Comparison

Anti-CLPX Antibody Picoband® European Partner

Item no. BOS-A00978-1-FITC
Manufacturer Boster
Amount 100 ug
Quantity options 100 ug/vial 10 ug 100 ug 100 ug 100 ug 100 ug 100 ug 100 ug 100 ug 100 ug 100 ug 100 ug
Category
Type Antibody Polyclonal
Format Lyophilized
Applications WB, FC, IF, IHC, ICC, ELISA, IHC-F
Specific against Human (Homo sapiens), Mouse (Murine, Mus musculus), Rat (Rattus norvegicus)
Host Rabbit
Isotype IgG
Conjugate/Tag FITC
Citations 1. Corydon, T. J., Wilsbech, M., Jespersgaard, C., Andresen, B. S., Borglum, A. D., Pedersen, S., Bolund, L., Gregersen, N., Bross, P. Human and mouse mitochondrial orthologs of bacterialClpX. Mammalian Genome 11: 899-905, 2000.
2. Kang, S. G., Dimitrova, M. N., Ortega, J., Ginsburg, A., Maurizi, M. R. Human mitochondrial ClpP is a stable heptamer that assembles into a tetradecamer in the presence of ClpX. J. Biol. Chem. 280: 35424-35432, 2005.
ECLASS 10.1 32160702
ECLASS 11.0 32160702
UNSPSC 12352203
Alias ATP-dependent Clp protease ATP-binding subunit clpX-like,mitochondrial,CLPX
Available
Manufacturer - Category
Primary Antibodies
Storage Conditions
Store at -20°C for one year from date of receipt. After reconstitution, at 4°C for one month. It can also be aliquotted and stored frozen at -20°C for six months. Avoid repeated freeze-thaw cycles.
Observed Molecular weight
69 kDa
Clonality
Polyclonal
Application Details
Western blot, 0.1-0.5μg/ml, Human, Mouse, Rat
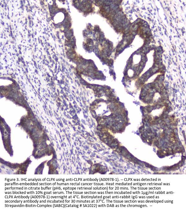
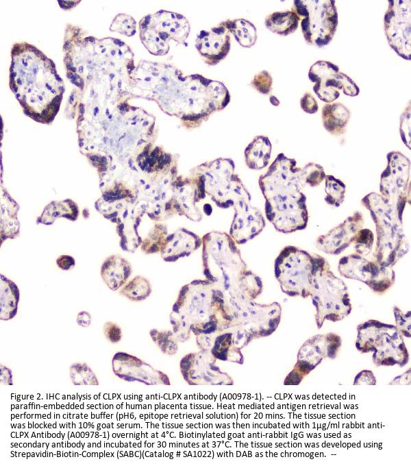
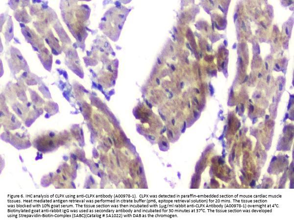
Immunohistochemistry (Paraffin-embedded Section), 0.5-1μg/ml, Human
Immunohistochemistry (Frozen Section), 0.5-1μg/ml, Human
Immunocytochemistry/Immunofluorescence, 2μg/ml, Human
Flow Cytometry (Fixed), 1-3μg/1x106 cells, Human
ELISA, 0.1-0.5μg/ml
Gene Name
CLPX
Gene Full Name
caseinolytic mitochondrial matrix peptidase chaperone subunit
Manufacturer - Specificity
No cross reactivity with other proteins.
Background
ATP-dependent Clp protease ATP-binding subunit clpX-like, mitochondrial is an enzyme that in humans is encoded by the CLPX gene. This protein is a member of the family of AAA Proteins (AAA+ ATPase) and is to form the protein complex of Clp protease. The protein encoded by this gene is part of a protease found in mitochondria. This protease is ATP-dependent and targets specific proteins for degradation. The protease consists of two heptameric rings of the CLPP catalytic subunit sandwiched between two hexameric rings of the chaperone subunit encoded by this gene. Targeted proteins are unwound by this protein and then passed on to the CLPP subunit for degradation. Two transcript variants, one protein-coding and the other non-protein coding, have been found for this gene.
Immunogen
E. coli-derived human CLPX recombinant protein (Position: A337-E574).
Contents
Each vial contains 4mg Trehalose, 0.9mg NaCl, 0.2mg Na2HPO4, 0.05mg NaN3.
Purification
Immunogen affinity purified.
Reconstitution
Add 0.2ml of distilled water will yield a concentration of 500ug/ml.
Concentration
Adding 0.2 ml of distilled water will yield a concentration of 500 μg/ml.
Manufacturer - Research Category
Cell Biology, Chaperones, Metabolism, Mitochondrial, Mitochondrial Markers, Mitochondrial Metabolism, Pathways and Processes, Protein Trafficking, Proteolysis/Ubiquitin, Proteolytic Enzymes, Signal Transduction
Protein Function
ATP-dependent specificity component of the Clp protease complex. Hydrolyzes ATP. Targets specific substrates for degradation by the Clp complex (PubMed:11923310, PubMed:22710082). Can perform chaperone functions in the absence of CLPP. Enhances the DNA-binding activity of TFAM and is required for maintaining a normal mitochondrial nucleoid structure (PubMed:22841477). ATP- dependent unfoldase that stimulates the incorporation of the pyridoxal phosphate cofactor into 5-aminolevulinate synthase, thereby activating 5-aminolevulinate (ALA) synthesis, the first step in heme biosynthesis. Important for efficient erythropoiesis through upregulation of heme biosynthesis (PubMed:25957689).
Subcellular Localization
Mitochondrion. Mitochondrion matrix, mitochondrion nucleoid.
Description
Boster Bio Anti-CLPX Antibody Picoband® catalog # A00978-1. Tested in ELISA, Flow Cytometry, IF, IHC, IHC-F, ICC, WB applications. This antibody reacts with Human, Mouse, Rat. The brand Picoband indicates this is a premium antibody that guarantees superior quality, high affinity, and strong signals with minimal background in Western blot applications. Only our best-performing antibodies are designated as Picoband, ensuring unmatched performance.
Tissue Specificity
Higher expression in skeletal muscle and heart and to a lesser extent in liver, brain, placenta, lung, kidney and pancreas.
Manufacturer - Cross Reactivity
No cross-reactivity with other proteins.

Note: The presented information and documents (Manual, Product Datasheet, Safety Datasheet and Certificate of Analysis) correspond to our latest update and should serve for orientational purpose only. We do not guarantee the topicality. We would kindly ask you to make a request for specific requirements, if necessary.

All products are intended for research use only (RUO). Not for human, veterinary or therapeutic use.

Amount: 100 ug
Available: In stock
available

Compare

Add to wishlist

Get an offer

Request delivery time

Ask a technical question

Submit a bulk request

Questions about this Product?