Comparison

Anti-Mannose 6 Phosphate Receptor (Cation independent)/IGF2R Antibody Picoband® European Partner

Item no. BOS-A00951-iFluor647
Manufacturer Boster
Amount 100 ug
Quantity options 100 ug/vial 10 ug 100 ug 100 ug 100 ug 100 ug 100 ug 100 ug 100 ug 100 ug 100 ug 100 ug 100 ug
Category
Type Antibody Polyclonal
Format Lyophilized
Applications WB, FC, IF, IHC, ICC, ELISA
Specific against Human (Homo sapiens), Mouse (Murine, Mus musculus), Rat (Rattus norvegicus)
Host Rabbit
Isotype IgG
Citations 1. Killian, J. K., Oka, Y., Jang, H.-S., Fu, X., Waterland, R. A., Sohda, T., Sakaguchi, S., Jirtle, R. L. Mannose 6-phosphate/insulin-like growth factor 2 receptor (M6P/IGF2R) variants in American and Japanese populations. Hum. Mutat. 18: 25-31, 2001.
2. Latos, P. A., Pauler, F. M., Koerner, M. V., Senergin, H. B., Hudson, Q. J., Stocsits, R. R., Allhoff, W., Stricker, S. H., Klement, R. M., Warczok, K. E., Aumayr, K., Pasierbek, P., Barlow, D. P. Airn transcriptional overlap, but not its IncRNA products, induces imprinted Igf2r silencing. Science 338: 1469-1472, 2012.
ECLASS 10.1 32160702
ECLASS 11.0 32160702
UNSPSC 12352203
Alias Cation-independent mannose-6-phosphate receptor,CI Man-6-P receptor,CI-MPR,M6PR,300 kDa mannose 6-phosphate receptor,MPR 300,Insulin-like growth factor 2 receptor,Insulin-like growth factor II receptor,IGF-II receptor,M6P/IGF2 receptor,M6P/IGF2R,CD222,IGF2R,MPRI
Available
Manufacturer - Category
Primary Antibodies
Manufacturer - Conjugate / Tag
iFluor647
Storage Conditions
Store at -20°C for one year from date of receipt. After reconstitution, at 4°C for one month. It can also be aliquotted and stored frozen at -20°C for six months. Avoid repeated freeze-thaw cycles.
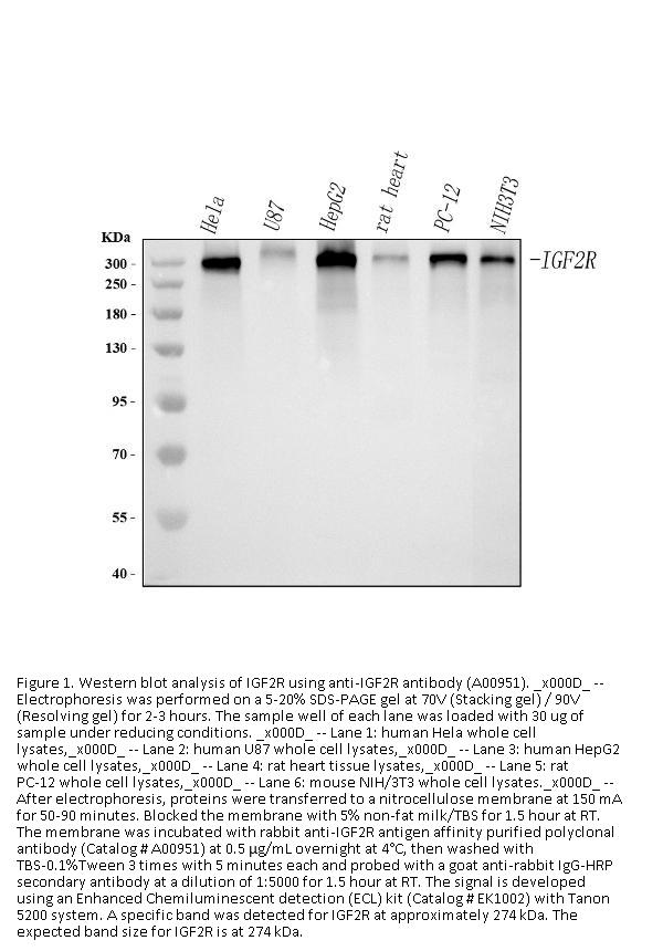
Observed Molecular weight
274 kDa
Calculated Molecular weight
50408 MW
Clonality
Polyclonal
Application Details
Western blot, 0.1-0.5μg/ml
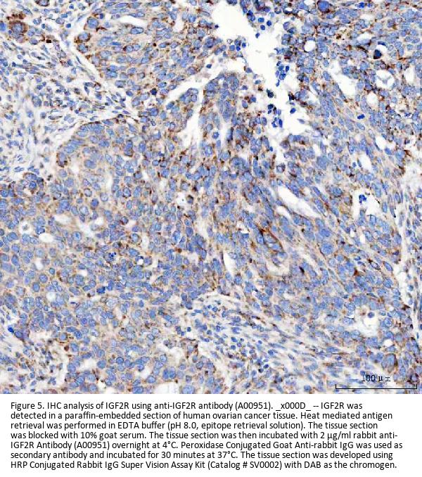
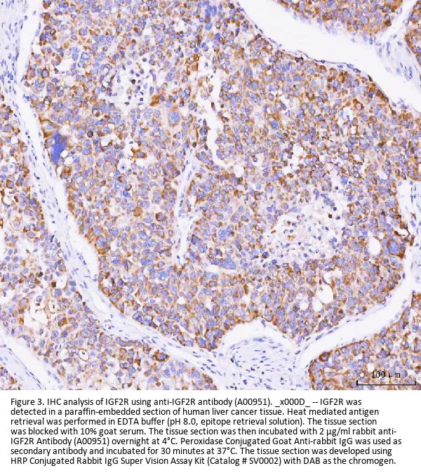
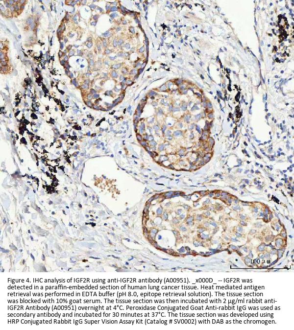
Immunohistochemistry (Paraffin-embedded Section), 2-5μg/ml
Immunocytochemistry/Immunofluorescence, 5μg/ml
Flow Cytometry(Fixed), 1-3μg/1x106 cells
ELISA, 0.1-0.5μg/ml
Gene Name
IGF2R
Gene Full Name
insulin-like growth factor 2 receptor
Manufacturer - Specificity
No cross reactivity with other proteins.
Background
Insulin-like growth factor 2 receptor, also called IGF2R or I-MPR is a protein that in humans is encoded by the IGF2R gene. This gene is mapped to 6q25.3. This gene encodes a receptor for both insulin-like growth factor 2 and mannose 6-phosphate, although the binding sites for either are located on different segments of the receptor. This receptor functions in the intracellular trafficking of lysosomal enzymes, the activation of transforming growth factor beta, and the degradation of insulin-like growth factor 2. While the related mouse gene shows exclusive expression from the maternal allele, imprinting of the human gene appears to be polymorphic, with only a minority of individuals showing expression from the maternal allele.
Immunogen
E. coli-derived human IGF2R recombinant protein (Position: F424-R529).
Contents
Each vial contains 4 mg Trehalose, 0.9 mg NaCl and 0.2 mg Na2HPO4.
Purification
Immunogen affinity purified.
Reconstitution
Add 0.2ml of distilled water will yield a concentration of 500ug/ml.
Concentration
Adding 0.2 ml of distilled water will yield a concentration of 500 μg/ml.
Manufacturer - Research Category
Golgi Proteins, Immunology, Innate Immunity, Macrophage/Inflammation, Organelles, Protein Trafficking, Signal Transduction, Subcellular Markers
Protein Name
Protein C-ets-1
Protein Function
Transport of phosphorylated lysosomal enzymes from the Golgi complex and the cell surface to lysosomes. Lysosomal enzymes bearing phosphomannosyl residues bind specifically to mannose-6- phosphate receptors in the Golgi apparatus and the resulting receptor-ligand complex is transported to an acidic prelyosomal compartment where the low pH mediates the dissociation of the complex. This receptor also binds IGF2. Acts as a positive regulator of T-cell coactivation, by binding DPP4.
Subcellular Localization
Lysosome membrane.
Description
Boster Bio Anti-Mannose 6 Phosphate Receptor (Cation independent)/IGF2R Antibody Picoband® catalog # A00951. Tested in ELISA, Flow Cytometry, IF, IHC, ICC, WB applications. This antibody reacts with Human, Mouse, Rat. The brand Picoband indicates this is a premium antibody that guarantees superior quality, high affinity, and strong signals with minimal background in Western blot applications. Only our best-performing antibodies are designated as Picoband, ensuring unmatched performance.
Tissue Specificity
Liver.
Manufacturer - Alias
Cation-independent mannose-6-phosphate receptor, CI Man-6-P receptor, CI-MPR, M6PR, 300 kDa mannose 6-phosphate receptor, MPR 300, Insulin-like growth factor 2 receptor, Insulin-like growth factor II receptor, IGF-II receptor, M6P/IGF2 receptor, M6P/IGF2R, CD222, IGF2R, MPRI
Manufacturer - Cross Reactivity
No cross-reactivity with other proteins.

Note: The presented information and documents (Manual, Product Datasheet, Safety Datasheet and Certificate of Analysis) correspond to our latest update and should serve for orientational purpose only. We do not guarantee the topicality. We would kindly ask you to make a request for specific requirements, if necessary.

All products are intended for research use only (RUO). Not for human, veterinary or therapeutic use.

Amount: 100 ug
Available: In stock
available

Compare

Add to wishlist

Get an offer

Request delivery time

Ask a technical question

Submit a bulk request

Questions about this Product?