Comparison

Anti-UGT1A6 Antibody Picoband® European Partner

Item no. BOS-A02239-2-FITC
Manufacturer Boster
Amount 100 ug
Quantity options 100 ug/vial 10 ug 100 ug 100 ug 100 ug 100 ug 100 ug 100 ug 100 ug 100 ug 100 ug 100 ug
Category
Type Antibody Polyclonal
Format Lyophilized
Applications WB, FC, IHC, ELISA
Specific against Mouse (Murine, Mus musculus), Rat (Rattus norvegicus)
Host Rabbit
Isotype IgG
Conjugate/Tag FITC
Citations 1. Mackenzie PI, Owens IS, Burchell B, Bock KW, Bairoch A, Bélanger A, Fournel-Gigleux S, Green M, Hum DW, Iyanagi T, Lancet D, Louisot P, Magdalou J, Chowdhury JR, Ritter JK, Schachter H, Tephly TR, Tipton KF, Nebert DW (August 1997). The UDP glycosyltransferase gene superfamily: recommended nomenclature update based on evolutionary divergence. Pharmacogenetics. 7 (4): 255–69.
2. Ritter JK, Chen F, Sheen YY, Tran HM, Kimura S, Yeatman MT, Owens IS (February 1992). A novel complex locus UGT1 encodes human bilirubin, phenol, and other UDP-glucuronosyltransferase isozymes with identical carboxyl termini. The Journal of Biological Chemistry. 267 (5): 3257–61.
3. Shrestha B, Reed JM, Starks PT, Kaufman GE, Goldstone JV, Roelke ME, O'Brien SJ, Koepfli KP, Frank LG, Court MH (2011). Zanger U (ed.). Evolution of a major drug metabolizing enzyme defect in the domestic cat and other felidae: phylogenetic timing and the role of hypercarnivory. PLoS One. 6 (3): e18046.
ECLASS 10.1 32160702
ECLASS 11.0 32160702
UNSPSC 12352203
Alias UDP-glucuronosyltransferase 1-6,UDPGT 1-6,UGT1*6,UGT1-06,UGT1.6,A1,P-nitrophenol-specific UDPGT,UDP-glucuronosyltransferase 1A6,UGT1A6,Ugt1a6,Ugt1
Available
Manufacturer - Category
Primary Antibodies
Storage Conditions
Store at -20°C for one year from date of receipt. After reconstitution, at 4°C for one month. It can also be aliquotted and stored frozen at -20°C for six months. Avoid repeated freeze-thaw cycles.
Observed Molecular weight
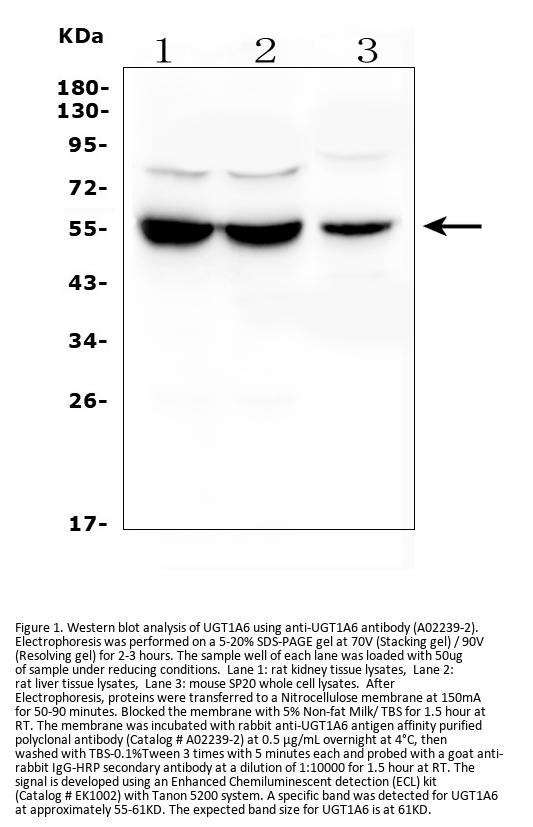
55-61 kDa
Clonality
Polyclonal
Application Details
Western blot, 0.25-0.5μg/ml, Mouse, Rat
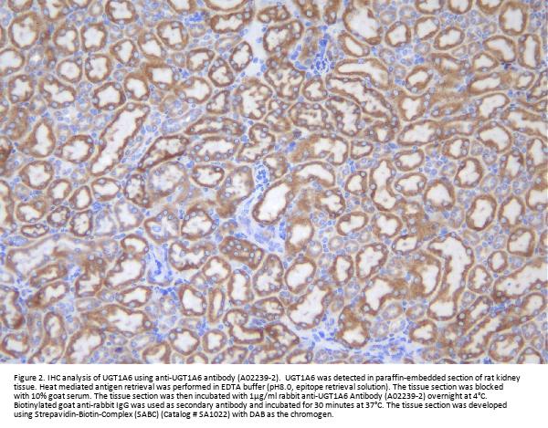
Immunohistochemistry (Paraffin-embedded Section), 0.5-1μg/ml, Rat
Flow Cytometry (Fixed), 1-3μg/1x106 cells, Mouse
ELISA, 0.1-0.5μg/ml,
Gene Name
Ugt1a6
Gene Full Name
UDP glucuronosyltransferase family 1 member A6
Manufacturer - Specificity
No cross reactivity with other proteins.
Background
UDP-glucuronosyltransferase 1-6 is an enzyme that in humans is encoded by the UGT1A6 gene. It is mapped to 2q37.1. This gene encodes a UDP-glucuronosyltransferase, an enzyme of the glucuronidation pathway that transforms small lipophilic molecules, such as steroids, bilirubin, hormones, and drugs, into water-soluble, excretable metabolites. This gene is part of a complex locus that encodes several UDP-glucuronosyltransferases. The locus includes thirteen unique alternate first exons followed by four common exons. Four of the alternate first exons are considered pseudogenes. Each of the remaining nine 5' exons may be spliced to the four common exons, resulting in nine proteins with different N-termini and identical C-termini. Each first exon encodes the substrate binding site, and is regulated by its own promoter. The enzyme encoded by this gene is active on phenolic and planar compounds. Alternative splicing in the unique 5' end of this gene results in two transcript variants.
Immunogen
E.coli-derived rat UGT1A6 recombinant protein (Position: D26-D238).
Contents
Each vial contains 4mg Trehalose, 0.9mg NaCl, 0.2mg Na2HPO4, 0.05mg NaN3.
Purification
Immunogen affinity purified.
Reconstitution
Add 0.2ml of distilled water will yield a concentration of 500ug/ml.
Concentration
Adding 0.2 ml of distilled water will yield a concentration of 500 μg/ml.
Manufacturer - Research Category
Immunology, T Cells
Protein Function
UDPGT is of major importance in the conjugation and subsequent elimination of potentially toxic xenobiotics and endogenous compounds.
Subcellular Localization
Cell membrane. Single-pass type I membrane protein.
Description
Boster Bio Anti-UGT1A6 Antibody Picoband® catalog # A02239-2. Tested in ELISA, Flow Cytometry, IHC, WB applications. This antibody reacts with Mouse, Rat. The brand Picoband indicates this is a premium antibody that guarantees superior quality, high affinity, and strong signals with minimal background in Western blot applications. Only our best-performing antibodies are designated as Picoband, ensuring unmatched performance.
Manufacturer - Cross Reactivity
No cross-reactivity with other proteins.

Note: The presented information and documents (Manual, Product Datasheet, Safety Datasheet and Certificate of Analysis) correspond to our latest update and should serve for orientational purpose only. We do not guarantee the topicality. We would kindly ask you to make a request for specific requirements, if necessary.

All products are intended for research use only (RUO). Not for human, veterinary or therapeutic use.

Amount: 100 ug
Available: In stock
available

Compare

Add to wishlist

Get an offer

Request delivery time

Ask a technical question

Submit a bulk request

Questions about this Product?