Comparison

Anti-Angiotensinogen/AGT Antibody Picoband® European Partner

Item no. BOS-A02103-4-APC
Manufacturer Boster
Amount 100 ug/vial
Quantity options 100 ug/vial 10 ug 100 ug/vial 100 ug/vial 100 ug/vial 100 ug 100 ug 100 ug 100 ug/vial 100 ug/vial 100 ug/vial 100 ug/vial
Category
Type Antibody Polyclonal
Format Lyophilized
Applications WB, FC, IHC, ELISA
Specific against Human (Homo sapiens)
Host Rabbit
Isotype IgG
Conjugate/Tag APC
Citations 1. Abonia, J. P., Abel, K. J., Eddy, R. L., Elliott, R. W., Chapman, V. M., Shows, T. B., Gross, K. W. Linkage of Agt and Actsk-1 to distal mouse chromosome 8 loci: a new conserved linkage. Mammalian Genome 4: 25-32, 1993.
2. Arakawa, K., Minohara, A., Yamada, J., Nakamura, M. Enzymatic degradation and electrophoresis of human angiotensin I. Biochim. Biophys. Acta 168: 106-112, 1968.
3. Basso N, Terragno NA (December 2001). History about the discovery of the renin-angiotensin system. Hypertension 38 (6): 1246–9.
ECLASS 10.1 32160702
ECLASS 11.0 32160702
UNSPSC 12352203
Available
Manufacturer - Category
Primary Antibodies
Storage Conditions
At -20°C for one year from date of receipt.
After reconstitution, at 4°C for one month. It can also be aliquotted and stored frozen at -20°C for six months.
Avoid repeated freezing and thawing.
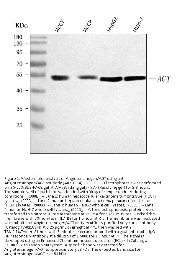
Observed Molecular weight
53 kDa
Calculated Molecular weight
51990 MW
Clonality
Polyclonal
Application Details
Western blot, 0.1-0.25 μg/ml, Human
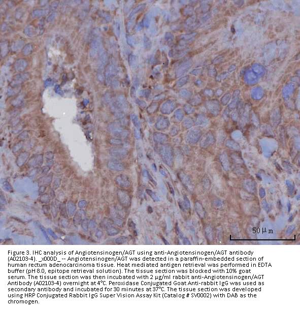
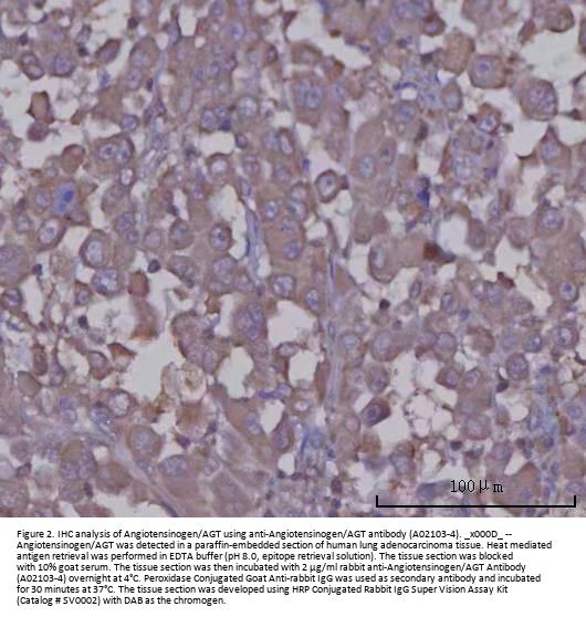
Immunohistochemistry(Paraffin-embedded Section), 2-5 μg/ml, Human
Flow Cytometry (Fixed), 1-3 μg/1x106 cells, Human
ELISA, 0.1-0.5 μg/ml
Gene Name
AGT
Gene Full Name
Angiotensinogen
Background
AGT(ANGIOTENSINOGEN), also called SERPINA8, is an α-2-globulin that is produced constitutively and released into the circulation mainly by the liver. ATG is a member of the serpin family, although it is not known to inhibit other enzymes, unlike most serpins. Angiotensinogen is also known as renin substrate. The AGT gene is mapped on 1q42.2. And the human angiotensinogen gene contains 5 exons. The expression of AGT and enzymes required for its conversion to angiotensin II in human adipose tissue. Mutations in this AGT gene are associated with susceptibility to essential hypertension, and can cause renal tubular dysgenesis, a severe disorder of renal tubular development. Defects in this gene have also been associated with non-familial structural atrial fibrillation, and inflammatory bowel disease.
Immunogen
E.coli-derived human Angiotensinogen/AGT recombinant protein (Position: D273-R458).
Contents
Each vial contains 4 mg Trehalose, 0.9 mg NaCl, 0.2 mg Na2HPO4.
Purification
Immunogen affinity purified.
Reconstitution
Adding 0.2 ml of distilled water will yield a concentration of 500 μg/ml.
Concentration
Adding 0.2 ml of distilled water will yield a concentration of 500 μg/ml.
Manufacturer - Research Category
Cardiovascular, G Protein Signaling, Signal Transduction, Signaling Pathway
Protein Name
Angiotensinogen
Protein Function
Essential component of the renin-angiotensin system (RAS), a potent regulator of blood pressure, body fluid and electrolyte homeostasis.
Subcellular Localization
Secreted.
Description
Boster Bio Anti-Angiotensinogen/AGT Antibody Picoband® catalog # A02103-4. Tested in ELISA, IHC, WB, Flow Cytometry applications. This antibody reacts with Human. The brand Picoband indicates this is a premium antibody that guarantees superior quality, high affinity, and strong signals with minimal background in Western blot applications. Only our best-performing antibodies are designated as Picoband, ensuring unmatched performance.
Tissue Specificity
Expressed by the liver and secreted in plasma.
Manufacturer - Alias
Angiotensinogen, Serpin A8, Angiotensin-1, Angiotensin 1-10, Angiotensin I, Ang I, Angiotensin-2, Angiotensin 1-8, Angiotensin II, Ang II, Angiotensin-3, Angiotensin 2-8, Angiotensin III, Ang III, Des-Asp[1]-angiotensin II, Angiotensin-4, Angiotensin 3-8, Angiotensin IV, Ang IV, Angiotensin 1-9, Angiotensin 1-7, Angiotensin 1-5, Angiotensin 1-4, Agt, Serpina8

Note: The presented information and documents (Manual, Product Datasheet, Safety Datasheet and Certificate of Analysis) correspond to our latest update and should serve for orientational purpose only. We do not guarantee the topicality. We would kindly ask you to make a request for specific requirements, if necessary.

All products are intended for research use only (RUO). Not for human, veterinary or therapeutic use.

Amount: 100 ug/vial
Available: In stock
available

Compare

Add to wishlist

Get an offer

Request delivery time

Ask a technical question

Submit a bulk request

Questions about this Product?