Comparison

AFX Antibody (Phospho-Ser197), pAb, Rabbit European Partner

Item no. A00372-100
Manufacturer GenScript
Amount 100 ug
Category
Type Antibody Polyclonal
Specific against other
Host Rabbit
ECLASS 10.1 32160702
ECLASS 11.0 32160702
UNSPSC 12352203
Alias A00372-AFX_Antibody_Phospho_Ser_sup_197_sup_pAb_Rabbit,
Similar products AFX
Available
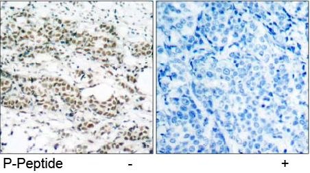
Specificity GenScript Rabbit Anti-AFX (Phospho-Ser197) Polyclonal Antibody detects endogenous levels of AFX only when phosphorylated at serine 197.
Country of Origin
USA
Storage Conditions
Store at -20C/1 year.
Product Line
PL401_Primary Antibodies
Manufacturer - Specificity
GenScript Rabbit Anti-AFX (Phospho-Ser197) Polyclonal Antibody detects endogenous levels of AFX only when phosphorylated at serine 197.

Note: The presented information and documents (Manual, Product Datasheet, Safety Datasheet and Certificate of Analysis) correspond to our latest update and should serve for orientational purpose only. We do not guarantee the topicality. We would kindly ask you to make a request for specific requirements, if necessary.

All products are intended for research use only (RUO). Not for human, veterinary or therapeutic use.

Amount: 100 ug
Available: In stock
available

Compare

Add to wishlist

Get an offer

Request delivery time

Ask a technical question

Submit a bulk request

Questions about this Product?
 
Close