Comparison

Anti-LAMP2 Antibody Picoband® European Partner

Item no. BOS-A01573-3-FITC
Manufacturer Boster
Amount 100 ug
Quantity options 100 ug/vial 10 ug 100 ug 100 ug 100 ug 100 ug 100 ug 100 ug 100 ug 100 ug 100 ug 100 ug
Category
Type Antibody
Format Lyophilized
Applications WB, ELISA
Specific against Human (Homo sapiens)
Host Rabbit
Isotype IgG
Conjugate/Tag FITC
Citations 1. Arad, M., Maron, B. J., Gorham, J. M., Johnson, W. H., Jr., Saul, J. P., Perez-Atayde, A. R., Spirito, P., Wright, G. B., Kanter, R. J., Seidman, C. E., Seidman, J. G. Glycogen storage diseases presenting as hypertrophic cardiomyopathy. New Eng. J. Med. 352: 362-372, 2005.
2. Bird, A. P. HTF islands as gene markers in the vertebrate nucleus. Trends Genet. 3: 342-347, 1987.
3. Blair, H. J., Ho, M., Monaco, A. P., Fisher, S., Craig, I. W., Boyd, Y. High-resolution comparative mapping of the proximal region of the mouse X chromosome. Genomics 28: 305-310, 1995.
ECLASS 10.1 32160702
ECLASS 11.0 32160702
UNSPSC 12352203
Alias Vitamin K-dependent protein S,PROS1,PROS
Available
Manufacturer - Category
Primary Antibodies
Storage Conditions
At -20°C for one year from date of receipt. After reconstitution, at 4°C for one month. It can also be aliquotted and stored frozen at -20°C for six months. Avoid repeated freezing and thawing.
Observed Molecular weight
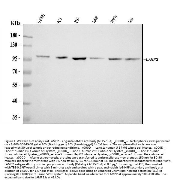
100-110 kDa
Calculated Molecular weight
28681 MW
Clonality
Polyclonal
Application Details
Western blot, 0.25-0.5 μg/ml, Human
ELISA, 0.1-0.5 μg/ml
Gene Name
LAMP2
Gene Full Name
protein S
Background
Lysosome-associated membrane protein 2 (LAMP2), also known as CD107b (Cluster of Differentiation 107b) and Mac-3, is a human gene. Its protein, LAMP2, is one of the lysosome-associated membrane glycoproteins. The protein encoded by this gene is a member of a family of membrane glycoproteins. This glycoprotein provides selectins with carbohydrate ligands. It may play a role in tumor cell metastasis. It may also function in the protection, maintenance, and adhesion of the lysosome. Alternative splicing of this gene results in multiple transcript variants encoding distinct proteins.
Immunogen
E.coli-derived human LAMP2 recombinant protein (Position: D128-F410).
Contents
Each vial contains 4 mg Trehalose, 0.9 mg NaCl, 0.2 mg Na2HPO4.
Purification
Immunogen affinity purified.
Reconstitution
Adding 0.2 ml of distilled water will yield a concentration of 500 μg/ml.
Concentration
Adding 0.2 ml of distilled water will yield a concentration of 500 μg/ml.
Manufacturer - Research Category
Cardiovascular, Serum Proteins
Protein Name
40S ribosomal protein S6
Protein Function
Anticoagulant plasma protein; it is a cofactor to activated protein C in the degradation of coagulation factors Va and VIIIa. It helps to prevent coagulation and stimulating fibrinolysis.
Subcellular Localization
Secreted.
Description
Boster Bio Anti-LAMP2 Antibody Picoband® catalog # A01573-3. Tested in ELISA, WB applications. This antibody reacts with Human. The brand Picoband indicates this is a premium antibody that guarantees superior quality, high affinity, and strong signals with minimal background in Western blot applications. Only our best-performing antibodies are designated as Picoband, ensuring unmatched performance.
Tissue Specificity
Plasma.
Manufacturer - Cross Reactivity
No cross-reactivity with other proteins.

Note: The presented information and documents (Manual, Product Datasheet, Safety Datasheet and Certificate of Analysis) correspond to our latest update and should serve for orientational purpose only. We do not guarantee the topicality. We would kindly ask you to make a request for specific requirements, if necessary.

All products are intended for research use only (RUO). Not for human, veterinary or therapeutic use.

Amount: 100 ug
Available: In stock
available

Compare

Add to wishlist

Get an offer

Request delivery time

Ask a technical question

Submit a bulk request

Questions about this Product?