Comparison

Anti-Calcitonin/Calca Antibody European Partner

Item no. BOS-A02352-Dylight488
Manufacturer Boster
Amount 100 ug
Quantity options 100 ug/vial 10 ug 100 ug 100 ug 100 ug 100 ug 100 ug 100 ug 100 ug 100 ug 100 ug 100 ug 100 ug
Category
Type Antibody Primary
Format Lyophilized
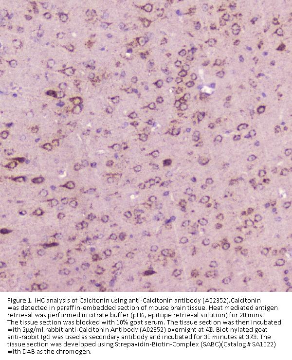
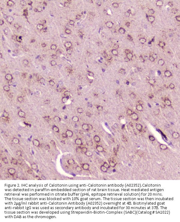
Applications IHC
Specific against Human (Homo sapiens), Mouse (Murine, Mus musculus), Rat (Rattus norvegicus)
Host Rabbit
Isotype IgG
Conjugate/Tag DyLight 488
Citations 1. Alevizaki, M., Stevenson, J. C., Girgis, S. I., MacIntyre, I., Legon, S. Altered calcitonin gene in a young patient with osteoporosis.Brit. Med. J. 298: 1215-1216, 1989. Note: Retraction: Brit. Med. J. 299: 235 only, 1989.
2. Breimer, L. H., MacIntyre, I., Zaidi, M. Peptides from the calcitonin genes: molecular genetics, structure and function. Biochem. J. 255: 377-390, 1988.
3. Edbrooke, M. R., Parker, D., McVey, J. H., Riley, J. H., Sorenson, G. D., Pettengill, O. S., Craig, R. K. Expression of the human calcitonin/CGRP gene in lung and thyroid carcinoma. EMBO J. 4: 715-724, 1985.
ECLASS 10.1 32160702
ECLASS 11.0 32160702
UNSPSC 12352203
Alias Calcitonin,Calca,Calc
Available
Manufacturer - Category
Primary Antibodies
Storage Conditions
Store at -20°C for one year from date of receipt. After reconstitution, at 4°C for one month. It can also be aliquotted and stored frozen at -20°C for six months. Avoid repeated freeze-thaw cycles.
Observed Molecular weight
75-90 kDa
Clonality
Polyclonal
Application Details
Immunohistochemistry (Paraffin-embedded Section), 0.5-1μg/ml
Gene Name
Calca
Gene Full Name
calcitonin/calcitonin-related polypeptide, alpha
Manufacturer - Specificity
No cross reactivity with other proteins.
Background
Calcitonin, also known as CALCA, is a peptide hormone synthesized by the parafollicular cells of the thyroid. It is mapped to 11p15.2. Calcitonin belongs to the calcitonin-like protein family. Calcitonin is involved in calcium regulation and acts to regulate phosphorus metabolism. Calcitonin gene-related peptide functions as a vasodilator and as an antimicrobial peptide while katacalcin is a calcium-lowering peptide. Multiple transcript variants encoding different isoforms have been found for this gene.
Immunogen
A synthetic peptide corresponding to a sequence at the C-terminus of mouse Calcitonin, which shares 90.6% and 96.9% amino acid (aa) sequence identity with human and rat Calcitonin, respectively.
Contents
Each vial contains 4mg Trehalose, 0.9mg NaCl, 0.2mg Na2HPO4, 0.05mg NaN3.
Purification
Immunogen affinity purified.
Reconstitution
Add 0.2ml of distilled water will yield a concentration of 500ug/ml.
Concentration
Adding 0.2 ml of distilled water will yield a concentration of 500 μg/ml.
Manufacturer - Research Category
Cardiovascular, Contractility, Neuropeptides, Neuroscience, Neurotransmitter, Vasculature
Protein Function
Causes a rapid but short-lived drop in the level of calcium and phosphate in blood by promoting the incorporation of those ions in the bones.
Subcellular Localization
Secreted.
Description
Boster Bio Anti-Calcitonin/Calca Antibody Picoband® catalog # A02352. Tested in IHC applications. This antibody reacts with Human, Mouse, Rat.
Manufacturer - Cross Reactivity
No cross-reactivity with other proteins.

Note: The presented information and documents (Manual, Product Datasheet, Safety Datasheet and Certificate of Analysis) correspond to our latest update and should serve for orientational purpose only. We do not guarantee the topicality. We would kindly ask you to make a request for specific requirements, if necessary.

All products are intended for research use only (RUO). Not for human, veterinary or therapeutic use.

Amount: 100 ug
Available: In stock
available

Compare

Add to wishlist

Get an offer

Request delivery time

Ask a technical question

Submit a bulk request

Questions about this Product?