name
CD5 molecule
Manufacturer - Specificity
No cross reactivity with other proteins.
Background
CD5 is a member of the scavenger receptor cysteine-rich (SRCR) superfamily. Members of this family are secreted or membrane-anchored proteins mainly found in cells associated with the immune system. In humans, the gene is located on the long arm of chromosome 11. This protein is a type-I transmembrane glycoprotein found on the surface of thymocytes, T lymphocytes and a subset of B lymphocytes. The encoded protein contains three SRCR domains and may act as a receptor to regulate T-cell proliferation. Alternative splicing results in multiple transcript variants encoding different isoforms.
Immunogen
E. coli-derived human CD5 recombinant protein (Position: R25-L495).
Contents
Each vial contains 4 mg Trehalose, 0.9 mg NaCl and 0.2 mg Na2HPO4.
Purification
Immunogen affinity purified.
Reconstitution
Add 0.2ml of distilled water will yield a concentration of 500ug/ml.
Concentration
Adding 0.2 ml of distilled water will yield a concentration of 500 μg/ml.
Manufacturer - Research Category
Hematopoietic Progenitors, Immunology, Lymphoid, Stem Cells, T Cells, T Lymphocytic Lineage
Protein Name
Metalloproteinase inhibitor 3
Protein Function
May act as a receptor in regulating T-cell proliferation.
Subcellular Localization
Cell membrane; Single-pass type I membrane protein.
Description
Boster Bio Anti-CD5 Antibody Picoband® catalog # A00480-2. Tested in ELISA, Flow Cytometry, IHC, WB applications. This antibody reacts with Human, Mouse, Rat. The brand Picoband indicates this is a premium antibody that guarantees superior quality, high affinity, and strong signals with minimal background in Western blot applications. Only our best-performing antibodies are designated as Picoband, ensuring unmatched performance.
Tissue Specificity
Adipose tissue is the main source of leptin it is also produced by other peripheral tissues such as the skeletal muscle (PubMed:7789654, PubMed:16052473, PubMed:12448771). Expressed by intercalated and striated tracts of submandibular and parotid salivary gland intralobular ducts (PubMed:12448771). Detected by fundic epithelium of the gastric mucosa (PubMed:10896907). Secreted into blood and gastric juice (PubMed:10896907).
Manufacturer - Cross Reactivity
No cross-reactivity with other proteins.

Note: The presented information and documents (Manual, Product Datasheet, Safety Datasheet and Certificate of Analysis) correspond to our latest update and should serve for orientational purpose only. We do not guarantee the topicality. We would kindly ask you to make a request for specific requirements, if necessary.

All products are intended for research use only (RUO). Not for human, veterinary or therapeutic use.

Amount: 100 ug/vial
Available: In stock
available

Compare

Add to wishlist

Get an offer

Request delivery time

Ask a technical question

Submit a bulk request

Questions about this Product?