Comparison

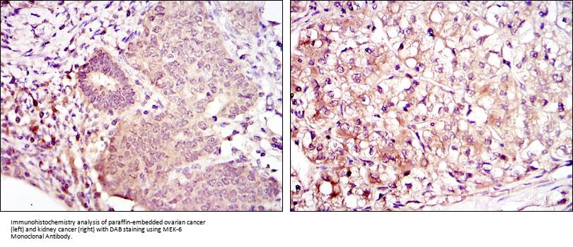
MEK-6 Antibody

Item no. AB-N0438-200
Manufacturer Assay Biotechnology
Amount 200 ul
Quantity options 100 uL 200 ul 50 uL
Category
Type Antibody Polyclonal
Format Liquid
Applications WB, IF, IHC, ELISA
Specific against Human (Homo sapiens), Mouse (Murine, Mus musculus)
Host Mouse
ECLASS 10.1 32160702
ECLASS 11.0 32160702
UNSPSC 12352203
Alias MAP2K6,MEK6,MKK6,PRKMK6,SKK3,Dual specificity mitogen-activated protein kinase kinase 6,MAP kinase kinase 6,MAPKK 6,MAPK/ERK kinase 6,MEK 6,Stress-activated protein kinase kinase 3,SAPK kinase 3,SAPKK-3,SAPKK3
Available
Molecular Weight
37kD
Clonality
Monoclonal
Dilution
WB 1:500 - 1:2000. IHC 1:200 - 1:1000. ELISA: 1:10000.. IF 1:50-200
Immunogen
Purified recombinant fragment of human MEK-6 expressed in E. Coli.
Purification
Affinity purification
Modifications
Unmodified/Total
Gene Name
MAP2K6
Protein Name
Dual specificity mitogen-activated protein kinase kinase 6
Formulation
Liquid in PBS containing 50% glycerol, 0.5% BSA and 0.02% sodium azide.

Note: The presented information and documents (Manual, Product Datasheet, Safety Datasheet and Certificate of Analysis) correspond to our latest update and should serve for orientational purpose only. We do not guarantee the topicality. We would kindly ask you to make a request for specific requirements, if necessary.

All products are intended for research use only (RUO). Not for human, veterinary or therapeutic use.

Amount: 200 ul
Available: In stock
available

Compare

Add to wishlist

Get an offer

Request delivery time

Ask a technical question

Submit a bulk request

Questions about this Product?
 
Close