Comparison

Anti-FH Antibody Picoband® European Partner

Item no. BOS-A02097-Dylight550
Manufacturer Boster
Amount 100 ug
Quantity options 100 ug/vial 10 ug 100 ug 100 ug 100 ug 100 ug 100 ug 100 ug 100 ug 100 ug 100 ug 100 ug 100 ug
Category
Type Antibody Polyclonal
Format Lyophilized
Applications WB, FC, IF, IHC, ICC, IHC-F
Specific against Human (Homo sapiens), Mouse (Murine, Mus musculus), Rat (Rattus norvegicus)
Host Rabbit
Isotype IgG
Conjugate/Tag Dylight 550
Citations 1. Begley TP, McMurry J (2005). The organic chemistry of biological pathways. Roberts and Co. Publishers.
2. Weaver T (October 2005). Structure of free fumarase C from Escherichia coli. ActaCrystallogr. D. 61 (Pt 10): 1395–401.
ECLASS 10.1 32160702
ECLASS 11.0 32160702
UNSPSC 12352203
Alias Fumarate hydratase,mitochondrial,Fumarase,4.2.1.2,FH
Available
Manufacturer - Category
Primary Antibodies
Storage Conditions
Store at -20°C for one year from date of receipt. After reconstitution, at 4°C for one month. It can also be aliquotted and stored frozen at -20°C for six months. Avoid repeated freeze-thaw cycles.
Observed Molecular weight
49 kDa
Clonality
Polyclonal
Application Details
Western blot, 0.1-0.5μg/ml
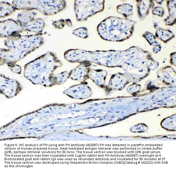
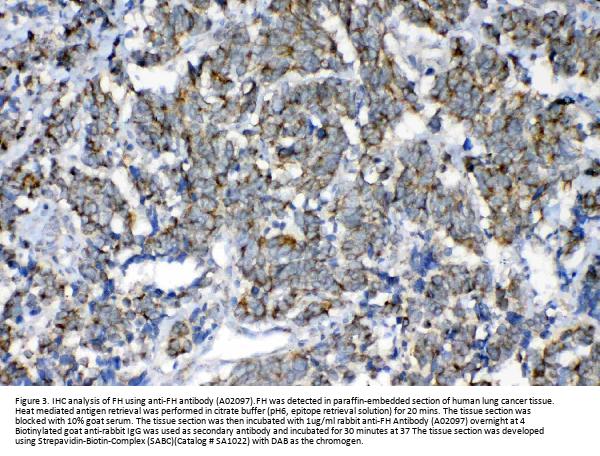
Immunohistochemistry (Paraffin-embedded Section), 0.5-1μg/ml
Immunohistochemistry (Frozen Section), 0.5-1μg/ml
Immunocytochemistry/Immunofluorescence, 2μg/ml
Flow Cytometry (Fixed), 1-3μg/1x106 cells
Gene Name
FH
Gene Full Name
fumarate hydratase
Manufacturer - Specificity
No cross reactivity with other proteins.
Background
Fumarase (or fumaratehydratase) is an enzyme that catalyzes the reversible hydration/dehydration of fumarate to malate. Fumarase comes in two forms: mitochondrial and cytosolic. The mitochondrial isoenzyme is involved in the Krebs Cycle (also known as the Tricarboxylic Acid Cycle [TCA] or the Citric Acid Cycle), and the cytosolic isoenzyme is involved in the metabolism of amino acids and fumarate. Subcellular localization is established by the presence of a signal sequence on the amino terminus in the mitochondrial form, while subcellular localization in the cytosolic form is established by the absence of the signal sequence found in the mitochondrial variety. This enzyme participates in 2 metabolic pathways: citric acid cycle, reductive citric acid cycle (CO2 fixation), and is also important in renal cell carcinoma. Mutations in this gene have been associated with the development of leiomyomas in the skin and uterus in combination with renal cell carcinoma.
Immunogen
A synthetic peptide corresponding to a sequence at the N-terminus of human FH, which shares 100% and 97.8% amino acid (aa) sequence identity with mouse and rat FH, respectively.
Contents
Each vial contains 4mg Trehalose, 0.9mg NaCl, 0.2mg Na2HPO4, 0.05mg NaN3.
Purification
Immunogen affinity purified.
Reconstitution
Add 0.2ml of distilled water will yield a concentration of 500ug/ml.
Concentration
Adding 0.2 ml of distilled water will yield a concentration of 500 μg/ml.
Manufacturer - Research Category
Cancer, Cardiovascular, Fatty Acid Oxidation, Fatty Acids, Lipid and Lipoprotein Metabolism, Lipid Metabolism, Lipids/Lipoproteins, Metabolic Signaling Pathways, Metabolism, Pathways and Processes, Redox Metabolism, Signal Transduction
Protein Function
Also acts as a tumor suppressor.
Subcellular Localization
Isoform Mitochondrial: Mitochondrion.
Description
Boster Bio Anti-FH Antibody Picoband® catalog # A02097. Tested in Flow Cytometry, IF, IHC, IHC-F, ICC, WB applications. This antibody reacts with Human, Mouse, Rat. The brand Picoband indicates this is a premium antibody that guarantees superior quality, high affinity, and strong signals with minimal background in Western blot applications. Only our best-performing antibodies are designated as Picoband, ensuring unmatched performance.
Tissue Specificity
Expressed in red blood cells; underexpressed in red blood cells (cytoplasm) of patients with hereditary non- spherocytic hemolytic anemia of unknown etiology.
Manufacturer - Cross Reactivity
No cross-reactivity with other proteins.

Note: The presented information and documents (Manual, Product Datasheet, Safety Datasheet and Certificate of Analysis) correspond to our latest update and should serve for orientational purpose only. We do not guarantee the topicality. We would kindly ask you to make a request for specific requirements, if necessary.

All products are intended for research use only (RUO). Not for human, veterinary or therapeutic use.

Amount: 100 ug
Available: In stock
available

Compare

Add to wishlist

Get an offer

Request delivery time

Ask a technical question

Submit a bulk request

Questions about this Product?