Comparison

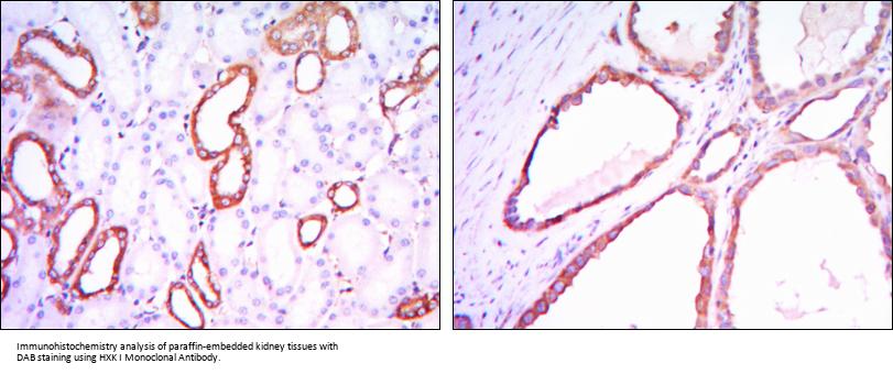
HXK I Antibody

Item no. AB-N0348-50
Manufacturer Assay Biotechnology
Amount 50 uL
Quantity options 100 uL 200 ul 50 uL
Category
Type Antibody Polyclonal
Format Liquid
Applications WB, FC, IF, IHC, ELISA
Specific against Human (Homo sapiens), Mouse (Murine, Mus musculus), Rat (Rattus norvegicus)
Host Mouse
ECLASS 10.1 32160702
ECLASS 11.0 32160702
UNSPSC 12352203
Alias HK1,Hexokinase-1,Brain form hexokinase,Hexokinase type I,HK I
Available
Molecular Weight
102kD
Clonality
Monoclonal
Dilution
WB 1:500 - 1:2000. IHC 1:200 - 1:1000. IF 1:200 - 1:1000. Flow cytometry: 1:200 - 1:400. ELISA: 1:10000. Not yet tested in other applications.
Immunogen
Purified recombinant fragment of human HXK I expressed in E. Coli.
Purification
Affinity purification
Modifications
Unmodified/Total
Gene Name
HK1
Protein Name
Hexokinase-1
Formulation
Liquid in PBS containing 50% glycerol, 0.5% BSA and 0.02% sodium azide.

Note: The presented information and documents (Manual, Product Datasheet, Safety Datasheet and Certificate of Analysis) correspond to our latest update and should serve for orientational purpose only. We do not guarantee the topicality. We would kindly ask you to make a request for specific requirements, if necessary.

All products are intended for research use only (RUO). Not for human, veterinary or therapeutic use.

Amount: 50 uL
Available: In stock
available

Delivery expected until 2/19/2026 

Compare

Add to wishlist

Get an offer

Request delivery time

Ask a technical question

Submit a bulk request

Questions about this Product?
 
Close