Comparison

Anti-SCF/KITLG Antibody Picoband® European Partner

Item no. BOS-A01254-1-Dylight594
Manufacturer Boster
Amount 100 ug
Quantity options 100 ug/vial 10 ug 100 ug 100 ug 100 ug 100 ug 100 ug 100 ug 100 ug 100 ug 100 ug 100 ug
Category
Type Antibody Polyclonal
Format Lyophilized
Applications WB, IHC, ICC
Specific against Human (Homo sapiens), Mouse (Murine, Mus musculus), Rat (Rattus norvegicus)
Host Rabbit
Isotype IgG
Conjugate/Tag DyLight 594
Citations 1. Geissler, E. N., Liao, M., Brook, J. D., Martin, F. H., Zsebo, K. M., Housman, D. E., Galli, S. J.Stem cell factor (SCF), a novel hematopoietic growth factor and ligand for c-kit tyrosine kinase receptor, maps on human chromosome 12 between 12q14.3 and 12qter.Somat. Cell Molec. Genet. 17: 207-214, 1991.
2. Heissig, B., Hattori, K., Dias, S., Friedrich, M., Ferris, B., Hackett, N. R., Crystal, R. G., Besmer, P., Lyden, D., Moore, M. A. S., Werb, Z., Rafii, S.Recruitment of stem and progenitor cells from the bone marrow niche requires MMP-9 mediated release of Kit-ligand.Cell 109: 625-637, 2002.
ECLASS 10.1 32160702
ECLASS 11.0 32160702
UNSPSC 12352203
Alias Kit ligand,Mast cell growth factor,MGF,Stem cell factor,SCF,c-Kit ligand,Soluble KIT ligand,sKITLG,KITLG,MGF,SCF
Available
Manufacturer - Category
Primary Antibodies
Storage Conditions
Store at -20°C for one year from date of receipt. After reconstitution, at 4°C for one month. It can also be aliquotted and stored frozen at -20°C for six months. Avoid repeated freeze-thaw cycles.
Observed Molecular weight
45 kDa
Calculated Molecular weight
31 kDa
Clonality
Polyclonal
Application Details
Western blot, 0.1-0.5μg/ml, Human, Mouse, Rat
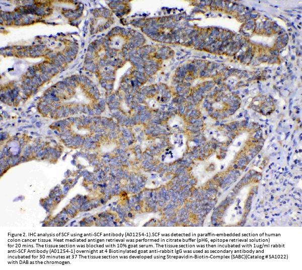
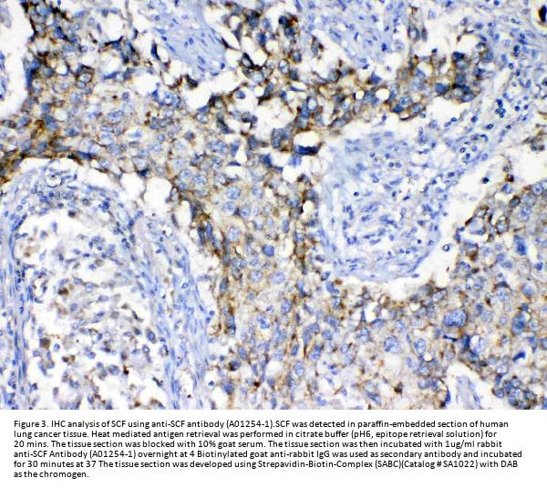
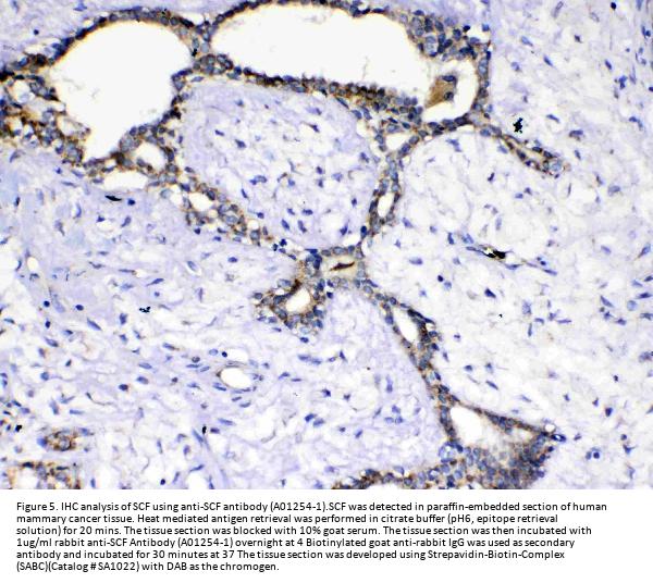
Immunohistochemistry (Paraffin-embedded Section), 2-5μg/ml, Human
Immunocytochemistry/Immunofluorescence, 5 μg/ml, Human
Gene Name
KITLG
Gene Full Name
KIT ligand
Manufacturer - Specificity
No cross reactivity with other proteins.
Background
Stem Cell Factor (also known as SCF, kit-ligand, KL, or steel factor) is a cytokine that binds to the c-Kit receptor (CD117). The SCF gene is mapped to 12q21.32. SCF can exist both as a transmembrane protein and a soluble protein. This cytokine plays an important role in hematopoiesis (formation of blood cells), spermatogenesis, and melanogenesis. SCF may be used along with other cytokines to culture HSCs and hematopoietic progenitors. The expansion of these cells ex-vivo (outside the body) would allow advances in bone-marrow transplantation, in which HSCs are transferred to a patient to re-establish blood formation. One of the problems of injecting SCF for therapeutic purposes is that SCF activates mast cells. The injection of SCF has been shown to cause allergic-like symptoms and the proliferation of mast cells and melanocytes.
Immunogen
E. coli-derived human SCF recombinant protein (Position: E26-A190).
Contents
Each vial contains 4 mg Trehalose, 0.9 mg NaCl and 0.2 mg Na2HPO4.
Purification
Immunogen affinity purified.
Reconstitution
Add 0.2ml of distilled water will yield a concentration of 500ug/ml.
Concentration
Adding 0.2 ml of distilled water will yield a concentration of 500 μg/ml.
Manufacturer - Research Category
Cytokines, Developmental Biology, Embryogenesis, Embryonic Stem Cells, Immunology, Innate Immunity, Stem Cells, Surface Molecules
Protein Function
Ligand for the receptor-type protein-tyrosine kinase KIT. Plays an essential role in the regulation of cell survival and proliferation, hematopoiesis, stem cell maintenance, gametogenesis, mast cell development, migration and function, and in melanogenesis. KITLG/SCF binding can activate several signaling pathways. Promotes phosphorylation of PIK3R1, the regulatory subunit of phosphatidylinositol 3-kinase, and subsequent activation of the kinase AKT1. KITLG/SCF and KIT also transmit signals via GRB2 and activation of RAS, RAF1 and the MAP kinases MAPK1/ERK2 and/or MAPK3/ERK1. KITLG/SCF and KIT promote activation of STAT family members STAT1, STAT3 and STAT5. KITLG/SCF and KIT promote activation of PLCG1, leading to the production of the cellular signaling molecules diacylglycerol and inositol 1, 4, 5- trisphosphate. KITLG/SCF acts synergistically with other cytokines, probably interleukins.
Subcellular Localization
Isoform 1: Cell membrane; Single-pass type I membrane protein.
Description
Boster Bio Anti-SCF/KITLG Antibody Picoband® catalog # A01254-1. Tested in ICC/IF, IHC, WB applications. This antibody reacts with Human, Mouse, Rat. The brand Picoband indicates this is a premium antibody that guarantees superior quality, high affinity, and strong signals with minimal background in Western blot applications. Only our best-performing antibodies are designated as Picoband, ensuring unmatched performance.
Manufacturer - Cross Reactivity
No cross-reactivity with other proteins.

Note: The presented information and documents (Manual, Product Datasheet, Safety Datasheet and Certificate of Analysis) correspond to our latest update and should serve for orientational purpose only. We do not guarantee the topicality. We would kindly ask you to make a request for specific requirements, if necessary.

All products are intended for research use only (RUO). Not for human, veterinary or therapeutic use.

Amount: 100 ug
Available: In stock
available

Compare

Add to wishlist

Get an offer

Request delivery time

Ask a technical question

Submit a bulk request

Questions about this Product?