Comparison

Cytokeratin 13 (ABT-CK13) Antibody

Item no. AB-W0300-200
Manufacturer Assay Biotechnology
Amount 200 ul
Quantity options 100 uL 200 ul 50 uL
Category
Type Antibody Monoclonal
Format Liquid
Applications WB, IF, IHC, ELISA
Specific against Human (Homo sapiens)
Host Mouse
ECLASS 10.1 42030590
ECLASS 11.0 42030590
UNSPSC 12352203
Alias 47 kDa cytokeRatin;CK-13;CK13;Cytokeratin 13;CytokeRatin-13;K13;K1C13_HUMAN;Ka13;KeRatin 13;KeRatin;keRatin type I cytoskeletal 13;KeRatin-13;Krt-1.13;Krt1-13;KRT13;MGC161462;MGC3781;type I cytoskeletal 13;Type I keRatin Ka13;WSN2
Available
Molecular Weight
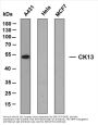
50kD
Clonality
Monoclonal
Dilution
IHC 1:200-1000. WB 1:500-2000. IF 1:100-500. ELISA 1:1000-5000
Immunogen
Synthesized peptide derived from human Cytokeratin 13 AA range: 400-458
Purification
Protein G
Modifications
Unmodified/Total
Gene Name
KRT13
Protein Name
47 kDa cytokeratin; CK-13; CK13; Cytokeratin 13; Cytokeratin-13; K13; K1C13_HUMAN; Ka13; Keratin 13; Keratin; keratin type I cytoskeletal 13; Keratin-13; Krt-1.13; Krt1-13; KRT13; MGC161462; MGC3781; type I cytoskeletal 13; Type I keratin Ka13; WSN2
Formulation
PBS, 50% glycerol, 0.05% Proclin 300, 0.05% BSA
Observed Band (KD)
50kD

Note: The presented information and documents (Manual, Product Datasheet, Safety Datasheet and Certificate of Analysis) correspond to our latest update and should serve for orientational purpose only. We do not guarantee the topicality. We would kindly ask you to make a request for specific requirements, if necessary.

All products are intended for research use only (RUO). Not for human, veterinary or therapeutic use.

Amount: 200 ul
Available: In stock
available

Compare

Add to wishlist

Get an offer

Request delivery time

Ask a technical question

Submit a bulk request

Questions about this Product?
 
Close