Comparison

HSP90β Antibody

Item no. AB-N0341-100
Manufacturer Assay Biotechnology
Amount 100 uL
Quantity options 100 uL 200 ul 50 uL
Category
Type Antibody Polyclonal
Format Liquid
Applications WB, FC, IF, IHC, ELISA
Specific against Human (Homo sapiens), Mouse (Murine, Mus musculus), Rat (Rattus norvegicus), Monkey (Cynomolgus, Simian)
Host Mouse
ECLASS 10.1 32160702
ECLASS 11.0 32160702
UNSPSC 12352203
Alias HSP90AB1,HSP90B,HSPC2,HSPCB,Heat shock protein HSP 90-beta,HSP 90,Heat shock 84 kDa,HSP 84,HSP84
Available
Molecular Weight
83kD
Clonality
Monoclonal
Dilution
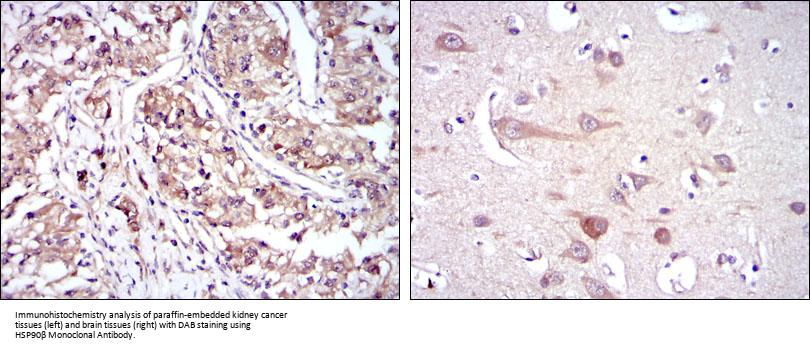
WB 1:500 - 1:2000. IHC 1:200 - 1:1000. IF 1:200 - 1:1000. Flow cytometry: 1:200 - 1:400. ELISA: 1:10000. Not yet tested in other applications.
Immunogen
Purified recombinant fragment of human HSP90β expressed in E. Coli.
Purification
Affinity purification
Modifications
Unmodified/Total
Gene Name
HSP90AB1
Protein Name
Heat shock protein HSP 90-beta
Formulation
Liquid in PBS containing 50% glycerol, 0.5% BSA and 0.02% sodium azide.

Note: The presented information and documents (Manual, Product Datasheet, Safety Datasheet and Certificate of Analysis) correspond to our latest update and should serve for orientational purpose only. We do not guarantee the topicality. We would kindly ask you to make a request for specific requirements, if necessary.

All products are intended for research use only (RUO). Not for human, veterinary or therapeutic use.

Amount: 100 uL
Available: In stock
available

Compare

Add to wishlist

Get an offer

Request delivery time

Ask a technical question

Submit a bulk request

Questions about this Product?
 
Close