Comparison

Heterogeneous Nuclear Ribonucleoprotein K (HNRNPK) Antibody European Partner

Item no. abx001426-200
Manufacturer Abbexa
Amount 2 x 100 ul
Quantity options 100 ul 20 ul 2 x 100 ul 50 ul
Category
Type Antibody Primary
Format Liquid
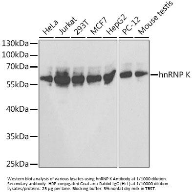
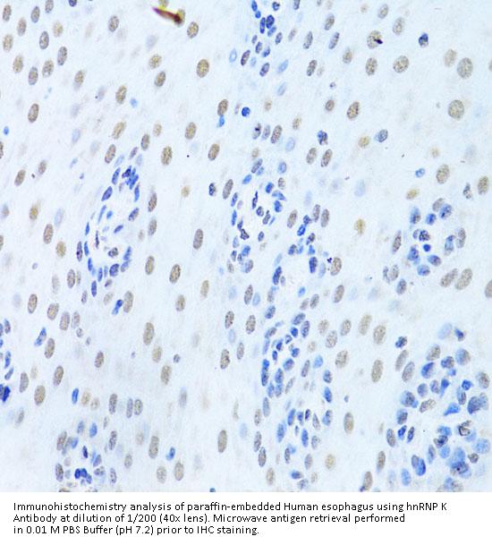
Applications WB, IF, IHC, ICC, ELISA
Specific against Human (Homo sapiens), Mouse (Murine, Mus musculus), Rat (Rattus norvegicus)
Host Rabbit
Isotype IgG
Conjugate/Tag Unconjugated
ECLASS 10.1 32160702
ECLASS 11.0 32160702
UNSPSC 12352203
Similar products HNRNPK
Available
Manufacturer - Category
Primary Antibodies
Manufacturer - Targets
Heterogeneous Nuclear Ribonucleoprotein K (HNRNPK)
Storage Conditions
Aliquot and store at -20°C. Avoid repeated freeze/thaw cycles.
Molecular Weight
Calculated MW: 51 kDa
Observed MW: 60 kDa
Description
HNRNPK Antibody is a Rabbit Polyclonal antibody against HNRNPK. This gene belongs to the subfamily of ubiquitously expressed heterogeneous nuclear ribonucleoproteins (hnRNPs). The hnRNPs are RNA binding proteins and they complex with heterogeneous nuclear RNA (hnRNA). These proteins are associated with pre-mRNAs in the nucleus and appear to influence pre-mRNA processing and other aspects of mRNA metabolism and transport. While all of the hnRNPs are present in the nucleus, some seem to shuttle between the nucleus and the cytoplasm. The hnRNP proteins have distinct nucleic acid binding properties. The protein encoded by this gene is located in the nucleoplasm and has three repeats of KH domains that binds to RNAs. It is distinct among other hnRNP proteins in its binding preference; it binds tenaciously to poly(C). This protein is also thought to have a role during cell cycle progession. Several alternatively spliced transcript variants have been described for this gene, however, not all of them are fully characterized.
Dry Ice
No
Buffer
PBS, pH 7.3, containing 0.02% sodium azide, 50% glycerol.
Clonality
Polyclonal
Gene Symbol
HNRNPK
Note
This product is for research use only.
Purification
Purified by affinity chromatography.
UniProt Entry Name
HNRPK_HUMAN

Note: The presented information and documents (Manual, Product Datasheet, Safety Datasheet and Certificate of Analysis) correspond to our latest update and should serve for orientational purpose only. We do not guarantee the topicality. We would kindly ask you to make a request for specific requirements, if necessary.

All products are intended for research use only (RUO). Not for human, veterinary or therapeutic use.

Amount: 2 x 100 ul
Available: In stock
available

Compare

Add to wishlist

Get an offer

Request delivery time

Ask a technical question

Submit a bulk request

Questions about this Product?
 
Close