Comparison

Anti-GLB1/Beta-galactosidase Antibody Picoband® European Partner

Item no. BOS-A01829-3-Biotin
Manufacturer Boster
Amount 100 ug
Quantity options 100 ug/vial 10 ug 100 ug 100 ug 100 ug 100 ug 100 ug 100 ug 100 ug 100 ug 100 ug 100 ug
Category
Type Antibody Polyclonal
Format Lyophilized
Applications WB, FC, IF, IHC, ICC, ELISA
Specific against Mouse (Murine, Mus musculus), Rat (Rattus norvegicus)
Host Rabbit
Isotype IgG
Conjugate/Tag Biotin
Citations 1. Shows TB, Scrafford-Wolff L, Brown JA, Meisler M (1978). Assignment of a beta-galactosidase gene (beta GALA) to chromosome 3 in man. Cytogenetics and Cell Genetics. 22 (1–6): 219–22.
2. Oshima A, Tsuji A, Nagao Y, Sakuraba H, Suzuki Y (Nov 1988). Cloning, sequencing, and expression of cDNA for human beta-galactosidase. Biochemical and Biophysical Research Communications. 157 (1): 238–44.
3. Caciotti A, Donati MA, Boneh A, d'Azzo A, Federico A, Parini R, Antuzzi D, Bardelli T, Nosi D, Kimonis V, Zammarchi E, Morrone A (Mar 2005). Role of beta-galactosidase and elastin binding protein in lysosomal and nonlysosomal complexes of patients with GM1-gangliosidosis. Human Mutation. 25 (3): 285–92.
ECLASS 10.1 32160702
ECLASS 11.0 32160702
UNSPSC 12352203
Alias Beta-galactosidase,Glb1,Glb1_mapped,rCG_25043
Available
Manufacturer - Category
Primary Antibodies
Storage Conditions
Store at -20°C for one year from date of receipt. After reconstitution, at 4°C for one month. It can also be aliquotted and stored frozen at -20°C for six months. Avoid repeated freeze-thaw cycles.
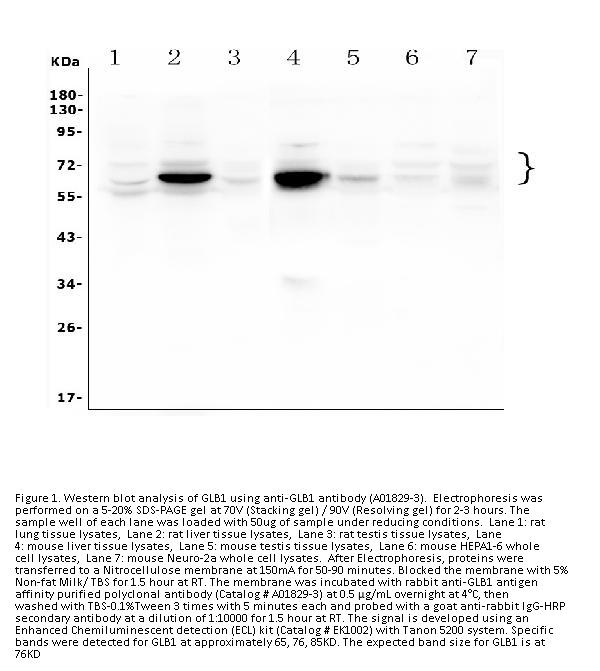
Observed Molecular weight
65 kDa, 76 kDa, 85 kDa
Calculated Molecular weight
18080 MW
Clonality
Polyclonal
Application Details
Western blot, 0.25-0.5μg/ml, Mouse, Rat
Immunohistochemistry (Paraffin-embedded Section), 0.5-1μg/ml, Rat
Immunocytochemistry/Immunofluorescence, 2μg/ml, Rat
Flow Cytometry (Fixed), 1-3μg/1x106 cells, Mouse, Rat
ELISA, 0.1-0.5μg/ml,
Gene Name
Glb1
Gene Full Name
galactosidase, beta 1
Manufacturer - Specificity
No cross reactivity with other proteins.
Background
Galactosidase, beta 1, also known as GLB1, is a protein which in humans is encoded by the GLB1 gene. I t is mapped to 3p22.3. This gene encodes a member of the glycosyl hydrolase 35 family of proteins. Alternative splicing results in multiple transcript variants, at least one of which encodes a preproprotein that is proteolytically processed to generate the mature lysosomal enzyme. This enzyme catalyzes the hydrolysis of a terminal beta-linked galactose residue from ganglioside substrates and other glycoconjugates. Mutations in this gene may result in GM1-gangliosidosis and Morquio B syndrome.
Immunogen
E.coli-derived rat GLB1/Beta-galactosidase recombinant protein (Position: R103-I646).
Contents
Each vial contains 4mg Trehalose, 0.9mg NaCl, 0.2mg Na2HPO4, 0.05mg NaN3.
Purification
Immunogen affinity purified.
Reconstitution
Add 0.2ml of distilled water will yield a concentration of 500ug/ml.
Concentration
Adding 0.2 ml of distilled water will yield a concentration of 500 μg/ml.
Manufacturer - Research Category
Neuroscience, Stem Cells, Synapse Marker, T Cells, T Lymphocytic Lineage
Protein Name
Thy-1 membrane glycoprotein
Protein Function
Hydrolysis of terminal non-reducing beta-D-galactose residues in beta-D-galactosides.EC:3.2.1.23
Subcellular Localization
Cell membrane; Lipid-anchor, GPI-anchor.
Description
Boster Bio Anti-GLB1/Beta-galactosidase Antibody Picoband® catalog # A01829-3. Tested in ELISA, Flow Cytometry, IF, IHC, ICC, WB applications. This antibody reacts with Mouse, Rat. The brand Picoband indicates this is a premium antibody that guarantees superior quality, high affinity, and strong signals with minimal background in Western blot applications. Only our best-performing antibodies are designated as Picoband, ensuring unmatched performance.
Manufacturer - Cross Reactivity
No cross-reactivity with other proteins.

Note: The presented information and documents (Manual, Product Datasheet, Safety Datasheet and Certificate of Analysis) correspond to our latest update and should serve for orientational purpose only. We do not guarantee the topicality. We would kindly ask you to make a request for specific requirements, if necessary.

All products are intended for research use only (RUO). Not for human, veterinary or therapeutic use.

Amount: 100 ug
Available: In stock
available

Compare

Add to wishlist

Get an offer

Request delivery time

Ask a technical question

Submit a bulk request

Questions about this Product?