Comparison

Anti-HTRA1 Antibody Picoband® European Partner

Item no. BOS-A01801-1-Cy3
Manufacturer Boster
Amount 100 ug
Quantity options 100 ug/vial 10 ug 100 ug 100 ug 100 ug 100 ug 100 ug 100 ug 100 ug 100 ug 100 ug 100 ug
Category
Type Antibody Polyclonal
Format Lyophilized
Applications WB, IHC
Specific against Human (Homo sapiens), Mouse (Murine, Mus musculus), Rat (Rattus norvegicus)
Host Rabbit
Isotype IgG
Conjugate/Tag Cy3
Citations 1. Akhatib, B., Onnerfjord, P., Gawri, R., Ouellet, J., Jarzem, P., Heinegard, D., Mort, J., Roughley, P., Haglund, L. Chondroadherin fragmentation mediated by the protease HTRA1distinguishes human intervertebral disc degeneration from normal aging. J. Biol. Chem. 288: 19280-19287, 2013.
2. Bianchi, S., Di Palma, C., Gallus, G. N., Taglia, I., Poggiani, A., Rosini, F., Rufa, A., Muresanu, D. F., Cerase, A., Dotti, M. T., Federico, A. Two novel HTRA1 mutations in a European CARASIL patient. Neurology 82: 898-900, 2014.
ECLASS 10.1 32160702
ECLASS 11.0 32160702
UNSPSC 12352203
Alias Serine protease HTRA1,High-temperature requirement A serine peptidase 1,L56,Serine protease 11,HTRA1,HTRA,PRSS11
Available
Manufacturer - Category
Primary Antibodies
Storage Conditions
Store at -20°C for one year from date of receipt. After reconstitution, at 4°C for one month. It can also be aliquotted and stored frozen at -20°C for six months. Avoid repeated freeze-thaw cycles.
Observed Molecular weight
51 kDa
Clonality
Polyclonal
Application Details
Western blot, 0.1-0.5μg/ml
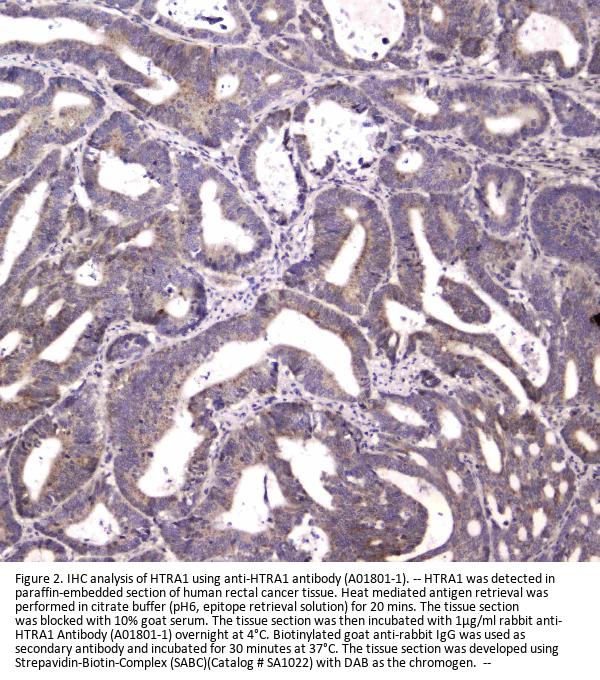
Immunohistochemistry (Paraffin-embedded Section), 0.5-1μg/ml
Gene Name
HTRA1
Gene Full Name
HtrA serine peptidase 1
Manufacturer - Specificity
No cross reactivity with other proteins.
Background
Serine protease HTRA1 is an enzyme that in humans is encoded by the HTRA1 gene. This gene encodes a member of the trypsin family of serine proteases. This protein is a secreted enzyme that is proposed to regulate the availability of insulin-like growth factors (IGFs) by cleaving IGF-binding proteins. It has also been suggested to be a regulator of cell growth. Variations in the promoter region of this gene are the cause of susceptibility to age-related macular degeneration type 7.
Immunogen
A synthetic peptide corresponding to a sequence at the N-terminus of human HTRA1, which shares 93.2% amino acid (aa) sequence identity with both mouse and rat HTRA1.
Contents
Each vial contains 4mg Trehalose, 0.9mg NaCl, 0.2mg Na2HPO4, 0.05mg NaN3.
Purification
Immunogen affinity purified.
Reconstitution
Add 0.2ml of distilled water will yield a concentration of 500ug/ml.
Concentration
Adding 0.2 ml of distilled water will yield a concentration of 500 μg/ml.
Manufacturer - Research Category
Growth Factors/Hormones, Signal Transduction
Protein Function
Serine protease with a variety of targets, including extracellular matrix proteins such as fibronectin. HTRA1-generated fibronectin fragments further induce synovial cells to up-regulate MMP1 and MMP3 production. May also degrade proteoglycans, such as aggrecan, decorin and fibromodulin. Through cleavage of proteoglycans, may release soluble FGF-glycosaminoglycan complexes that promote the range and intensity of FGF signals in the extracellular space. Regulates the availability of insulin-like growth factors (IGFs) by cleaving IGF-binding proteins. Inhibits signaling mediated by TGF-beta family members. This activity requires the integrity of the catalytic site, although it is unclear whether TGF-beta proteins are themselves degraded. By acting on TGF-beta signaling, may regulate many physiological processes, including retinal angiogenesis and neuronal survival and maturation during development. Intracellularly, degrades TSC2, leading to the activation of TSC2 downstream targets.
Subcellular Localization
Cell membrane.
Description
Boster Bio Anti-HTRA1 Antibody Picoband® catalog # A01801-1. Tested in IHC, WB applications. This antibody reacts with Human, Mouse, Rat. The brand Picoband indicates this is a premium antibody that guarantees superior quality, high affinity, and strong signals with minimal background in Western blot applications. Only our best-performing antibodies are designated as Picoband, ensuring unmatched performance.
Tissue Specificity
Widely expressed, with strongest expression in placenta (at protein level). Secreted by synovial fibroblasts. Up- regulated in osteoarthritis and rheumatoid arthritis synovial fluids and cartilage as compared with non-arthritic (at protein level).
Manufacturer - Cross Reactivity
No cross-reactivity with other proteins.

Note: The presented information and documents (Manual, Product Datasheet, Safety Datasheet and Certificate of Analysis) correspond to our latest update and should serve for orientational purpose only. We do not guarantee the topicality. We would kindly ask you to make a request for specific requirements, if necessary.

All products are intended for research use only (RUO). Not for human, veterinary or therapeutic use.

Amount: 100 ug
Available: In stock
available

Compare

Add to wishlist

Get an offer

Request delivery time

Ask a technical question

Submit a bulk request

Questions about this Product?