Comparison

Anti-Apelin/APLN Antibody European Partner

Item no. BOS-A02075-1-carrier-free
Manufacturer Boster
Amount 100 ug
Quantity options 100 ug/vial 10 ug 100 ug 100 ug 100 ug 100 ug 100 ug 100 ug 100 ug 100 ug 100 ug 100 ug
Category
Type Antibody
Format Lyophilized
Applications IHC, ELISA
Specific against Human (Homo sapiens)
Host Rabbit
Isotype IgG
Citations 1. Cayabyab, M., Hinuma, S., Farzan, M., Choe, H., Fukusumi, S., Kitada, C., Nishizawa, N., Hosoya, M., Nishimura, O., Messele, T., Pollakis, G., Goudsmit, J., Fujino, M., Sodroski, J. Apelin, the natural ligand of the orphan seven-transmembrane receptor APJ, inhibits human immunodeficiency virus type 1 entry.J. Virol. 74: 11972-11976, 2000.
2. Chen, M. M., Ashley, E. A., Deng, D. X. F., Tsalenko, A., Deng, A., Tabibiazar, R., Ben-Dor, A., Fenster, B., Yang, E., King, J. Y., Fowler, M., Robbins, R., Johnson, F. L., Bruhn, L., McDonagh, T., Dargie, H., Yakhini, Z., Tsao, P. S., Quertermous, T.Novel role for the potent endogenous inotrope apelin in human cardiac dysfunction.Circulation 108: 1432-1439, 2003.
3. De Mota, N., Reaux-Le Goazigo, A., El Messari, S., Chartrel, N., Roesch, D., Dujardin, C., Kordon, C., Vaudry, H., Moos, F., Llorens-Cortes, C. Apelin, a potent diuretic neuropeptide counteracting vasopressin actions through inhibition of vasopressin neuron activity and vasopressin release.Proc. Nat. Acad. Sci. 101: 10464-10469, 2004.
ECLASS 10.1 32160702
ECLASS 11.0 32160702
UNSPSC 12352203
Alias Deleted in azoospermia-like,DAZ homolog,DAZ-like autosomal,Deleted in azoospermia-like 1,SPGY-like-autosomal,DAZL,DAZH,DAZL1,DAZLA,SPGYLA
Available
Manufacturer - Category
Primary Antibodies
Manufacturer - Conjugate / Tag
carrier-free
Storage Conditions
At -20°C for one year from date of receipt. After reconstitution, at 4°C for one month. It can also be aliquotted and stored frozen at -20°C for six months. Avoid repeated freezing and thawing.
Observed Molecular weight
41 kDa
Clonality
Polyclonal
Application Details
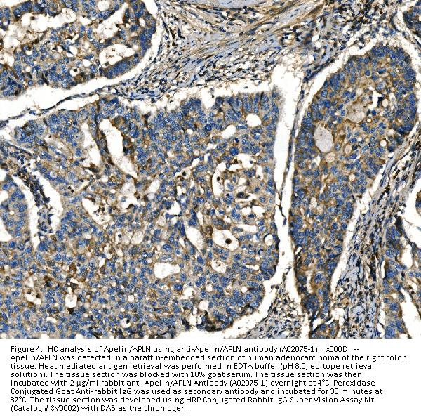
Immunohistochemistry(Paraffin-embedded Section), 2-5 μg/ml, Human
ELISA, 0.1-0.5 μg/ml
Gene Name
APLN
Gene Full Name
deleted in azoospermia like
Background
Apelin is a neuropeptide expressed in the supraoptic and paraventricular nuclei that acts on specific receptors located on vasopressinergic neurons. The apelin gene to Xq25-q26.3 based on sequence similarity between the apelin sequence and a chromosome X PAC clone. This gene encodes a peptide that functions as an endogenous ligand for the G protein coupled receptor APJ. The encoded protein is synthesized as a prepropeptide that is processed into biologically active C-terminal fragments. The peptide fragments activate different tissue specific signaling pathways that regulate diverse biological functions including fluid homeostasis, cardiovascular function and insulin secretion. This protein also functions as a coreceptor for the human immunodeficiency virus 1.
Immunogen
E.coli-derived human Apelin/APLN recombinant protein (Position: S24-F77).
Contents
Each vial contains 4 mg Trehalose, 0.9 mg NaCl, 0.2 mg Na2HPO4.
Purification
Immunogen affinity purified.
Reconstitution
Adding 0.2 ml of distilled water will yield a concentration of 500 μg/ml.
Concentration
Adding 0.2 ml of distilled water will yield a concentration of 500 μg/ml.
Manufacturer - Research Category
Angiogenesis, Cancer, Cardiovascular, Cytokines, Immunology, Innate Immunity, Interleukins, Invasion/Microenvironment
Protein Function
RNA-binding protein, which is essential for gametogenesis in both males and females. Plays a central role during spermatogenesis. Acts by binding to the 3'-UTR of mRNA, specifically recognizing GUU triplets, and thereby regulating the translation of key transcripts.
Subcellular Localization
Nucleus. Cytoplasm.
Description
Boster Bio Anti-Apelin/APLN Antibody Picoband® catalog # A02075-1. Tested in ELISA, IHC applications. This antibody reacts with Human.
Manufacturer - Cross Reactivity
No cross-reactivity with other proteins.

Note: The presented information and documents (Manual, Product Datasheet, Safety Datasheet and Certificate of Analysis) correspond to our latest update and should serve for orientational purpose only. We do not guarantee the topicality. We would kindly ask you to make a request for specific requirements, if necessary.

All products are intended for research use only (RUO). Not for human, veterinary or therapeutic use.

Amount: 100 ug
Available: In stock
available

Compare

Add to wishlist

Get an offer

Request delivery time

Ask a technical question

Submit a bulk request

Questions about this Product?