Comparison

NADH Ubiquinone Oxidoreductase Core Subunit S1 (NDUFS1) Antibody European Partner

Item no. abx002026-200
Manufacturer Abbexa
Amount 2 x 100 ul
Quantity options 100 ul 20 ul 2 x 100 ul 50 ul
Category
Type Antibody Primary
Format Liquid
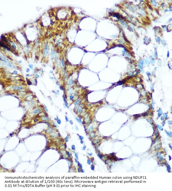
Applications WB, IHC, ELISA
Specific against Human (Homo sapiens), Mouse (Murine, Mus musculus), Rat (Rattus norvegicus)
Host Rabbit
Isotype IgG
Conjugate/Tag Unconjugated
ECLASS 10.1 32160702
ECLASS 11.0 32160702
UNSPSC 12352203
Similar products NDUFS1
Available
Manufacturer - Category
Primary Antibodies
Manufacturer - Targets
NADH Ubiquinone Oxidoreductase Core Subunit S1 (NDUFS1)
Storage Conditions
Aliquot and store at -20°C. Avoid repeated freeze/thaw cycles.
Molecular Weight
Calculated MW: 79 kDa
Observed MW: 79 kDa
Description
NDUFS1 Antibody is a Rabbit Polyclonal antibody against NDUFS1. The protein encoded by this gene belongs to the complex I 75 kDa subunit family. Mammalian complex I is composed of 45 different subunits. It locates at the mitochondrial inner membrane. This protein has NADH dehydrogenase activity and oxidoreductase activity. It transfers electrons from NADH to the respiratory chain. The immediate electron acceptor for the enzyme is believed to be ubiquinone. This protein is the largest subunit of complex I and it is a component of the iron-sulfur (IP) fragment of the enzyme. It may form part of the active site crevice where NADH is oxidized. Mutations in this gene are associated with complex I deficiency. Several transcript variants encoding different isoforms have been found for this gene.
Dry Ice
No
Buffer
PBS, pH 7.3, containing 0.02% sodium azide, 50% glycerol.
Clonality
Polyclonal
Gene Symbol
NDUFS1
Note
This product is for research use only.
Purification
Purified by affinity chromatography.
UniProt Entry Name
NDUS1_HUMAN

Note: The presented information and documents (Manual, Product Datasheet, Safety Datasheet and Certificate of Analysis) correspond to our latest update and should serve for orientational purpose only. We do not guarantee the topicality. We would kindly ask you to make a request for specific requirements, if necessary.

All products are intended for research use only (RUO). Not for human, veterinary or therapeutic use.

Amount: 2 x 100 ul
Available: In stock
available

Compare

Add to wishlist

Get an offer

Request delivery time

Ask a technical question

Submit a bulk request

Questions about this Product?
 
Close