Comparison

Ki-67 Antibody, pAb, Rabbit European Partner

Item no. A01495-40
Manufacturer GenScript
Amount 40 ug
Category
Type Antibody Polyclonal
Applications IHC, other
Specific against Human (Homo sapiens)
Host Rabbit
Isotype IgG
Conjugate/Tag Unconjugated
ECLASS 10.1 32160702
ECLASS 11.0 32160702
UNSPSC 12352203
Alias A01495-Ki_67_Antibody_pAb_Rabbit,Ki67 antibody,
Similar products Ki-67
Available
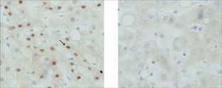
Specificity GenScript Rabbit Anti-Ki-67 Polyclonal Antibody detects endogenous levels of human Ki-67. Positive Control: human carcinoma hepatis tissue slide.
Manufacturer - Isotype
Rabbit IgG
Country of Origin
USA
Storage Conditions
The antibody is stable in lyophilized form if stored at -20C or below. The reconstituted antibody can be stored for 2-3 weeks at 2-8C. For long term storage, aliquot and store at -20C or below. Avoid repeated freezing and thawing cycles.
Manufacturer - Specificity
GenScript Rabbit Anti-Ki-67 Polyclonal Antibody detects endogenous levels of human Ki-67. Positive Control: human carcinoma hepatis tissue slide.
Concentration
0.5 mg/ml, lyophilized with PBS, pH 7.4, containing 0.02% sodium azide.
Description
Ki-67 is a nuclear antigen expressed in proliferating cells but not in quiescent cells. Expression of this antigen occurs preferentially during late G1, S, G2, and M phases of the cell cycle. While in cells in G0 phase, the antigen cannot be detected. Ki-67 protein serves as biomarker in tumor pathology to detect proliferating cells in neoplastic diseases. Ki-67 protein contains potential nuclear targeting signals for about 200 potential phosphorylation sites, 19 N-myristoylation sites, and 3 amidation sites. Ki-67 antibodies are useful in establishing the cell growing fraction in neoplasms (immunohistochemically quantified by determining the number of Ki-67 positive cells among the total number of resting cells = Ki-67 index). GenScript, Rabbit Anti-Ki-67 Polyclonal Antibody, is developed in rabbit using a KLH-coupled synthetic peptide from C-terminal of human Ki-67 protein (Swiss Prot: P46013).
Immunogen
KLH-coupled synthetic peptide from C-terminal of human Ki-67 protein (Swiss Prot: P46013).
Purification Method
Immunoaffinity chromatography
Reconstitution
Reconstitute the lyophilized powder with deionized water (or equivalent) to an antibody concentration of 0.5 mg/ml.

Note: The presented information and documents (Manual, Product Datasheet, Safety Datasheet and Certificate of Analysis) correspond to our latest update and should serve for orientational purpose only. We do not guarantee the topicality. We would kindly ask you to make a request for specific requirements, if necessary.

All products are intended for research use only (RUO). Not for human, veterinary or therapeutic use.

Amount: 40 ug
Available: In stock
available

Delivery expected until 11/13/2025 

Compare

Add to wishlist

Get an offer

Request delivery time

Ask a technical question

Submit a bulk request

Questions about this Product?
 
Close