Comparison

Exosome RNA Helicase MTR4 (MTR4/SKIV2L2) Antibody European Partner

Item no. abx004268-120ul
Manufacturer Abbexa
Amount 120 ul
Quantity options 100 ul 120 ul 20 ul 200 ul 50 ul 60 ul
Format Liquid
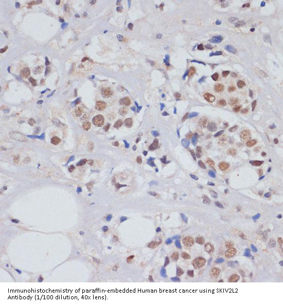
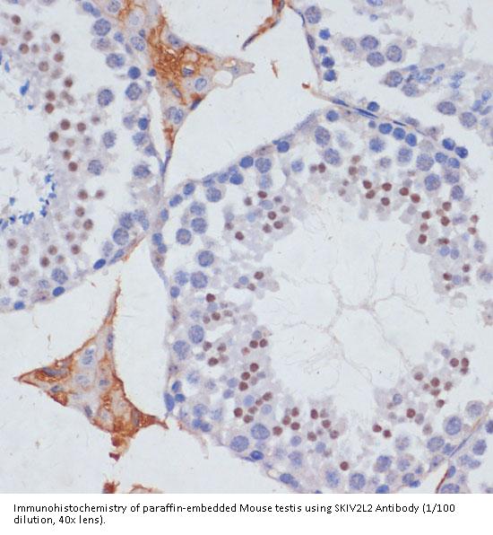
Applications IHC
Specific against Human (Homo sapiens), Mouse (Murine, Mus musculus)
Host Rabbit
Isotype IgG
Conjugate/Tag Unconjugated
Available
Manufacturer - Category
Primary Antibodies
Manufacturer - Targets
Exosome RNA Helicase MTR4 (MTR4/SKIV2L2)
Storage Conditions
Aliquot and store at -20°C. Avoid repeated freeze/thaw cycles.
Description
MTR4/SKIV2L2 Antibody is a Rabbit Polyclonal antibody against MTR4/SKIV2L2.
Dry Ice
No
Buffer
PBS, pH 7.3, containing 0.02% sodium azide, 50% glycerol.
Clonality
Polyclonal
Gene Symbol
MTREX
Note
This product is for research use only.
Purification
Purified by affinity chromatography.
UniProt Entry Name
MTREX_HUMAN

Note: The presented information and documents (Manual, Product Datasheet, Safety Datasheet and Certificate of Analysis) correspond to our latest update and should serve for orientational purpose only. We do not guarantee the topicality. We would kindly ask you to make a request for specific requirements, if necessary.

All products are intended for research use only (RUO). Not for human, veterinary or therapeutic use.

Amount: 120 ul
Available: In stock
available

Compare

Add to wishlist

Get an offer

Request delivery time

Ask a technical question

Submit a bulk request

Questions about this Product?
 
Close