Comparison

Anti-beta glucuronidase/GUSB Antibody Picoband® European Partner

Item no. BOS-A02234-1-Biotin
Manufacturer Boster
Amount 100 ug
Quantity options 100 ug/vial 10 ug 100 ug 100 ug 100 ug 100 ug 100 ug 100 ug 100 ug 100 ug 100 ug 100 ug
Category
Type Antibody Polyclonal
Format Lyophilized
Applications WB, FC, IF, IHC, ICC, ELISA
Specific against Human (Homo sapiens)
Host Rabbit
Isotype IgG
Conjugate/Tag Biotin
Citations 1. Kreamer, B. L., Siegel, F. L., Gourley, G. R. A novel inhibitor of beta-glucuronidase: L-aspartic acid. Pediat. Res. 50: 460-466, 2001.
2. Miller, R. D., Hoffmann, J. W., Powell, P. P., Kyle, J. W., Shipley, J. M., Bachinsky, D. R., Sly, W. S. Cloning and characterization of the human beta-glucuronidase gene. Genomics 7: 280-283, 1990.
3. Tomatsu, S., Orii, K. O., Vogler, C., Grubb, J. H., Snella, E. M., Gutierrez, M. A., Dieter, T., Sukegawa, K., Orii, T., Kondo, N., Sly, W. S. Missense models [Gus(tm(E536A)Sly), Gus(tm(E536Q)Sly), and Gus(tm(L175F)Sly)] of murine mucopolysaccharidosis type VII produced by targeted mutagenesis. Proc. Nat. Acad. Sci. 99: 14982-14987, 2002.
ECLASS 10.1 32160702
ECLASS 11.0 32160702
UNSPSC 12352203
Alias Beta-glucuronidase,Beta-G1,GUSB
Available
Manufacturer - Category
Primary Antibodies
Storage Conditions
Store at -20°C for one year from date of receipt. After reconstitution, at 4°C for one month. It can also be aliquotted and stored frozen at -20°C for six months. Avoid repeated freeze-thaw cycles.
Observed Molecular weight
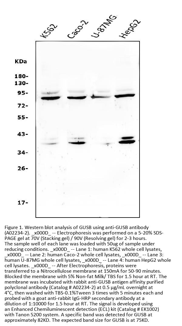
82 kDa
Calculated Molecular weight
38160 MW
Clonality
Polyclonal
Application Details
Western blot, 0.25-0.5μg/ml, Human
Immunohistochemistry (Paraffin-embedded Section), 2-5μg/ml, Human
Immunocytochemistry/Immunofluorescence, 2μg/ml, Human
Flow Cytometry (Fixed), 1-3μg/1x106 cells, Human
ELISA, 0.1-0.5μg/ml
Gene Name
GUSB
Gene Full Name
glucuronidase beta
Manufacturer - Specificity
No cross reactivity with other proteins.
Background
Beta-glucuronidases are members of the glycosidase family of enzymes that catalyze breakdown of complex carbohydrates. This gene encodes a hydrolase that degrades glycosaminoglycans, including heparan sulfate, dermatan sulfate, and chondroitin-4, 6-sulfate. The enzyme forms a homotetramer that is localized to the lysosome. Mutations in this gene result in mucopolysaccharidosis type VII. Alternative splicing results in multiple transcript variants. There are many pseudogenes of this locus in the human genome.
Immunogen
E.coli-derived human beta glucuronidase/GUSB recombinant protein (Position: Q416-T651).
Contents
Each vial contains 4mg Trehalose, 0.9mg NaCl, 0.2mg Na2HPO4, 0.05mg NaN3.
Purification
Immunogen affinity purified.
Reconstitution
Add 0.2ml of distilled water will yield a concentration of 500ug/ml.
Concentration
Adding 0.2 ml of distilled water will yield a concentration of 500 μg/ml.
Manufacturer - Research Category
Auditory System, Domain Families, Epigenetics and Nuclear Signaling, Hlh/Leucine Zipper, Neurogenesis, Neurology Process, Neuroscience, Nuclear, Sensory System, Signaling Pathways, Stem Cells, Transcription
Protein Name
Cone-rod homeobox protein
Protein Function
Plays an important role in the degradation of dermatan and keratan sulfates.
Subcellular Localization
Membrane. Single-pass type I membrane protein.
Description
Boster Bio Anti-beta glucuronidase/GUSB Antibody Picoband® catalog # A02234-1. Tested in ELISA, Flow Cytometry, IF, ICC, IHC, WB applications. This antibody reacts with Human. The brand Picoband indicates this is a premium antibody that guarantees superior quality, high affinity, and strong signals with minimal background in Western blot applications. Only our best-performing antibodies are designated as Picoband, ensuring unmatched performance.
Tissue Specificity
Broadly expressed with higher expression in heart.
Manufacturer - Cross Reactivity
No cross-reactivity with other proteins.

Note: The presented information and documents (Manual, Product Datasheet, Safety Datasheet and Certificate of Analysis) correspond to our latest update and should serve for orientational purpose only. We do not guarantee the topicality. We would kindly ask you to make a request for specific requirements, if necessary.

All products are intended for research use only (RUO). Not for human, veterinary or therapeutic use.

Amount: 100 ug
Available: In stock
available

Compare

Add to wishlist

Get an offer

Request delivery time

Ask a technical question

Submit a bulk request

Questions about this Product?