Comparison

Anti-PLTP Antibody Picoband® European Partner

Item no. BOS-A02209-1-FITC
Manufacturer Boster
Amount 100 ug
Quantity options 100 ug/vial 10 ug 100 ug 100 ug 100 ug 100 ug 100 ug 100 ug 100 ug 100 ug 100 ug 100 ug
Category
Type Primary Antibody
Format Lyophilized
Applications WB, FC, IF, IHC, ICC, ELISA
Specific against Human (Homo sapiens)
Host Rabbit
Isotype IgG
Conjugate/Tag FITC
Citations 1. Jiang, X., Bruce, C., Mar, J., Lin, M., Ji, Y., Francone, O. L., Tall, A. R. Targeted mutation of plasma phospholipid transfer protein gene markedly reduces high-absorbance lipoprotein levels. J. Clin. Invest. 103: 907-914, 1999.
2. Spirin, V., Schmidt, S., Pertsemlidis, A., Cooper, R. S., Cohen, J. C., Sunyaev, S. R. Common single-nucleotide polymorphisms act in concert to affect plasma levels of high-absorbance lipoprotein cholesterol. Am. J. Hum. Genet. 81: 1298-1303, 2007.
3. Teslovich, T. M., Musunuru, K., Smith, A. V., Edmondson, A. C., Stylianou, I. M., Koseki, M., Pirruccello, J. P., Ripatti, S., Chasman, D. I., Willer, C. J., Johansen, C. T., Fouchier, S. W., and 197 others. Biological, clinical and population relevance of 95 loci for blood lipids. Nature 466: 707-713, 2010.
ECLASS 10.1 32160702
ECLASS 11.0 32160702
UNSPSC 12352203
Alias Protein atonal homolog 1,Class A basic helix-loop-helix protein 14,bHLHa14,Helix-loop-helix protein hATH-1,hATH1,ATOH1,ATH1,BHLHA14
Available
Manufacturer - Category
Primary Antibodies
Storage Conditions
Store at -20°C for one year from date of receipt. After reconstitution, at 4°C for one month. It can also be aliquotted and stored frozen at -20°C for six months. Avoid repeated freeze-thaw cycles.
Observed Molecular weight
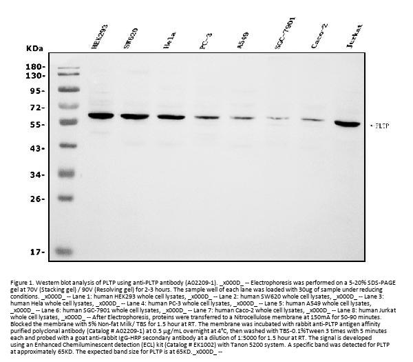
65 kDa
Calculated Molecular weight
38160 MW
Clonality
Polyclonal
Application Details
Western blot, 0.25-0.5μg/ml, Human
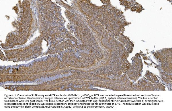
Immunohistochemistry (Paraffin-embedded Section), 2-5μg/ml, Human
Immunocytochemistry/Immunofluorescence, 5μg/ml, Human
Flow Cytometry (Fixed), 1-3μg/1x106 cells, Human
ELISA, 0.1-0.5μg/ml
Gene Name
PLTP
Gene Full Name
Protein atonal homolog 1
Background
Phospholipid transfer protein (PLTP), also known as lipid transfer protein II is a protein that in humans is encoded by the PLTP gene. This gene is mapped to 20q13.12. The protein encoded by this gene is one of at least two lipid transfer proteins found in human plasma. The encoded protein transfers phospholipids from triglyceride-rich lipoproteins to high density lipoprotein (HDL). In addition to regulating the size of HDL particles, this protein may be involved in cholesterol metabolism. At least two transcript variants encoding different isoforms have been found for this gene.
Immunogen
E.coli-derived human PLTP recombinant protein (Position: E18-E470).
Contents
Each vial contains 4mg Trehalose, 0.9mg NaCl and 0.2mg Na2HPO4.
Purification
Immunogen affinity purified.
Reconstitution
Add 0.2ml of distilled water will yield a concentration of 500ug/ml.
Concentration
Adding 0.2 ml of distilled water will yield a concentration of 500 μg/ml.
Manufacturer - Research Category
Auditory System, Domain Families, Epigenetics and Nuclear Signaling, Hlh/Leucine Zipper, Neurogenesis, Neurology Process, Neuroscience, Nuclear, Sensory System, Signaling Pathways, Stem Cells, Transcription
Protein Name
Cone-rod homeobox protein
Protein Function
Transcriptional regulator. Activates E box-dependent transcription in collaboration with TCF3/E47, but the activity is completely antagonized by the negative regulator of neurogenesis HES1. Plays a role in the differentiation of subsets of neural cells by activating E box-dependent transcription (By similarity).
Subcellular Localization
Nucleus.
Description
Boster Bio Anti-PLTP Antibody Picoband® catalog # A02209-1. Tested in ELISA, Flow Cytometry, IF, IHC, ICC, WB applications. This antibody reacts with Human. The brand Picoband indicates this is a premium antibody that guarantees superior quality, high affinity, and strong signals with minimal background in Western blot applications. Only our best-performing antibodies are designated as Picoband, ensuring unmatched performance.
Tissue Specificity
Retina.
Manufacturer - Cross Reactivity
No cross-reactivity with other proteins.

Note: The presented information and documents (Manual, Product Datasheet, Safety Datasheet and Certificate of Analysis) correspond to our latest update and should serve for orientational purpose only. We do not guarantee the topicality. We would kindly ask you to make a request for specific requirements, if necessary.

All products are intended for research use only (RUO). Not for human, veterinary or therapeutic use.

Amount: 100 ug
Available: In stock
available

Compare

Add to wishlist

Get an offer

Request delivery time

Ask a technical question

Submit a bulk request

Questions about this Product?